ISO 9001:2015 Certified
Live Customer Support
4.5/5 on Trustpilot
100% Quality Guarantee

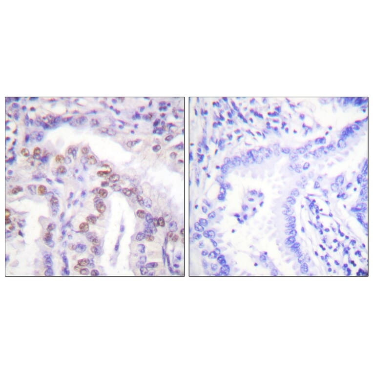
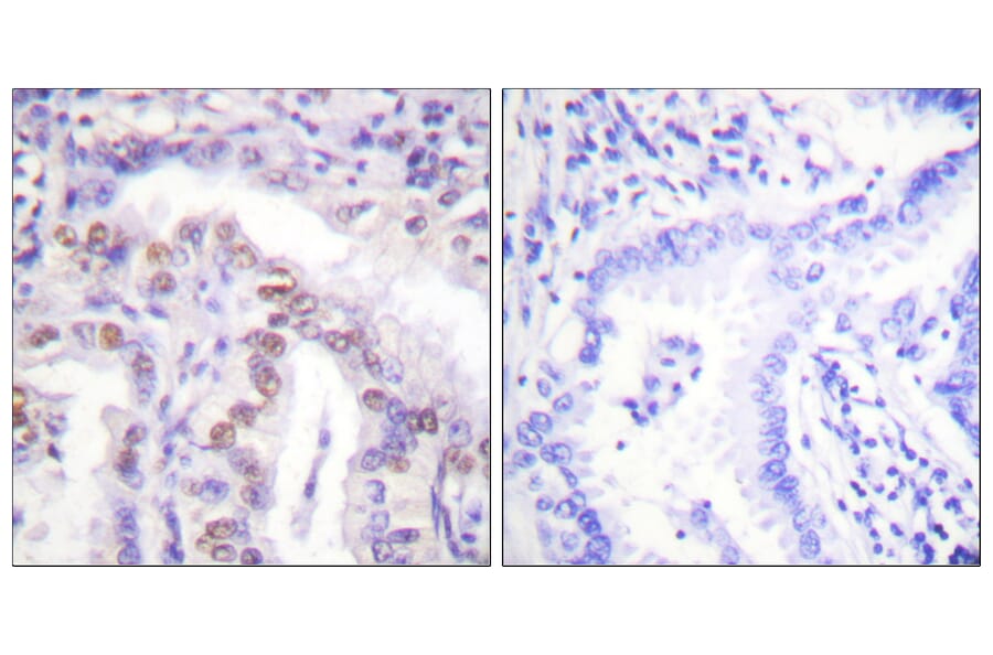
Anti-SENP6 Antibody (A100641)

Rabbit polyclonal antibody to SENP6 for IHC, IF and ELISA.

Shipping Information

$40
Dispatched from St. Louis, MO.
Lead Time: 6-8 business days.
Name
Anti-SENP6 Antibody
Description
Rabbit polyclonal antibody to SENP6.
Applications
IHC, IF, ELISA
Dilutions
IHC: 1:50~1:100, ELISA: 1:10000
Reactivity
Human, Rat, Mouse
Cross Reactivity
No reported cross-reactivity.
Immunogen
Synthetic peptide derived from human SENP6 (amino acids 1042-1091).
Host
Rabbit
Clonality
Polyclonal
Isotype
IgG
Conjugate

Unconjugated

Purification
Purified from rabbit serum by antigen affinity chromatography using the immunizing peptide.
Molecular Weight
126kDa
Product Form
Liquid
Formulation
Supplied in Phosphate Buffered Saline (without Mg2+ and Ca2+), pH 7.4, with 150mM NaCl, 0.02% Sodium Azide, and 50% Glycerol.
Storage
Shipped at 4°C. Upon delivery aliquot and store at -20°C. Avoid freeze / thaw cycles.
Synonyms
KIAA0797, Sentrin-specific protease 6, Sentrin/SUMO-specific protease SENP6, SSP1, SUMO-1-specific protease 1, SUSP1
Disclaimer
This product is for research use only. It is not intended for diagnostic or therapeutic use.
Publishing research using Anti-SENP6 Antibody (A100641)? Please let us know so that we can list the citation on this page.

Alternative products to Anti-SENP6 Antibody (A100641)

Proteins predicted to interact with SENP6

Predicted protein interactions based upon String database. Revelancy score correlates with probability of interaction.
96.7% Relevancy Score
95% Relevancy Score
85% Relevancy Score
83.7% Relevancy Score
74.9% Relevancy Score
74% Relevancy Score
73.4% Relevancy Score
70.5% Relevancy Score
70.1% Relevancy Score