ISO 9001:2015 Certified
Live Customer Support
4.5/5 on Trustpilot
100% Quality Guarantee

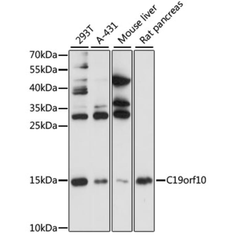
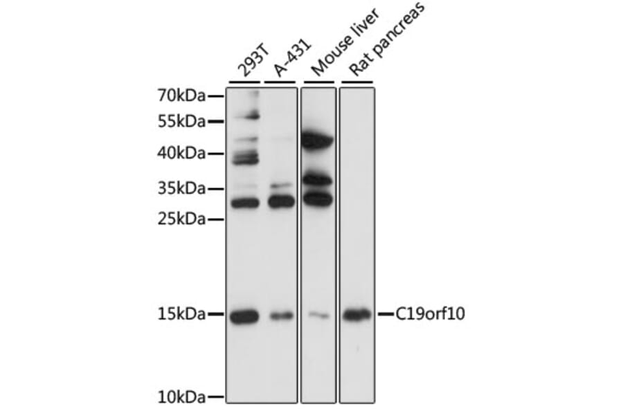
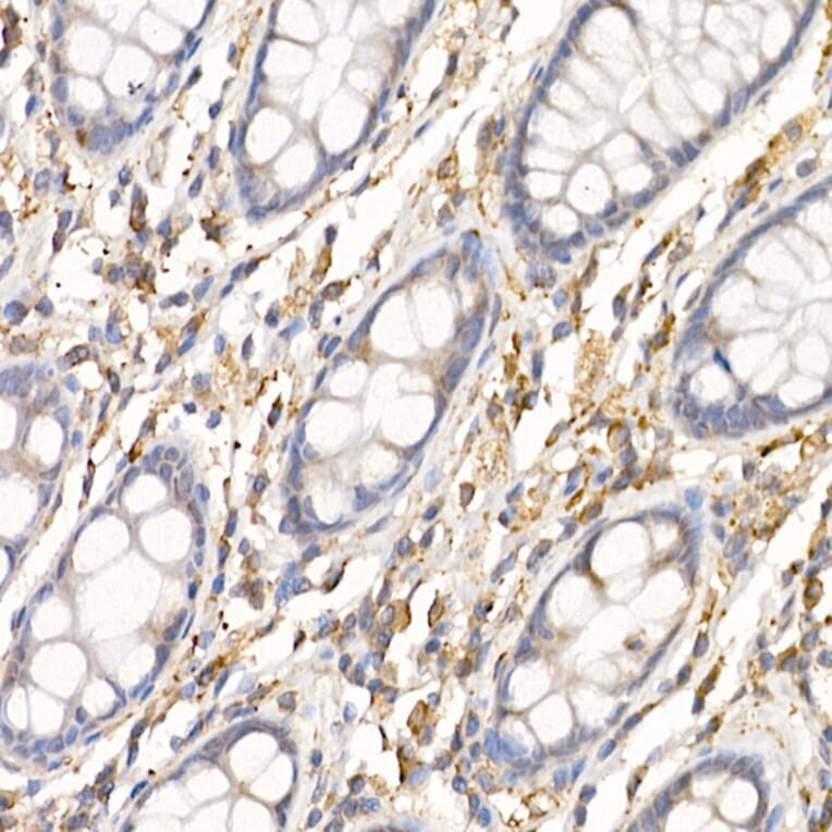
Anti-SF20 Antibody (A13145)

Rabbit polyclonal antibody to SF20 for WB and IHC.

Shipping Information

$40
Dispatched from St. Louis, MO.
Lead Time: 7-10 business days.
Name
Anti-SF20 Antibody
Description
Rabbit polyclonal antibody to SF20.
Applications
WB, IHC
Dilutions
WB: 1:500-1:2,000, IHC: 1:100-1:500
Reactivity
Human, Mouse, Rat
Immunogen
Recombinant fusion protein containing a sequence corresponding to amino acids 1-173 of human C19orf10 (NP_061980.1).
Sequence
MAAPSGGWNGVGASLWAALLLGAVALRPAEAVSEPTTVAFDVRPGGVVHSFSHNVGPGDKYTCMFTYASQGGTNEQWQMSLGTSEDHQHFTCTIWRPQGKSYLYFTQFKAEVRGAEIEYAMAYSKAAFERESDVPLKTEEFEVTKTAVAHRPGAFKAELSKLVIVAKASRTEL
Host
Rabbit
Clonality
Polyclonal
Isotype
IgG
Conjugate

Unconjugated

Purification
Affinity purification.
Concentration
Lot Specific
Molecular Weight
19 kDa
Product Form
Liquid
Formulation
Supplied in Phosphate Buffered Saline, pH 7.3, with 50% Glycerol and 0.01% Thiomersal.
Storage
Shipped at 4°C. Upon delivery aliquot and store at -20°C. Avoid freeze/thaw cycles.
Synonyms
C19orf10, MYDGF, Myeloid-derived growth factor
Disclaimer
This product is for research use only. It is not intended for diagnostic or therapeutic use.
Publishing research using Anti-SF20 Antibody (A13145)? Please let us know so that we can list the citation on this page.

Alternative products to Anti-SF20 Antibody (A13145)

Proteins predicted to interact with SF20

Predicted protein interactions based upon String database. Revelancy score correlates with probability of interaction.
84% Relevancy Score
78.1% Relevancy Score
64.4% Relevancy Score
60.7% Relevancy Score
59.1% Relevancy Score
53.1% Relevancy Score
51.1% Relevancy Score
49.1% Relevancy Score