ISO 9001:2015 Certified
Live Customer Support
4.5/5 on Trustpilot
100% Quality Guarantee

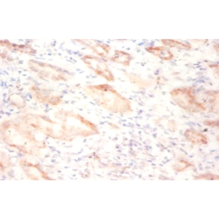
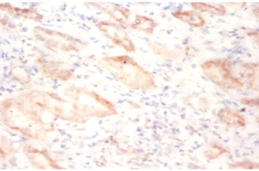
Anti-Serine / threonine-protein phosphatase 2A catalytic subunit beta isoform Antibody (A36124)

Rabbit polyclonal antibody to Serine / threonine-protein phosphatase 2A catalytic subunit beta isoform for WB and IHC.

Shipping Information

$40
Dispatched from St. Louis, MO.
Lead Time: 6-9 business days.
Name
Anti-Serine / threonine-protein phosphatase 2A catalytic subunit beta isoform Antibody
Description
Rabbit polyclonal antibody to Serine / threonine-protein phosphatase 2A catalytic subunit beta isoform
Specificity
The antibody detects endogenous level of total Serine / threonine-protein phosphatase 2A catalytic subunit beta isoform polyclonal antibody.
Applications
WB, IHC
Reactivity
Human
Immunogen
Recombinant human Serine / threonine-protein phosphatase 2A catalytic subunit beta isoform protein
Host
Rabbit
Clonality
Polyclonal
Conjugate

Unconjugated

Purification
Caprylic Acid Ammonium Sulfate Precipitation purified
Concentration
1.0 mg/mL
Formulation
Preservative: 0.03% Proclin 300 Constituents: 50% Glycerol, 0.01M PBS, PH 7.4
Storage
Shipped at 4°C. Upon delivery aliquot and store at -20°C. Avoid freeze/thaw cycles.
Disclaimer
This product is for research use only. It is not intended for diagnostic or therapeutic use.
Publishing research using Anti-Serine / threonine-protein phosphatase 2A catalytic subunit beta isoform Antibody (A36124)? Please let us know so that we can list the citation on this page.