ISO 9001:2015 Certified
Live Customer Support
4.5/5 on Trustpilot
100% Quality Guarantee

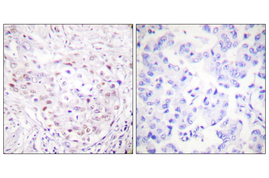
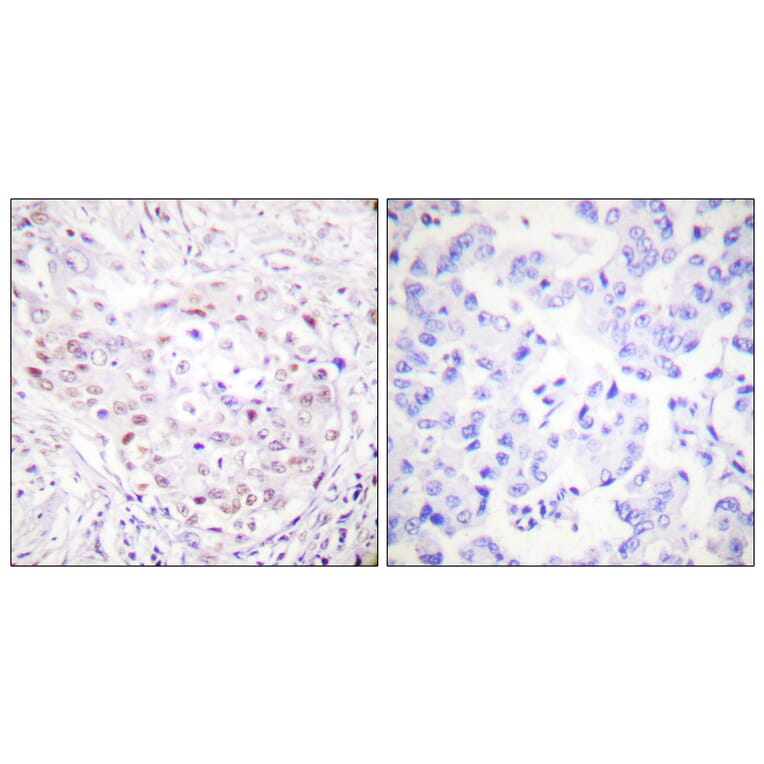
Anti-SENP3 Antibody (A98850)

Rabbit polyclonal antibody to SENP3 for WB, IHC, IF and ELISA.

Shipping Information

$40
Dispatched from St. Louis, MO.
Lead Time: 6-8 business days.
Name
Anti-SENP3 Antibody
Description
Rabbit polyclonal antibody to SENP3.
Applications
WB, IHC, IF, ELISA
Dilutions
IHC: 1:50~1:100, ELISA: 1:10000
Reactivity
Human, Mouse
Cross Reactivity
No reported cross-reactivity.
Immunogen
Synthetic peptide derived from human SENP3 (amino acids 10-59).
Host
Rabbit
Clonality
Polyclonal
Isotype
IgG
Conjugate

Unconjugated

Purification
Purified from rabbit serum by antigen affinity chromatography using the immunizing peptide.
Molecular Weight
65kDa
Product Form
Liquid
Formulation
Supplied in Phosphate Buffered Saline (without Mg2+ and Ca2+), pH 7.4, with 150mM NaCl, 0.02% Sodium Azide, and 50% Glycerol.
Storage
Shipped at 4°C. Upon delivery aliquot and store at -20°C. Avoid freeze / thaw cycles.
Synonyms
Sentrin-specific protease 3, Sentrin/SUMO-specific protease SENP3, SSP3, SUMO-1-specific protease 3, SUSP3
Disclaimer
This product is for research use only. It is not intended for diagnostic or therapeutic use.
Publishing research using Anti-SENP3 Antibody (A98850)? Please let us know so that we can list the citation on this page.

Alternative products to Anti-SENP3 Antibody (A98850)

Proteins predicted to interact with SENP3

Predicted protein interactions based upon String database. Revelancy score correlates with probability of interaction.
99.7% Relevancy Score
98.6% Relevancy Score
97.8% Relevancy Score
97.5% Relevancy Score
96% Relevancy Score
95.6% Relevancy Score
95.4% Relevancy Score
95.2% Relevancy Score
93.3% Relevancy Score