ISO 9001:2015 Certified
Live Customer Support
4.5/5 on Trustpilot
100% Quality Guarantee

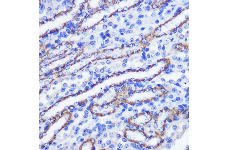
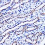
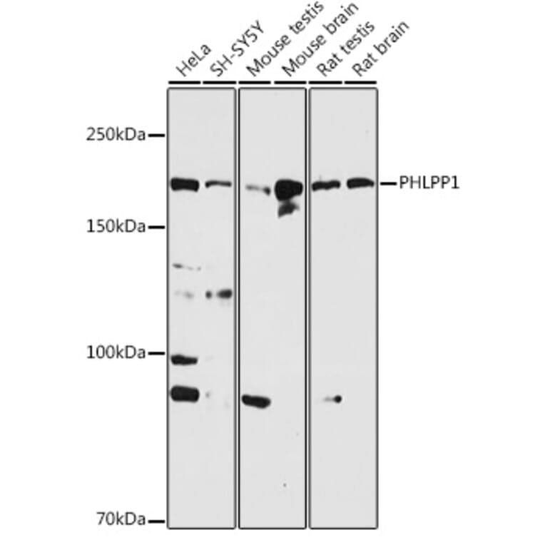
Anti-SCOP Antibody (A16325)

Rabbit polyclonal antibody to SCOP for WB, IHC and ICC/IF.

Shipping Information

$40
Dispatched from St. Louis, MO.
Lead Time: 7-10 business days.
Name
Anti-SCOP Antibody
Description
Rabbit polyclonal antibody to SCOP.
Applications
WB, IHC, ICC/IF
Dilutions
WB: 1:500-1:1,000, IHC: 1:50-1:200, ICC/IF: 1:50-1:200
Reactivity
Human, Mouse, Rat
Immunogen
Recombinant fusion protein containing a sequence corresponding to amino acids 1160-1428 of human PHLPP1 (NP_919431.2).
Sequence
DQPSTGDASGAPAVWSHGYTEASGVKNKLCVAALSVNNFCDNREALYGVFDGDRNVEVPYLLQCTMSDILAEELQKTKNEEEYMVNTFIVMQRKLGTAGQKLGGAAVLCHIKHDPVDPGGSFTLTSANVGKCQTVLCRNGKPLPLSRSYIMSCEEELKRIKQHKAIITEDGKVNGVTESTRILGYTFLHPSVVPRPHVQSVLLTPQDEFFILGSKGLWDSLSVEEAVEAVRNVPDALAAAKKLCTLAQSYGCHDSISAVVVQLSVTEDS
Host
Rabbit
Clonality
Polyclonal
Isotype
IgG
Conjugate

Unconjugated

Purification
Affinity purification.
Concentration
Lot Specific
Molecular Weight
185 kDa
Product Form
Liquid
Formulation
Supplied in Phosphate Buffered Saline, pH 7.3, with 50% Glycerol and 0.01% Thiomersal.
Storage
Shipped at 4°C. Upon delivery aliquot and store at -20°C. Avoid freeze/thaw cycles.
Synonyms
hSCOP, KIAA0606, PH domain leucine-rich repeat-containing protein phosphatase 1, PH domain-containing family E member 1, PHLPP1, Pleckstrin homology domain-containing family E member 1, PLEKHE1, Suprachiasmatic nucleus circadian oscillatory protein
Disclaimer
This product is for research use only. It is not intended for diagnostic or therapeutic use.
Publishing research using Anti-SCOP Antibody (A16325)? Please let us know so that we can list the citation on this page.

Alternative products to Anti-SCOP Antibody (A16325)

Proteins predicted to interact with PHLPP

Predicted protein interactions based upon String database. Revelancy score correlates with probability of interaction.
99.9% Relevancy Score
99.6% Relevancy Score
99.4% Relevancy Score
99.3% Relevancy Score
99.3% Relevancy Score
98.7% Relevancy Score
93.9% Relevancy Score
93.4% Relevancy Score
93.3% Relevancy Score