ISO 9001:2015 Certified
Live Customer Support
4.5/5 on Trustpilot
100% Quality Guarantee

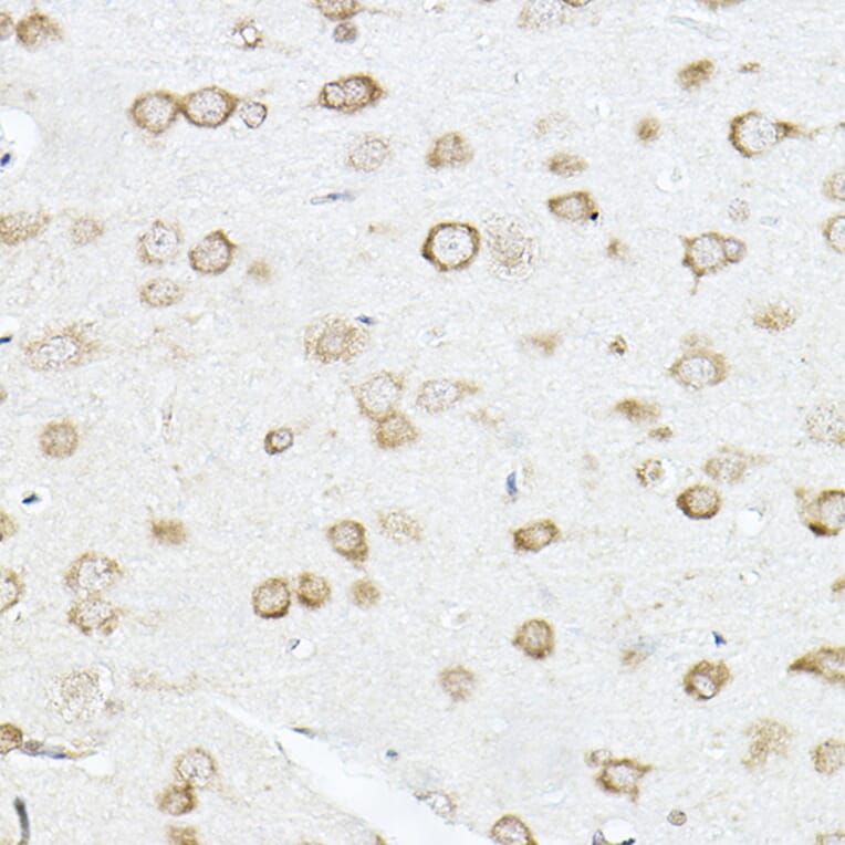
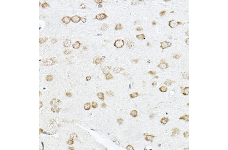
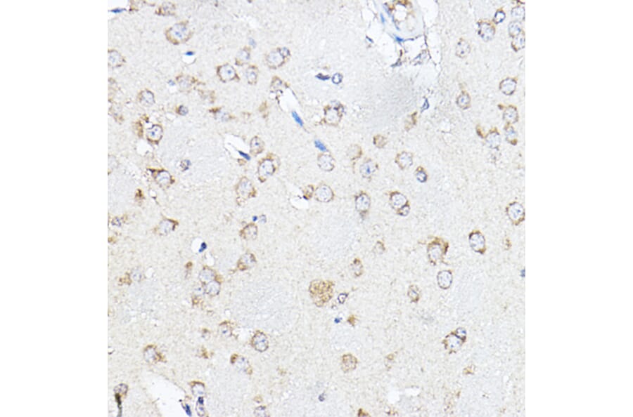
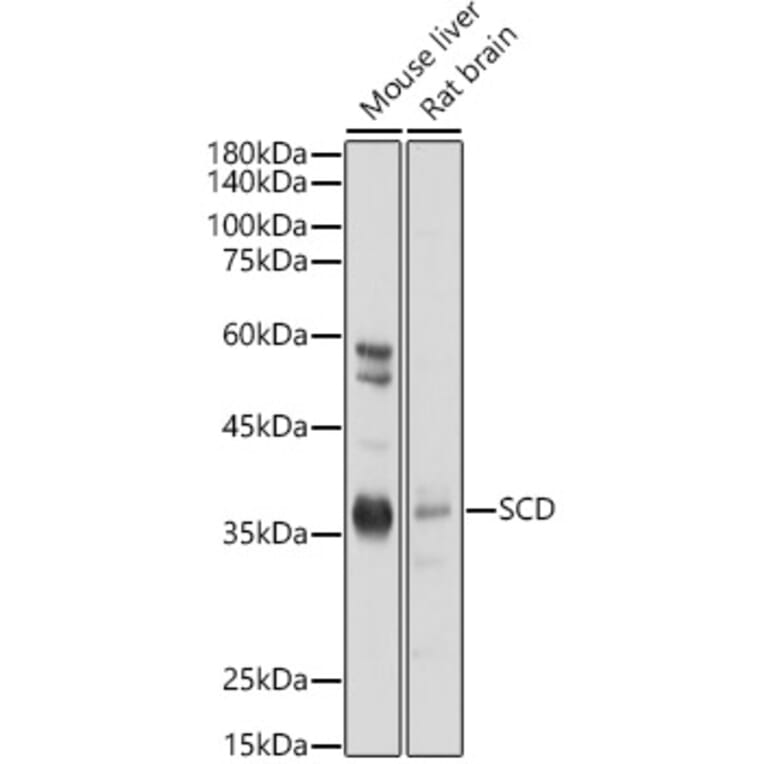
Anti-SCD1 Antibody (A89598)

