ISO 9001:2015 Certified
Live Customer Support
4.5/5 on Trustpilot
100% Quality Guarantee

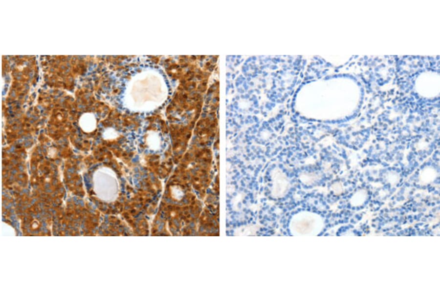
Anti-SCTR Antibody (A48504)

Rabbit polyclonal antibody to SCTR for ELISA, WB and IHC.

Shipping Information

$40
Dispatched from St. Louis, MO.
Lead Time: 6-9 business days.
Name
Anti-SCTR Antibody
Description
Rabbit polyclonal antibody to SCTR
Specificity
The antibody detects endogenous level of total SCTR protein.
Applications
ELISA, WB, IHC
Dilutions
ELISA: 1:2000-1:10000 Western blotting: 1:1000-1:5000 Immunohistochemistry: 1:50-1:200
Reactivity
Human
Immunogen
Synthetic peptide corresponding to a region derived from 120-134 amino acids of human secretin receptor
Host
Rabbit
Clonality
Polyclonal
Conjugate

Unconjugated

Predicted MW
50kd
Formulation
Supplied in phosphate-buffered saline (without Mg²? and Ca²?), pH 7.3, containing 150 mM NaCl, 0.05% sodium azide, and 50% glycerol.
Storage
Shipped at 4°C. Upon delivery aliquot and store at -20°C. Avoid freeze/thaw cycles.
Synonyms
SCT-R, Secretin receptor
Disclaimer
This product is for research use only. It is not intended for diagnostic or therapeutic use.
Publishing research using Anti-SCTR Antibody (A48504)? Please let us know so that we can list the citation on this page.

Alternative products to Anti-SCTR Antibody (A48504)

Proteins predicted to interact with SCTR

Predicted protein interactions based upon String database. Revelancy score correlates with probability of interaction.
99.9% Relevancy Score
99.3% Relevancy Score
99.3% Relevancy Score
96.4% Relevancy Score
95.9% Relevancy Score
90.7% Relevancy Score
90.6% Relevancy Score
84.8% Relevancy Score
81.7% Relevancy Score