Primary Antibodies
Secondary Antibodies
Proteins & Peptides
ELISA Kits
About Us
Contact Us
Sign In/Register
0
ISO 9001:2015 Certified
Live Customer Support
4.5/5 on Trustpilot
100% Quality Guarantee
Home
Primary Antibodies
SERINC2 Antibodies
Anti-SERINC2 Antibody (A36891)
Anti-SERINC2 Antibody (A36891)
Overview
Specifications
Images
Enlarge Image
Enlarge Image
$430
Product Datasheet
Rabbit polyclonal antibody to SERINC2 for WB and IHC.
100% Guarantee
Price Match Guarantee
Product Size:
100µl
Quantity:
1
2
3
4
5
6
7
8
9
10
Add To Cart
Request a Quotation
Custom or Bulk Request
Shipping Information
Freight/Packing Charges:
$40
Dispatched from St. Louis, MO.
Lead Time: 6-9 business days.
Specifications
Name
Anti-SERINC2 Antibody
Description
Rabbit polyclonal antibody to SERINC2
Specificity
The antibody detects endogenous levels of total SERINC2 protein.
Applications
WB
,
IHC
Reactivity
Human, Mouse
Immunogen
Synthetic peptide corresponding to a region derived from internal residues of human serine incorporator 2
Host
Rabbit
Clonality
Polyclonal
Conjugate
Unconjugated
Purification
Antigen affinity purification.
Concentration
1.3 mg/mL
Formulation
Supplied in PBS, pH 7.3, containing 0.05% sodium azide and 50% glycerol.
Storage
Shipped at 4°C. Upon delivery aliquot and store at -20°C. Avoid freeze/thaw cycles.
Synonyms
Serine incorporator 2, TDE2L, Tumor differentially expressed protein 2-like
Suitable Secondaries
Goat Anti-Rabbit IgG H&L Antibody (AP) (A294874)
Goat Anti-Rabbit IgG H&L Antibody (Biotin) (A294795)
Goat Anti-Rabbit IgG H&L Antibody (FITC) (A294887)
Goat Anti-Rabbit IgG H&L Antibody (HRP) (A294888)
See all Anti-Rabbit IgG Secondaries →
Disclaimer
This product is for research use only. It is not intended for diagnostic or therapeutic use.
Scientific Validation Data
Validation Data
(2)
Enlarge Image
Anti-SERINC2 Antibody (A36891)
Gel: 8% SDS-PAGE Lysates (from left to right): K562, NIH/3T3, Jurkat, 293T, 231 and hepg2 cell Amount of lysate: 40ug per lane Primary antibody: 1/200 dilution Secondary antibody dilution: 1/8000 Exposure time: 1 minute
Enlarge Image
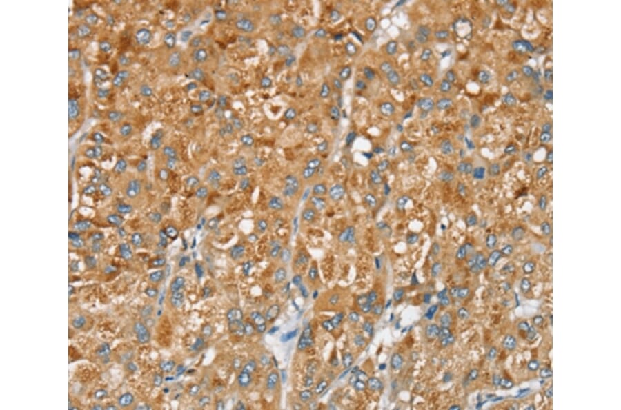
Immunohistochemistry - Anti-SERINC2 Antibody (A36891)
Immunohistochemical analysis of paraffin-embedded Human liver cancer tissue using #37912 at dilution 1/20.
Publishing research using Anti-SERINC2 Antibody (A36891)? Please
let us know
so that we can list the citation on this page.
Alternative products to Anti-SERINC2 Antibody (A36891)
(3)
A96032
Anti-SERC2 Antibody
Rabbit polyclonal antibody to SERC2 for WB, IF and ELISA.
A29390
Anti-SERINC2 Antibody
Rabbit polyclonal antibody to SERINC2 for WB.
(3)
A96032
Anti-SERC2 Antibody
Rabbit polyclonal antibody to SERC2 for WB, IF and ELISA.
A29390
Anti-SERINC2 Antibody
Rabbit polyclonal antibody to SERINC2 for WB.
Proteins predicted to interact with SERINC2
Predicted protein interactions based upon String database. Revelancy score correlates with probability of interaction.
ATP6V0A1 Antibodies
48.3% Relevancy Score
ZCCHC17 Antibodies
43.9% Relevancy Score
Stomatin Antibodies
43.2% Relevancy Score
ATP6V0A2 Antibodies
42.9% Relevancy Score
PHF3 Antibodies
42% Relevancy Score
HRASLS3 Antibodies
40.7% Relevancy Score
ALDH4A1 Antibodies
39.3% Relevancy Score
IPO11 Antibodies
38.9% Relevancy Score
MICS1 Antibodies
38.8% Relevancy Score
Top