Rabbit polyclonal antibody to SCD1 for WB, IHC and ICC/IF.

Shipping Information

$40
Dispatched from St. Louis, MO.
Lead Time: 7-10 business days.
Name
Anti-SCD1 Antibody
Description
Rabbit polyclonal antibody to SCD1.
Applications
WB, IHC, ICC/IF
Dilutions
WB: 1:500-1:1,000, IHC: 1:50-1:200, ICC/IF: 1:50-1:200
Reactivity
Human, Mouse, Rat
Immunogen
A synthetic peptide corresponding to a sequence within amino acids 200 to the C-terminus of human SCD (NP_005054.3).
Sequence
LDLSDLEAEKLVMFQRRYYKPGLLMMCFILPTLVPWYFWGETFQNSVFVATFLRYAVVLNATWLVNSAAHLFGYRPYDKNISPRENILVSLGAVGEGFHNYHHSFPYDYSASEYRWHINFTTFFIDCMAALGLAYDRKKVSKAAILARIKRTGDGNYKSG
Host
Rabbit
Clonality
Polyclonal
Isotype
IgG
Conjugate

Unconjugated

Purification
Affinity purification.
Concentration
Lot Specific
Molecular Weight
37 kDa
Product Form
Liquid
Formulation
Supplied in Phosphate Buffered Saline, pH 7.3, with 50% Glycerol and 0.01% Thiomersal.
Storage
Shipped at 4°C. Upon delivery aliquot and store at -20°C. Avoid freeze/thaw cycles.
Synonyms
Acyl-CoA desaturase, Delta(9)-desaturase, Delta-9 desaturase, FADS5, Fatty acid desaturase, hSCD1, SCD, SCDOS, Stearoyl-CoA desaturase
Disclaimer
This product is for research use only. It is not intended for diagnostic or therapeutic use.
Publishing research using Anti-SCD1 Antibody (A89598)? Please let us know so that we can list the citation on this page.

Alternative products to Anti-SCD1 Antibody (A89598)

Proteins predicted to interact with SCD1

Predicted protein interactions based upon String database. Revelancy score correlates with probability of interaction.
98.5% Relevancy Score
98.4% Relevancy Score
98.1% Relevancy Score
97.6% Relevancy Score
97.1% Relevancy Score
96.7% Relevancy Score
95.9% Relevancy Score
94% Relevancy Score