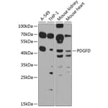
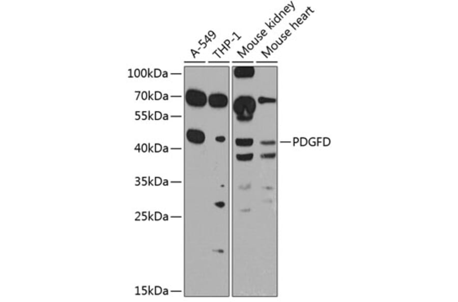
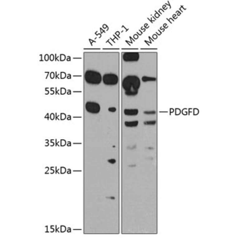
Western Blot - Anti-SCDGFB/PDGF-D Antibody (A10370)
Western blot analysis of extracts of various cell lines, using Anti-SCDGFB/PDGF-D Antibody (A10370) at 1:1,000 dilution. The secondary antibody was Goat Anti-Rabbit IgG H&L Antibody (HRP) at 1:10,000 dilution. Lysates/proteins were present at 25µg per lane. The blocking buffer used was 3% non-fat dry milk in TBST. Detection was with a ECL Enhanced Kit. Exposure time: 90s.
Publishing research using Anti-SCDGFB/PDGF-D Antibody (A10370)? Please let us know so that we can list the citation on this page.