ISO 9001:2015 Certified
Live Customer Support
4.5/5 on Trustpilot
100% Quality Guarantee

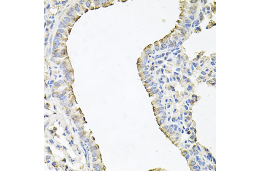
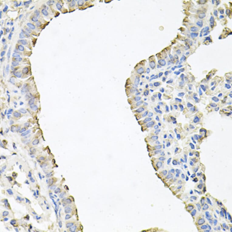
Anti-SCNN1G Antibody (A15078)

Rabbit polyclonal antibody to SCNN1G for WB and IHC.

Shipping Information

$40
Dispatched from St. Louis, MO.
Lead Time: 7-10 business days.
Name
Anti-SCNN1G Antibody
Description
Rabbit polyclonal antibody to SCNN1G.
Applications
WB, IHC
Dilutions
WB: 1:500-1:1,000, IHC: 1:50-1:100
Reactivity
Human, Mouse
Immunogen
Recombinant fusion protein containing a sequence corresponding to amino acids 85-355 of human SCNN1G (NP_001030.2).
Sequence
IKVHFRKLDFPAVTICNINPYKYSTVRHLLADLEQETREALKSLYGFPESRKRREAESWNSVSEGKQPRFSHRIPLLIFDQDEKGKARDFFTGRKRKVGGSIIHKASNVMHIESKQVVGFQLCSNDTSDCATYTFSSGINAIQEWYKLHYMNIMAQVPLEKKINMSYSAEELLVTCFFDGVSCDARNFTLFHHPMHGNCYTFNNRENETILSTSMGGSEYGLQVILYINEEEYNPFLVSSTGAKVIIHRQDEYPFVEDVGTEIETAMVTSI
Host
Rabbit
Clonality
Polyclonal
Isotype
IgG
Conjugate

Unconjugated

Purification
Affinity purification.
Concentration
Lot Specific
Molecular Weight
80 kDa
Product Form
Liquid
Formulation
Supplied in Phosphate Buffered Saline, pH 7.3, with 50% Glycerol and 0.02% Sodium Azide.
Storage
Shipped at 4°C. Upon delivery aliquot and store at -20°C. Avoid freeze/thaw cycles.
Synonyms
Amiloride-sensitive sodium channel subunit gamma, ENaCG, Epithelial Na(+) channel subunit gamma, Gamma-ENaC, Gamma-NaCH, Nonvoltage-gated sodium channel 1 subunit gamma, SCNEG
Disclaimer
This product is for research use only. It is not intended for diagnostic or therapeutic use.
Publishing research using Anti-SCNN1G Antibody (A15078)? Please let us know so that we can list the citation on this page.

Alternative products to Anti-SCNN1G Antibody (A15078)

Proteins predicted to interact with Epithelial Sodium Channel gamma

Predicted protein interactions based upon String database. Revelancy score correlates with probability of interaction.
99.9% Relevancy Score
99.7% Relevancy Score
97.6% Relevancy Score
91.2% Relevancy Score
90.6% Relevancy Score
90.6% Relevancy Score
90.3% Relevancy Score
88.6% Relevancy Score