ISO 9001:2015 Certified
Live Customer Support
4.5/5 on Trustpilot
100% Quality Guarantee

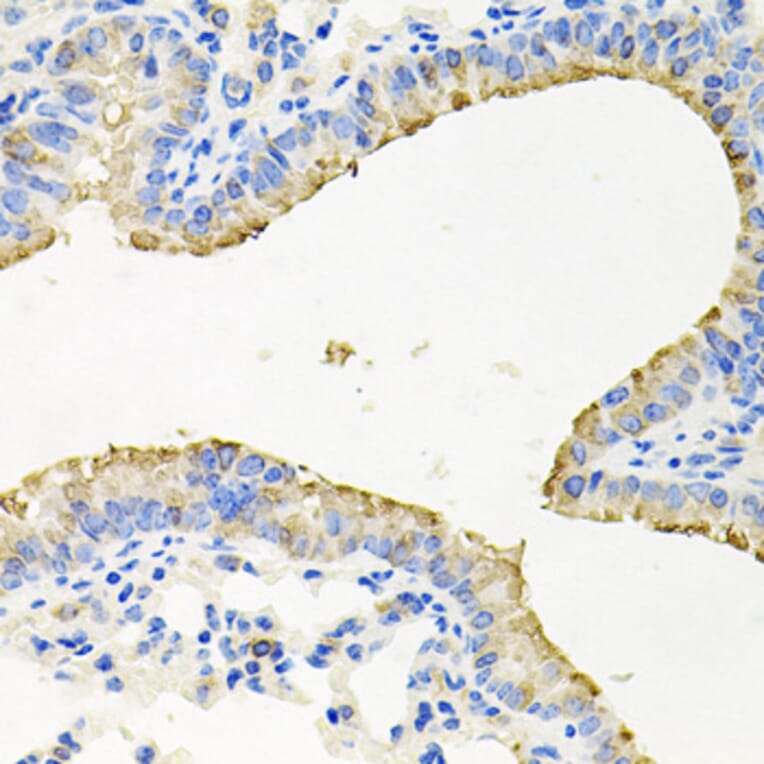
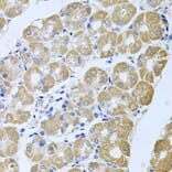
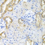
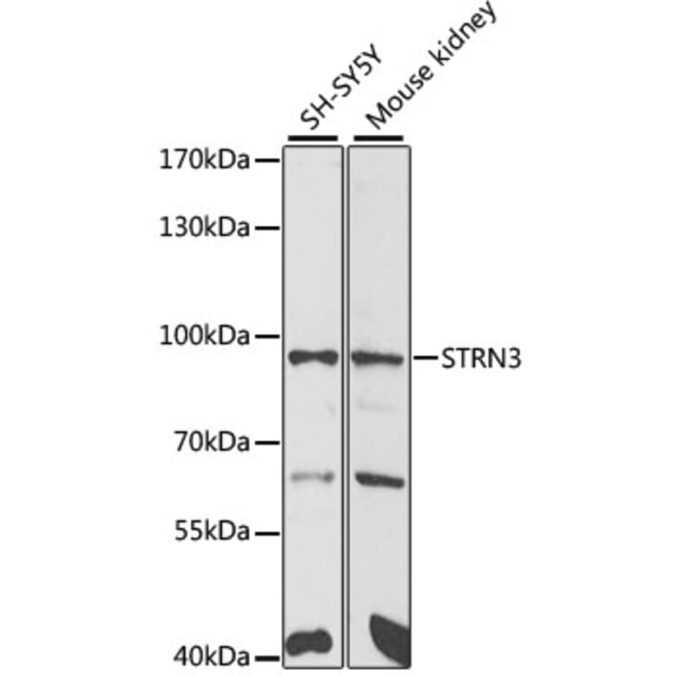
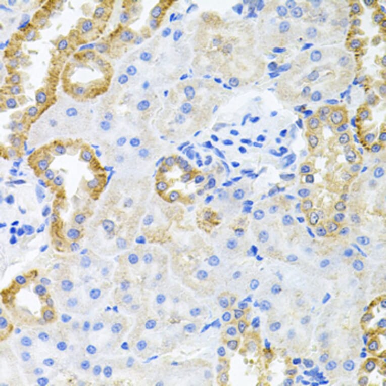
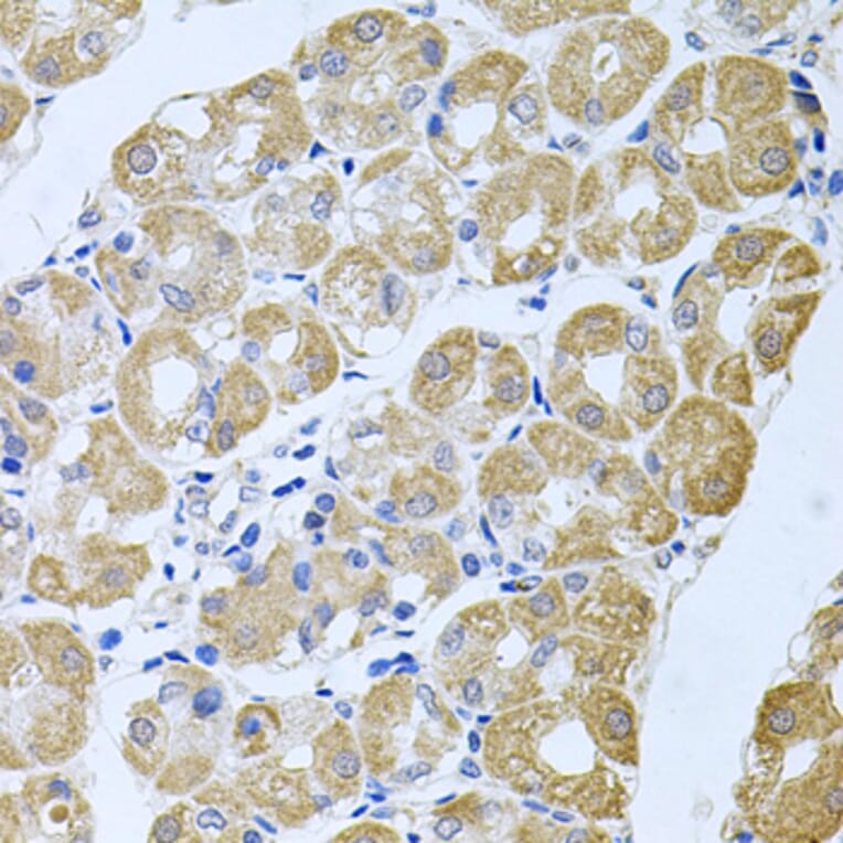
Anti-SG2NA Antibody (A15364)

