ISO 9001:2015 Certified
Live Customer Support
4.5/5 on Trustpilot
100% Quality Guarantee

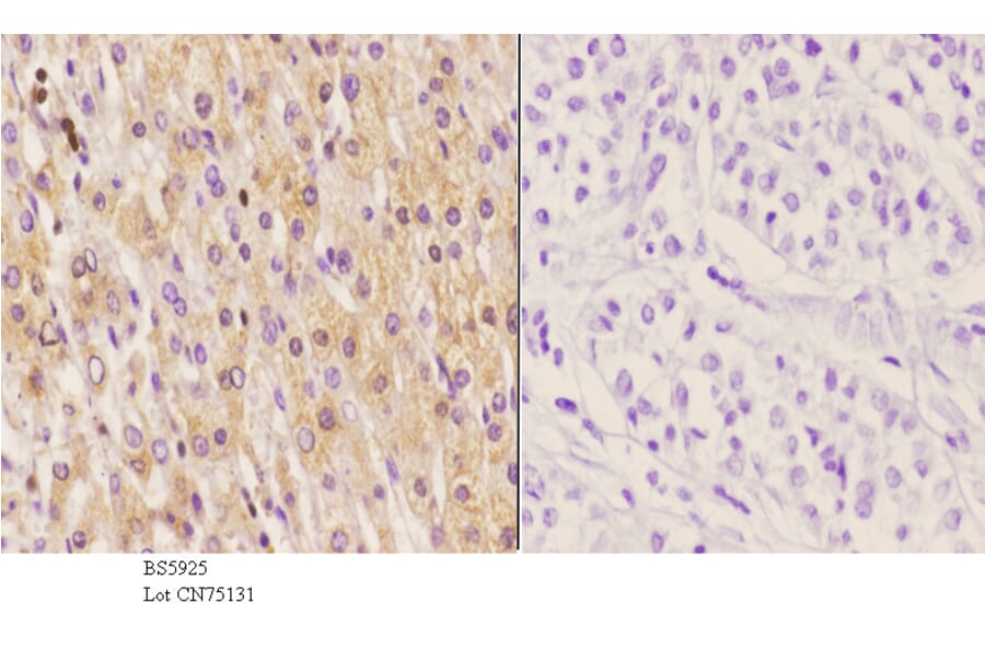
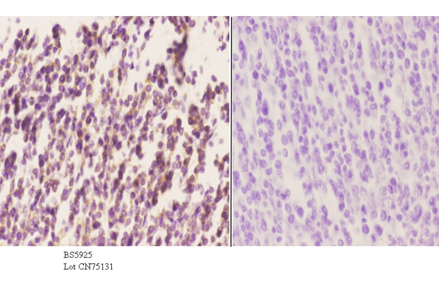
Anti-Septin 6 Antibody (A28157)

$390

Rabbit polyclonal antibody to Septin 6 for WB and IHC.

Shipping Information

$40
Dispatched from St. Louis, MO.
Lead Time: 7-10 business days.
Name
Anti-Septin 6 Antibody
Description
Rabbit polyclonal antibody to Septin 6
Specificity
Septin 6 pAb detects endogenous levels of Septin 6 protein.
Applications
WB, IHC
Reactivity
Human, Mouse, Rat
Immunogen
Synthetic peptide, corresponding to amino acids 267-312 of Human Septin 6.
Host
Rabbit
Clonality
Polyclonal
Conjugate

Unconjugated

Molecular Weight
~ 50 kDa
Purity
The antibody was affinity-purified from rabbit antiserum by affinity-chromatography using epitope-specific immunogen and the purity is > 95% (by SDS-PAGE).
Product Form
1mg/ml in PBS with 0.1% Sodium Azide, 50% Glycerol.
Synonyms
KIAA0128, Nkrf, RCG53214, isoform CRA_d, RP5-876A24.2, SEP2, SEPT2, SEPT6, SEPT6/MLL FUSION GENE, SEPT6_HUMAN, Septin 2, Septin-6
Disclaimer
This product is for research use only. It is not intended for diagnostic or therapeutic use.
Publishing research using Anti-Septin 6 Antibody (A28157)? Please let us know so that we can list the citation on this page.