ISO 9001:2015 Certified
Live Customer Support
4.5/5 on Trustpilot
100% Quality Guarantee

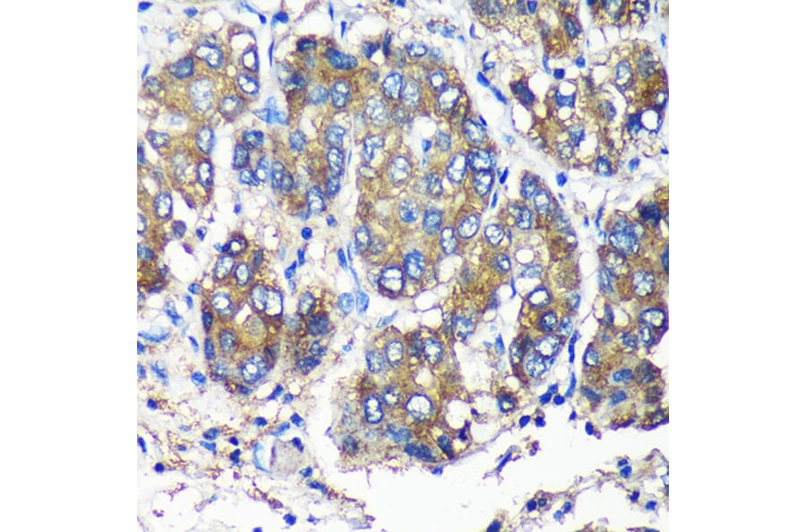
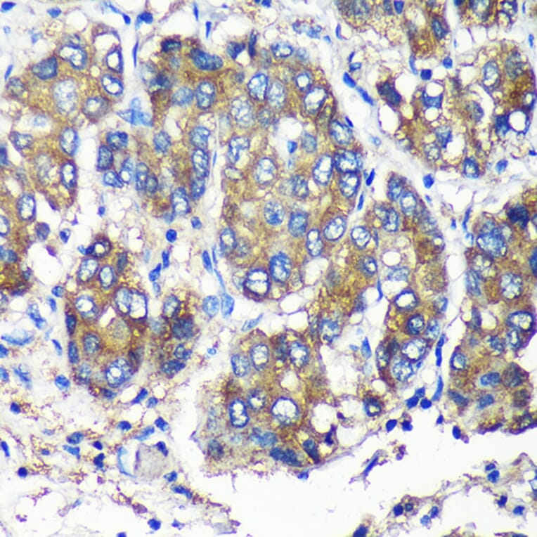
Anti-SEC23IP Antibody (A92461)

Rabbit polyclonal antibody to SEC23IP for WB, IHC and ICC/IF.

Shipping Information

$40
Dispatched from St. Louis, MO.
Lead Time: 7-10 business days.
Name
Anti-SEC23IP Antibody
Description
Rabbit polyclonal antibody to SEC23IP.
Applications
WB, IHC, ICC/IF
Dilutions
WB: 1:200-1:2,000, IHC: 1:50-1:200, ICC/IF: 1:50-1:200
Reactivity
Human, Mouse, Rat
Immunogen
Recombinant fusion protein containing a sequence corresponding to amino acids 600-940 of human SEC23IP (NP_009121.1).
Sequence
NLSKCPGPLAVANGVVKQLHFQEKQMPEEPKLTLDESYDLVVENKEVLTLQETLEALSLSEYFSTFEKEKIDMESLLMCTVDDLKEMGIPLGPRKKIANFVEHKAAKLKKAASEKKAVAATSTKGQEQSAQKTKDMASLPSESNEPKRKLPVGACVSSVCVNYESFEVGAGQVSVAYNSLDFEPEIFFALGSPIAMFLTIRGVDRIDENYSLPTCKGFFNIYHPLDPVAYRLEPMIVPDLDLKAVLIPHHKGRKRLHLELKESLSRMGSDLKQGFISSLKSAWQTLNEFARAHTSSTQLQEELEKVANQIKEEEEKQVVEAEKVVESPDFSKDEDYLGKVG
Host
Rabbit
Clonality
Polyclonal
Isotype
IgG
Conjugate

Unconjugated

Purification
Affinity purification.
Concentration
Lot Specific
Product Form
Liquid
Formulation
Supplied in Phosphate Buffered Saline, pH 7.3, with 50% Glycerol and 0.01% Thiomersal.
Storage
Shipped at 4°C. Upon delivery aliquot and store at -20°C. Avoid freeze/thaw cycles.
Synonyms
p125, SEC23-interacting protein
Disclaimer
This product is for research use only. It is not intended for diagnostic or therapeutic use.
Publishing research using Anti-SEC23IP Antibody (A92461)? Please let us know so that we can list the citation on this page.

Proteins predicted to interact with SEC23IP

Predicted protein interactions based upon String database. Revelancy score correlates with probability of interaction.
95.9% Relevancy Score
94.6% Relevancy Score
88.8% Relevancy Score
86.9% Relevancy Score
82.6% Relevancy Score
79.2% Relevancy Score
77.6% Relevancy Score
76.3% Relevancy Score
73.7% Relevancy Score