Primary Antibodies
Secondary Antibodies
Proteins & Peptides
ELISA Kits
About Us
Contact Us
Sign In/Register
0
ISO 9001:2015 Certified
Live Customer Support
4.5/5 on Trustpilot
100% Quality Guarantee
Home
Primary Antibodies
SCN10A Antibodies
Anti-SCN10A Antibody (A45526)
Anti-SCN10A Antibody (A45526)
Overview
Specifications
Images
Enlarge Image
Enlarge Image
$430
Product Datasheet
Rabbit polyclonal antibody to SCN10A for IHC.
100% Guarantee
Price Match Guarantee
Product Size:
100µl
Quantity:
1
2
3
4
5
6
7
8
9
10
Add To Cart
Request a Quotation
Custom or Bulk Request
Shipping Information
Freight/Packing Charges:
$40
Dispatched from St. Louis, MO.
Lead Time: 6-9 business days.
Specifications
Name
Anti-SCN10A Antibody
Description
Rabbit polyclonal antibody to SCN10A
Specificity
The antibody detects endogenous levels of total SCN10A protein.
Applications
IHC
Reactivity
Human
Immunogen
Synthetic peptide corresponding to a region derived from internal residues of human sodium channel, voltage-gated, type X, alpha subunit
Host
Rabbit
Clonality
Polyclonal
Conjugate
Unconjugated
Purification
Antigen affinity purification.
Concentration
0.8 mg/mL
Formulation
Supplied in PBS, pH 7.3, containing 0.05% sodium azide and 50% glycerol.
Storage
Shipped at 4°C. Upon delivery aliquot and store at -20°C. Avoid freeze/thaw cycles.
Synonyms
hPN3, Peripheral nerve sodium channel 3, PN3, Sodium channel protein type 10 subunit alpha, Sodium channel protein type X subunit alpha, Voltage-gated sodium channel subunit alpha Nav1.8
Suitable Secondaries
Goat Anti-Rabbit IgG H&L Antibody (AP) (A294874)
Goat Anti-Rabbit IgG H&L Antibody (Biotin) (A294795)
Goat Anti-Rabbit IgG H&L Antibody (FITC) (A294887)
Goat Anti-Rabbit IgG H&L Antibody (HRP) (A294888)
See all Anti-Rabbit IgG Secondaries →
Disclaimer
This product is for research use only. It is not intended for diagnostic or therapeutic use.
Scientific Validation Data
Validation Data
(2)
Enlarge Image
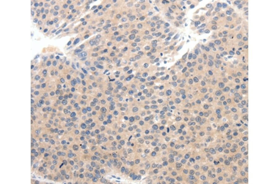
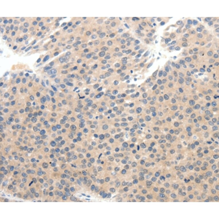
Immunohistochemistry - Anti-SCN10A Antibody (A45526)
Immunohistochemical analysis of paraffin-embedded Human breast cancer tissue using #37234 at dilution 1/25.
Enlarge Image
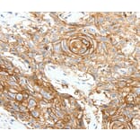
Immunohistochemistry - Anti-SCN10A Antibody (A45526)
Immunohistochemical analysis of paraffin-embedded Human oesophagus cancer tissue using #37234 at dilution 1/25.
Publishing research using Anti-SCN10A Antibody (A45526)? Please
let us know
so that we can list the citation on this page.
Proteins predicted to interact with SCN10A
Predicted protein interactions based upon String database. Revelancy score correlates with probability of interaction.
SCN1B Antibodies
95% Relevancy Score
SCN2B Antibodies
93.2% Relevancy Score
SCN4B Antibodies
92.6% Relevancy Score
SCN3B Antibodies
90.1% Relevancy Score
TRPM4 Antibodies
85.6% Relevancy Score
Nav1.5 Antibodies
85.3% Relevancy Score
S100A10 Antibodies
84.3% Relevancy Score
Annexin A2 Antibodies
81.5% Relevancy Score
ANK3 Antibodies
80.6% Relevancy Score
Top