ISO 9001:2015 Certified
Live Customer Support
4.5/5 on Trustpilot
100% Quality Guarantee

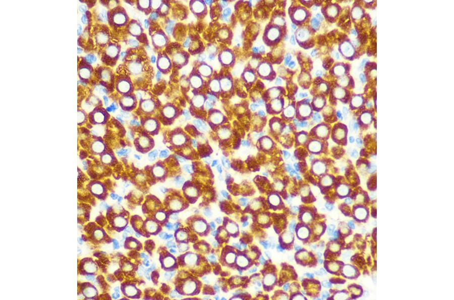
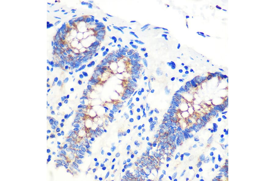
Anti-SCO2 Antibody (A15509)

Rabbit polyclonal antibody to SCO2 for WB and IHC.

Shipping Information

$40
Dispatched from St. Louis, MO.
Lead Time: 7-10 business days.
Name
Anti-SCO2 Antibody
Description
Rabbit polyclonal antibody to SCO2.
Applications
WB, IHC
Dilutions
WB: 1:500-1:2,000, IHC: 1:50-1:200
Reactivity
Human, Mouse, Rat
Immunogen
Recombinant fusion protein containing a sequence corresponding to amino acids 100-266 of human SCO2 (NP_005129.2).
Sequence
GQGDFHLLDHRGRARCKADFRGQWVLMYFGFTHCPDICPDELEKLVQVVRQLEAEPGLPPVQPVFITVDPERDDVEAMARYVQDFHPRLLGLTGSTKQVAQASHSYRVYYNAGPKDEDQDYIVDHSIAIYLLNPDGLFTDYYGRSRSAEQISDSVRRHMAAFRSVLS
Host
Rabbit
Clonality
Polyclonal
Isotype
IgG
Conjugate

Unconjugated

Purification
Affinity purification.
Concentration
Lot Specific
Molecular Weight
30 kDa
Product Form
Liquid
Formulation
Supplied in Phosphate Buffered Saline, pH 7.3, with 50% Glycerol and 0.01% Thiomersal.
Storage
Shipped at 4°C. Upon delivery aliquot and store at -20°C. Avoid freeze/thaw cycles.
Synonyms
Protein SCO2 homolog, mitochondrial
Disclaimer
This product is for research use only. It is not intended for diagnostic or therapeutic use.
Publishing research using Anti-SCO2 Antibody (A15509)? Please let us know so that we can list the citation on this page.

Alternative products to Anti-SCO2 Antibody (A15509)

Proteins predicted to interact with SCO2

Predicted protein interactions based upon String database. Revelancy score correlates with probability of interaction.
99.6% Relevancy Score
98% Relevancy Score
97.6% Relevancy Score
97% Relevancy Score
96.9% Relevancy Score
96.1% Relevancy Score
95.5% Relevancy Score
92.3% Relevancy Score
85.4% Relevancy Score