Primary Antibodies
Secondary Antibodies
Proteins & Peptides
ELISA Kits
About Us
Contact Us
Sign In/Register
0
ISO 9001:2015 Certified
Live Customer Support
4.5/5 on Trustpilot
100% Quality Guarantee
Home
Primary Antibodies
SFRP2 Antibodies
Anti-SFRP2 Antibody (A39739)
Anti-SFRP2 Antibody (A39739)
Overview
Specifications
Images
Enlarge Image
Enlarge Image
Enlarge Image
$415
Product Datasheet
Rabbit polyclonal antibody to SFRP2 for WB.
100% Guarantee
Price Match Guarantee
Product Size:
50µl
100µl
Quantity:
1
2
3
4
5
6
7
8
9
10
Add To Cart
Request a Quotation
Custom or Bulk Request
Shipping Information
Freight/Packing Charges:
$40
Dispatched from St. Louis, MO.
Lead Time: 6-9 business days.
Specifications
Name
Anti-SFRP2 Antibody
Description
Rabbit polyclonal antibody to SFRP2
Specificity
The antibody detects endogenous level of total SFRP2 antibody.
Applications
WB
Dilutions
Western blotting: 1:500 - 1:2000 Immunofluorescence: 1:50 - 1:100
Reactivity
Mouse
Immunogen
Recombinant protein of human SFRP2.
Host
Rabbit
Clonality
Polyclonal
Conjugate
Unconjugated
Purification
Antibodies were purified by affinity purification using immunogen.
Concentration
1.0 mg/mL
Formulation
Supplied in phosphate-buffered saline (without Mg²? and Ca²?), pH 7.4, containing 150 mM NaCl, 0.02% sodium azide, and 50% glycerol.
Storage
Shipped at 4°C. Upon delivery aliquot and store at -20°C. Avoid freeze/thaw cycles.
Synonyms
FRP-2, FRP2, SARP-1, SARP1, Secreted apoptosis-related protein 1, Secreted frizzled-related protein 2, sFRP-2
Suitable Secondaries
Goat Anti-Rabbit IgG H&L Antibody (AP) (A294874)
Goat Anti-Rabbit IgG H&L Antibody (Biotin) (A294795)
Goat Anti-Rabbit IgG H&L Antibody (FITC) (A294887)
Goat Anti-Rabbit IgG H&L Antibody (HRP) (A294888)
See all Anti-Rabbit IgG Secondaries →
Disclaimer
This product is for research use only. It is not intended for diagnostic or therapeutic use.
Scientific Validation Data
Validation Data
(3)
Enlarge Image
Immunofluorescence - Anti-SFRP2 Antibody (A39739)
Immunofluorescence analysis of HeLa cell using SFRP2 antibody. Blue: DAPI for nuclear staining.
Enlarge Image
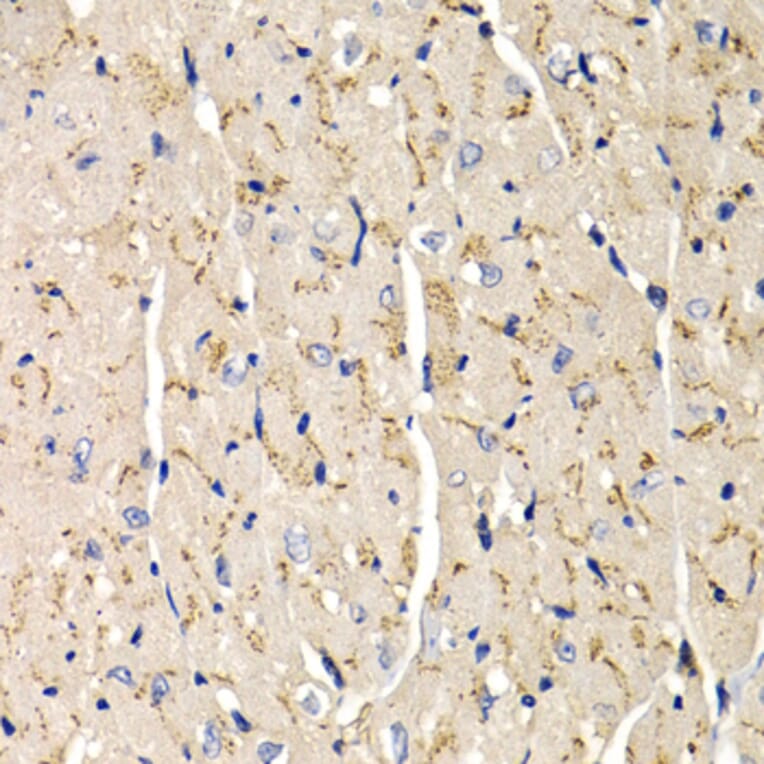
Immunohistochemistry - Anti-SFRP2 Antibody (A39739)
Immunohistochemistry of paraffin-embedded rat brain using SFRP2 antibody at dilution of 1: 200 (400x lens).
Enlarge Image
Immunohistochemistry - Anti-SFRP2 Antibody (A39739)
Immunohistochemistry of paraffin-embedded mouse heart using SFRP2 antibody at dilution of 1: 200 (400x lens).
Publishing research using Anti-SFRP2 Antibody (A39739)? Please
let us know
so that we can list the citation on this page.
Alternative products to Anti-SFRP2 Antibody (A39739)
(3)
A97236
Anti-SFRP2 Antibody
Rabbit polyclonal antibody to SFRP2 for WB and ELISA.
(3)
A30953
Anti-SFRP2 Antibody
Rabbit polyclonal antibody to SFRP2 for WB, IHC and IF.
(3)
A14720
Anti-SFRP2 Antibody
Rabbit polyclonal antibody to SFRP2 for WB and IHC.
(2)
A304925
Anti-SFRP2 Antibody
Rabbit polyclonal antibody to SFRP2 for WB and IHC.
A54757
Anti-SFRP2 Antibody
Rabbit polyclonal antibody to SFRP2 for ELISA and WB.
(3)
A97236
Anti-SFRP2 Antibody
Rabbit polyclonal antibody to SFRP2 for WB and ELISA.
(3)
A30953
Anti-SFRP2 Antibody
Rabbit polyclonal antibody to SFRP2 for WB, IHC and IF.
(3)
A14720
Anti-SFRP2 Antibody
Rabbit polyclonal antibody to SFRP2 for WB and IHC.
(2)
A304925
Anti-SFRP2 Antibody
Rabbit polyclonal antibody to SFRP2 for WB and IHC.
A54757
Anti-SFRP2 Antibody
Rabbit polyclonal antibody to SFRP2 for ELISA and WB.
See all SFRP2 Antibodies
Proteins predicted to interact with SFRP2
Predicted protein interactions based upon String database. Revelancy score correlates with probability of interaction.
Wnt3a Antibodies
93.6% Relevancy Score
Wnt5a Antibodies
91% Relevancy Score
Wnt4 Antibodies
90.6% Relevancy Score
Wnt2 Antibodies
90.3% Relevancy Score
LRP5 Antibodies
88.6% Relevancy Score
Wnt11 Antibodies
88% Relevancy Score
Wnt2b Antibodies
87.6% Relevancy Score
Wnt1 Antibodies
87.6% Relevancy Score
Wnt7a Antibodies
86.9% Relevancy Score
Top