Primary Antibodies
Secondary Antibodies
Proteins & Peptides
ELISA Kits
About Us
Contact Us
Sign In/Register
0
ISO 9001:2015 Certified
Live Customer Support
4.5/5 on Trustpilot
100% Quality Guarantee
Home
Primary Antibodies
SENP2 Antibodies
Anti-SENP2 Antibody (A37493)
Anti-SENP2 Antibody (A37493)
Overview
Specifications
Images
Enlarge Image
Enlarge Image
$645
Product Datasheet
Rabbit polyclonal antibody to SENP2 for WB and IHC.
100% Guarantee
Price Match Guarantee
Product Size:
100µl
Quantity:
1
2
3
4
5
6
7
8
9
10
Add To Cart
Request a Quotation
Custom or Bulk Request
Shipping Information
Freight/Packing Charges:
$40
Dispatched from St. Louis, MO.
Lead Time: 6-9 business days.
Specifications
Name
Anti-SENP2 Antibody
Description
Rabbit polyclonal antibody to SENP2
Applications
WB
,
IHC
Reactivity
Human
Immunogen
Synthetic peptide contain a sequence corresponding to a region within amino acids 1 and 32 of SENP2
Host
Rabbit
Clonality
Polyclonal
Conjugate
Unconjugated
Purification
Purified by antigen-affinity chromatography.
Formulation
Supplied in 0.1M Tris-buffered saline with 10% Glycerol (pH7.0). 0.01% Thimerosal was added as a preservative.
Storage
Shipped at 4°C. Upon delivery aliquot and store at -20°C. Avoid freeze/thaw cycles.
Synonyms
Axam2, KIAA1331, Sentrin-specific protease 2, Sentrin/SUMO-specific protease SENP2, SMT3-specific isopeptidase 2, Smt3ip2
Suitable Secondaries
Goat Anti-Rabbit IgG H&L Antibody (AP) (A294874)
Goat Anti-Rabbit IgG H&L Antibody (Biotin) (A294795)
Goat Anti-Rabbit IgG H&L Antibody (FITC) (A294887)
Goat Anti-Rabbit IgG H&L Antibody (HRP) (A294888)
See all Anti-Rabbit IgG Secondaries →
Disclaimer
This product is for research use only. It is not intended for diagnostic or therapeutic use.
Scientific Validation Data
Validation Data
(2)
Enlarge Image
Anti-SENP2 Antibody (A37493)
Sample (30 µg whole cell lysate) 293TB: MOLT4 7.5% SDS PAGE Primary antibody diluted at 1: 1000
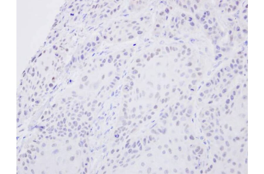
Enlarge Image
Immunohistochemistry - Anti-SENP2 Antibody (A37493)
Immunohistochemical analysis of paraffin-embedded Cal27 xenograft, using SENP2 antibody at 1: 500 dilution.
Publishing research using Anti-SENP2 Antibody (A37493)? Please
let us know
so that we can list the citation on this page.
Alternative products to Anti-SENP2 Antibody (A37493)
A97248
Anti-SENP2 Antibody
Rabbit polyclonal antibody to SENP2 for WB, IHC, IF and ELISA.
A322876
Anti-SENP2 Antibody [OTI1H2]
Mouse monoclonal [OTI1H2] antibody to SENP2 for Flow Cytometry, IF, IHC and WB.
A322875
Anti-SENP2 Antibody [OTI1H2] - BSA and Azide free
Mouse monoclonal [OTI1H2] antibody to SENP2 for Flow Cytometry, IF, IHC and WB.
A93008
Anti-SENP2 Antibody
Rabbit polyclonal antibody to SENP2 for WB.
(2)
A46396
Anti-SENP2 Antibody
Rabbit polyclonal antibody to SENP2 for IHC.
A348327
Anti-SENP2 Antibody [24GB1120]
Recombinant rabbit monoclonal [24GB1120] antibody to SENP2 for WB, Flow Cytometry and ICC/IF.
A43123
Anti-SENP2 Antibody
Rabbit polyclonal antibody to SENP2 for WB.
A97248
Anti-SENP2 Antibody
Rabbit polyclonal antibody to SENP2 for WB, IHC, IF and ELISA.
A322876
Anti-SENP2 Antibody [OTI1H2]
Mouse monoclonal [OTI1H2] antibody to SENP2 for Flow Cytometry, IF, IHC and WB.
A322875
Anti-SENP2 Antibody [OTI1H2] - BSA and Azide free
Mouse monoclonal [OTI1H2] antibody to SENP2 for Flow Cytometry, IF, IHC and WB.
A93008
Anti-SENP2 Antibody
Rabbit polyclonal antibody to SENP2 for WB.
(2)
A46396
Anti-SENP2 Antibody
Rabbit polyclonal antibody to SENP2 for IHC.
A348327
Anti-SENP2 Antibody [24GB1120]
Recombinant rabbit monoclonal [24GB1120] antibody to SENP2 for WB, Flow Cytometry and ICC/IF.
A43123
Anti-SENP2 Antibody
Rabbit polyclonal antibody to SENP2 for WB.
See all SENP2 Antibodies
Proteins predicted to interact with SENP2
Predicted protein interactions based upon String database. Revelancy score correlates with probability of interaction.
SUMO1 Antibodies
99.7% Relevancy Score
SUMO2 Antibodies
99.5% Relevancy Score
RanGAP1 Antibodies
98.9% Relevancy Score
NUP153 Antibodies
98.1% Relevancy Score
SUMO3 Antibodies
98.1% Relevancy Score
Dishevelled 3 Antibodies
91.2% Relevancy Score
DVL1 Antibodies
91.1% Relevancy Score
Dishevelled 2 Antibodies
90.6% Relevancy Score
Lamin B1 Antibodies
79.5% Relevancy Score
Top