Primary Antibodies
Secondary Antibodies
Proteins & Peptides
ELISA Kits
About Us
Contact Us
Sign In/Register
0
ISO 9001:2015 Certified
Live Customer Support
4.5/5 on Trustpilot
100% Quality Guarantee
Home
Primary Antibodies
SH2D5 Antibodies
Anti-SH2D5 Antibody (A97233)
Anti-SH2D5 Antibody (A97233)
Overview
Specifications
Images
Enlarge Image
$200
Product Datasheet
Rabbit polyclonal antibody to SH2D5 for WB, ELISA and IHC.
100% Guarantee
Price Match Guarantee
Product Size:
10µg
100µg
Quantity:
1
2
3
4
5
6
7
8
9
10
Add To Cart
Request a Quotation
Custom or Bulk Request
Shipping Information
Freight/Packing Charges:
$40
Dispatched from St. Louis, MO.
Lead Time: 6-8 business days.
Specifications
Name
Anti-SH2D5 Antibody
Description
Rabbit polyclonal antibody to SH2D5.
Applications
WB
,
ELISA
,
IHC
Dilutions
WB: 1:500~1:1000, ELISA: 1:10000
Reactivity
Human, Mouse, Rat
Cross Reactivity
No reported cross-reactivity.
Immunogen
Synthetic peptide derived from human SH2D5 (amino acids 281-330).
Host
Rabbit
Clonality
Polyclonal
Isotype
IgG
Conjugate
Unconjugated
Purification
Purified from rabbit serum by antigen affinity chromatography using the immunizing peptide.
Molecular Weight
37kDa
Product Form
Liquid
Formulation
Supplied in Phosphate Buffered Saline (without Mg2+ and Ca2+), pH 7.4, with 150mM NaCl, 0.02% Sodium Azide, and 50% Glycerol.
Storage
Shipped at 4°C. Upon delivery aliquot and store at -20°C. Avoid freeze / thaw cycles.
Synonyms
SH2 domain-containing protein 5
Isotype Controls
Rabbit IgG (A82272)
Rabbit IgG (A17360)
Suitable Secondaries
Goat Anti-Rabbit IgG H&L Antibody (AP) (A294874)
Goat Anti-Rabbit IgG H&L Antibody (Biotin) (A294795)
Goat Anti-Rabbit IgG H&L Antibody (FITC) (A294887)
Goat Anti-Rabbit IgG H&L Antibody (HRP) (A294888)
See all Anti-Rabbit IgG Secondaries →
Disclaimer
This product is for research use only. It is not intended for diagnostic or therapeutic use.
Scientific Validation Data
Validation Data
(1)
Enlarge Image
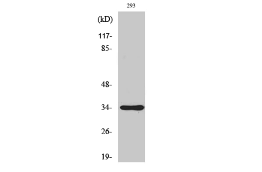
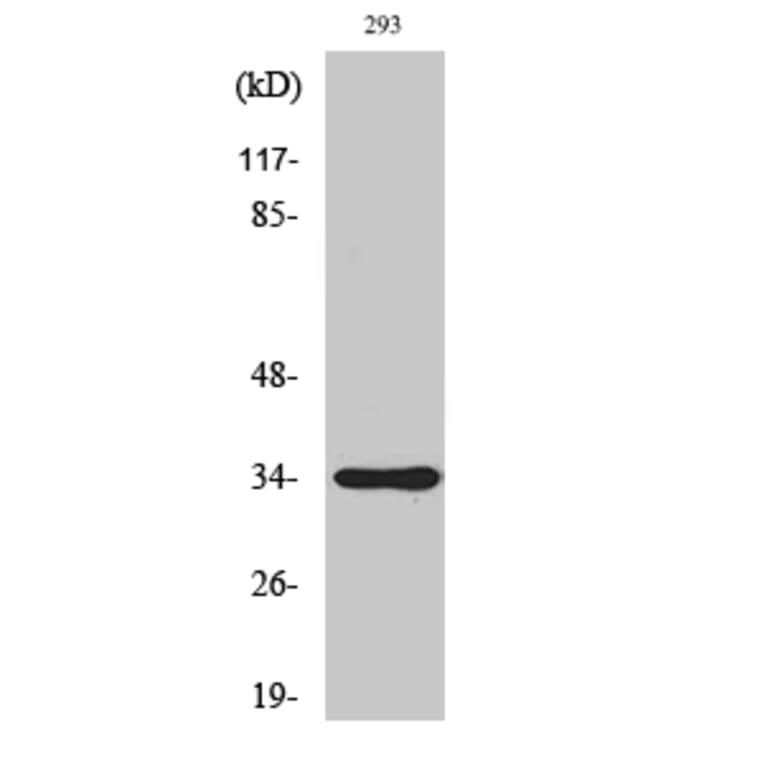
Western Blot - Anti-SH2D5 Antibody (A97233)
Western blot analysis of various cells using Anti-SH2D5 Antibody.
Publishing research using Anti-SH2D5 Antibody (A97233)? Please
let us know
so that we can list the citation on this page.
Alternative products to Anti-SH2D5 Antibody (A97233)
A43017
Anti-SH2D5 Antibody
Rabbit polyclonal antibody to SH2D5 for WB.
A43017
Anti-SH2D5 Antibody
Rabbit polyclonal antibody to SH2D5 for WB.
Proteins predicted to interact with SH2D5
Predicted protein interactions based upon String database. Revelancy score correlates with probability of interaction.
Bcr Antibodies
73.8% Relevancy Score
Transketolase Antibodies
56% Relevancy Score
TKTL1 Antibodies
52.8% Relevancy Score
HP1BP3 Antibodies
42.2% Relevancy Score
ARHGAP22 Antibodies
41.1% Relevancy Score
CASKIN2 Antibodies
39.6% Relevancy Score
PDZK1 Antibodies
37.5% Relevancy Score
KIF17 Antibodies
33.6% Relevancy Score
SHFM3 Antibodies
33.3% Relevancy Score
Top