ISO 9001:2015 Certified
Live Customer Support
4.5/5 on Trustpilot
100% Quality Guarantee

Anti-SCARB1 Antibody (A29805)

$435

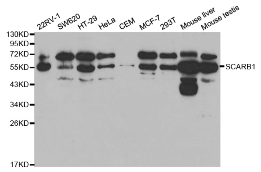
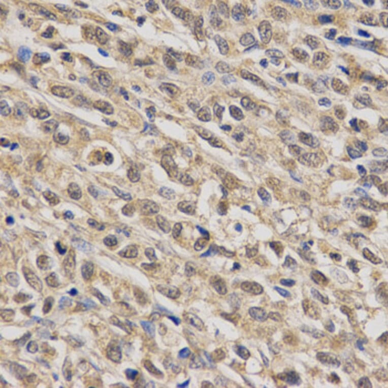
Rabbit polyclonal antibody to SCARB1 for WB and IHC.

Shipping Information

$40
Dispatched from St. Louis, MO.
Lead Time: 7-10 business days.
Name
Anti-SCARB1 Antibody
Description
Rabbit polyclonal antibody to SCARB1
Specificity
SCARB1 pAb detects endogenous levels of SCARB1 protein.
Applications
WB, IHC
Reactivity
Human, Mouse, Rat
Immunogen
Recombinant full length Human SCARB1.
Host
Rabbit
Clonality
Polyclonal
Conjugate

Unconjugated

Molecular Weight
~ 61 kDa
Purity
The antibody was affinity-purified from rabbit antiserum by affinity-chromatography using epitope-specific immunogen and the purity is > 95% (by SDS-PAGE).
Product Form
1mg/ml in PBSwith0.1%SodiumAzide,50%Glycerol.
Synonyms
CD36, CD36 and LIMPII analogous 1, CD36 antigen-like 1, CD36L1, CLA-1, CLA1, Collagen type I receptor, thrombospondin receptor-like 1, Scavenger receptor class B member 1, SRB1
Disclaimer
This product is for research use only. It is not intended for diagnostic or therapeutic use.
Publishing research using Anti-SCARB1 Antibody (A29805)? Please let us know so that we can list the citation on this page.

Alternative products to Anti-SCARB1 Antibody (A29805)

Proteins predicted to interact with SR-BI

Predicted protein interactions based upon String database. Revelancy score correlates with probability of interaction.
99.9% Relevancy Score
99.7% Relevancy Score
99.6% Relevancy Score
99.6% Relevancy Score
99.5% Relevancy Score
99.4% Relevancy Score
99.4% Relevancy Score
99.3% Relevancy Score
97.5% Relevancy Score