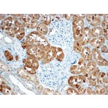
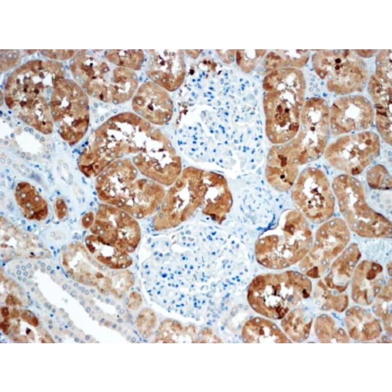
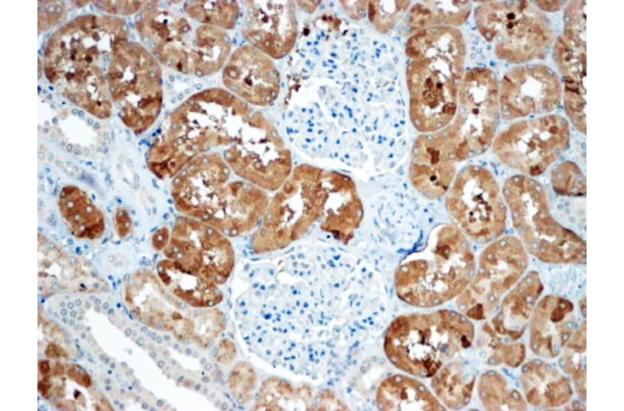
Sclerostin expression in Human Kidney analyzed by immunohistochemistry. Tissue was paraffin-embedded, and antigen retrieval was achieved by steaming in Tris/EDTA buffer, pH 9. Staining was performed with Anti-Sclerostin Antibody (A84880) at 4µg/ml and revealed with horseradish peroxidase (HRP).
Publishing research using Anti-Sclerostin Antibody (A84880)? Please let us know so that we can list the citation on this page.
Alternative products to Anti-Sclerostin Antibody (A84880)
Recombinant humanized monoclonal antibody to Sclerostin for use as a research grade Romosozumab bios for ELISA, Flow Cytometry, Functional Studies and in vivo Research.
Recombinant humanized monoclonal antibody to Sclerostin for use as a research grade Blosozumab biosi for ELISA, Flow Cytometry, Functional Studies and in vivo Research.
Recombinant human monoclonal antibody to Sclerostin for use as a research grade Setrusumab biosimila for ELISA, Flow Cytometry, Functional Studies and in vivo Research.
Recombinant human monoclonal antibody to Sclerostin for use as a research grade Resugosbart biosimil for ELISA, Flow Cytometry, Functional Studies and in vivo Research.
Recombinant humanized monoclonal antibody to Sclerostin for use as a research grade Romosozumab bios for ELISA, Flow Cytometry, Functional Studies and in vivo Research.
Recombinant humanized monoclonal antibody to Sclerostin for use as a research grade Blosozumab biosi for ELISA, Flow Cytometry, Functional Studies and in vivo Research.
Recombinant human monoclonal antibody to Sclerostin for use as a research grade Setrusumab biosimila for ELISA, Flow Cytometry, Functional Studies and in vivo Research.
Recombinant human monoclonal antibody to Sclerostin for use as a research grade Resugosbart biosimil for ELISA, Flow Cytometry, Functional Studies and in vivo Research.