Rabbit polyclonal antibody to SG2NA for WB, IHC and ICC/IF.

Shipping Information

$40
Dispatched from St. Louis, MO.
Lead Time: 7-10 business days.
Name
Anti-SG2NA Antibody
Description
Rabbit polyclonal antibody to SG2NA.
Applications
WB, IHC, ICC/IF
Dilutions
WB: 1:500-1:2,000, IHC: 1:100-1:200, ICC/IF: 1:50-1:100
Reactivity
Human, Mouse, Rat
Immunogen
Recombinant fusion protein containing a sequence corresponding to amino acids 200-460 of human STRN3 (NP_001077362.1).
Sequence
VRSLLGLSNSEPNGSVETKNLEQILNGGESPKQKGQEIKRSSGDVLETFNFLENADDSDEDEENDMIEGIPEGKDKHRMNKHKIGNEGLAADLTDDPDTEEALKEFDFLVTAEDGEGAGEARSSGDGTEWDKDDLSPTAEVWDVDQGLISKLKEQYKKERKGKKGVKRANRTKLYDMIADLGDDELPHIPSGIINQSRSASTRMTDHEGARAEEAEPITFPSGGGKSFIMGSDDVLLSVLGLGDLADLTVTNDADYSYDLP
Host
Rabbit
Clonality
Polyclonal
Isotype
IgG
Conjugate

Unconjugated

Purification
Affinity purification.
Concentration
Lot Specific
Molecular Weight
87 kDa
Product Form
Liquid
Formulation
Supplied in Phosphate Buffered Saline, pH 7.3, with 50% Glycerol and 0.02% Sodium Azide.
Storage
Shipped at 4°C. Upon delivery aliquot and store at -20°C. Avoid freeze/thaw cycles.
Synonyms
Cell cycle autoantigen SG2NA, GS2NA, S/G2 antigen, Striatin-3
Disclaimer
This product is for research use only. It is not intended for diagnostic or therapeutic use.
Publishing research using Anti-SG2NA Antibody (A15364)? Please let us know so that we can list the citation on this page.

Alternative products to Anti-SG2NA Antibody (A15364)

Proteins predicted to interact with STRN3

Predicted protein interactions based upon String database. Revelancy score correlates with probability of interaction.
99.9% Relevancy Score
99.9% Relevancy Score
99.9% Relevancy Score
99.9% Relevancy Score
99.9% Relevancy Score
99.8% Relevancy Score
99.8% Relevancy Score
99.8% Relevancy Score
99.7% Relevancy Score