ISO 9001:2015 Certified
Live Customer Support
4.5/5 on Trustpilot
100% Quality Guarantee

Anti-Securin Antibody (A16151)

This product is discontinued

Anti-Securin Antibody (A16151) has been discontinued and is no longer available.

View all Securin Antibodies.

Name
Anti-Securin Antibody
Description
Rabbit polyclonal antibody to Securin.
Applications
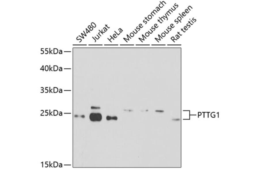
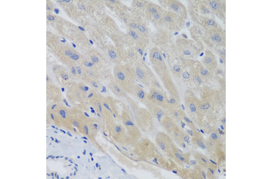
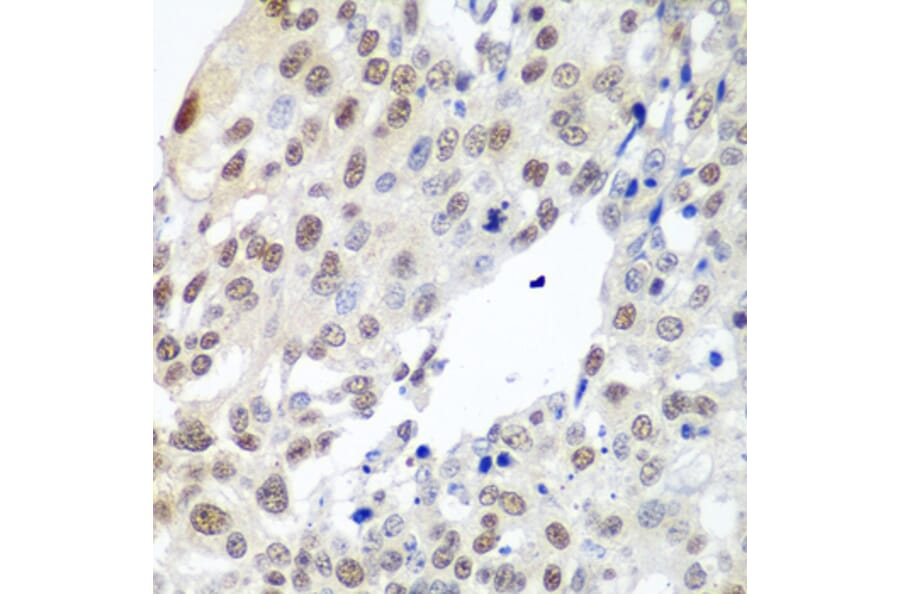
WB, IHC
Dilutions
WB: 1:500-1:2,000, IHC: 1:100-1:200
Reactivity
Human, Mouse, Rat
Immunogen
Recombinant fusion protein containing a sequence corresponding to amino acids 1-202 of human PTTG1 (NP_001269311.1).
Sequence
MATLIYVDKENGEPGTRVVAKDGLKLGSGPSIKALDGRSQVSTPRFGKTFDAPPALPKATRKALGTVNRATEKSVKTKGPLKQKQPSFSAKKMTEKTVKAKSSVPASDDAYPEIEKFFPFNPLDFESFDLPEEHQIAHLPLSGVPLMILDEERELEKLFQLGPPSPVKMPSPPWESNLLQSPSSILSTLDVELPPVCCDIDI
Host
Rabbit
Clonality
Polyclonal
Isotype
IgG
Conjugate

Unconjugated

Purification
Affinity purification.
Molecular Weight
24 kDa
Product Form
Liquid
Formulation
Supplied in Phosphate Buffered Saline, pH 7.3, with 50% Glycerol and 0.02% Sodium Azide.
Storage
Shipped at 4°C. Upon delivery aliquot and store at -20°C. Avoid freeze / thaw cycles.
Synonyms
EAP1, Esp1-associated protein, hPTTG, Pituitary tumor-transforming gene 1 protein, PTTG, PTTG1, Tumor-transforming protein 1, TUTR1
Disclaimer
This product is for research use only. It is not intended for diagnostic or therapeutic use.

Alternative products to Anti-Securin Antibody (A16151)

Proteins predicted to interact with Securin

Predicted protein interactions based upon String database. Revelancy score correlates with probability of interaction.
99.9% Relevancy Score
99.9% Relevancy Score
99% Relevancy Score
98.5% Relevancy Score
98.4% Relevancy Score
98% Relevancy Score
97.8% Relevancy Score
97.6% Relevancy Score
97% Relevancy Score