Primary Antibodies
Secondary Antibodies
Proteins & Peptides
ELISA Kits
About Us
Contact Us
Sign In/Register
0
ISO 9001:2015 Certified
Live Customer Support
4.5/5 on Trustpilot
100% Quality Guarantee
Home
Primary Antibodies
SHBG Antibodies
Anti-SHBG Antibody (A46856)
Anti-SHBG Antibody (A46856)
Overview
Specifications
Images
Enlarge Image
Enlarge Image
$430
Product Datasheet
Rabbit polyclonal antibody to SHBG for IHC.
100% Guarantee
Price Match Guarantee
Product Size:
100µl
Quantity:
1
2
3
4
5
6
7
8
9
10
Add To Cart
Request a Quotation
Custom or Bulk Request
Shipping Information
Freight/Packing Charges:
$40
Dispatched from St. Louis, MO.
Lead Time: 6-9 business days.
Specifications
Name
Anti-SHBG Antibody
Description
Rabbit polyclonal antibody to SHBG
Specificity
The antibody detects endogenous levels of total SHBG protein.
Applications
IHC
Reactivity
Human
Immunogen
Synthetic peptide corresponding to a region derived from internal residues of human Sex hormone-binding globulin
Host
Rabbit
Clonality
Polyclonal
Conjugate
Unconjugated
Purification
Antigen affinity purification.
Concentration
1.8 mg/mL
Formulation
Supplied in PBS, pH 7.3, containing 0.05% sodium azide and 50% glycerol.
Storage
Shipped at 4°C. Upon delivery aliquot and store at -20°C. Avoid freeze/thaw cycles.
Synonyms
ABP, SBP, Sex hormone-binding globulin, Sex steroid-binding protein, TeBG, Testis-specific androgen-binding protein, Testosterone-estradiol-binding globulin, Testosterone-estrogen-binding globulin
Suitable Secondaries
Goat Anti-Rabbit IgG H&L Antibody (AP) (A294874)
Goat Anti-Rabbit IgG H&L Antibody (Biotin) (A294795)
Goat Anti-Rabbit IgG H&L Antibody (FITC) (A294887)
Goat Anti-Rabbit IgG H&L Antibody (HRP) (A294888)
See all Anti-Rabbit IgG Secondaries →
Disclaimer
This product is for research use only. It is not intended for diagnostic or therapeutic use.
Scientific Validation Data
Validation Data
(2)
Enlarge Image
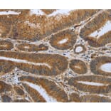
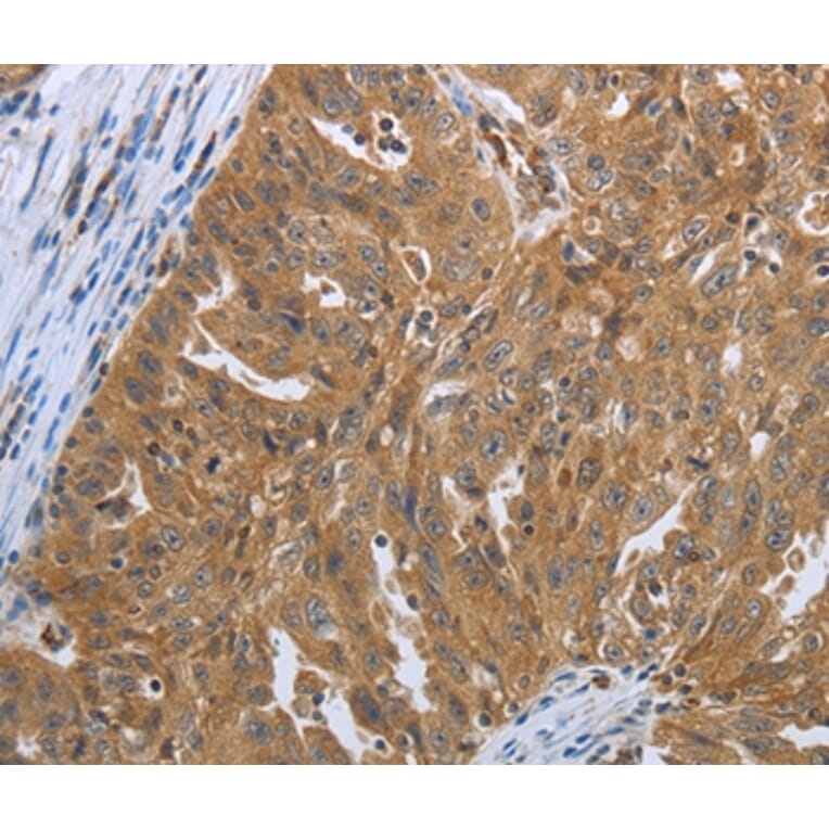
Immunohistochemistry - Anti-SHBG Antibody (A46856)
Immunohistochemical analysis of paraffin-embedded Human cervical cancer tissue using #37027 at dilution 1/20.
Enlarge Image
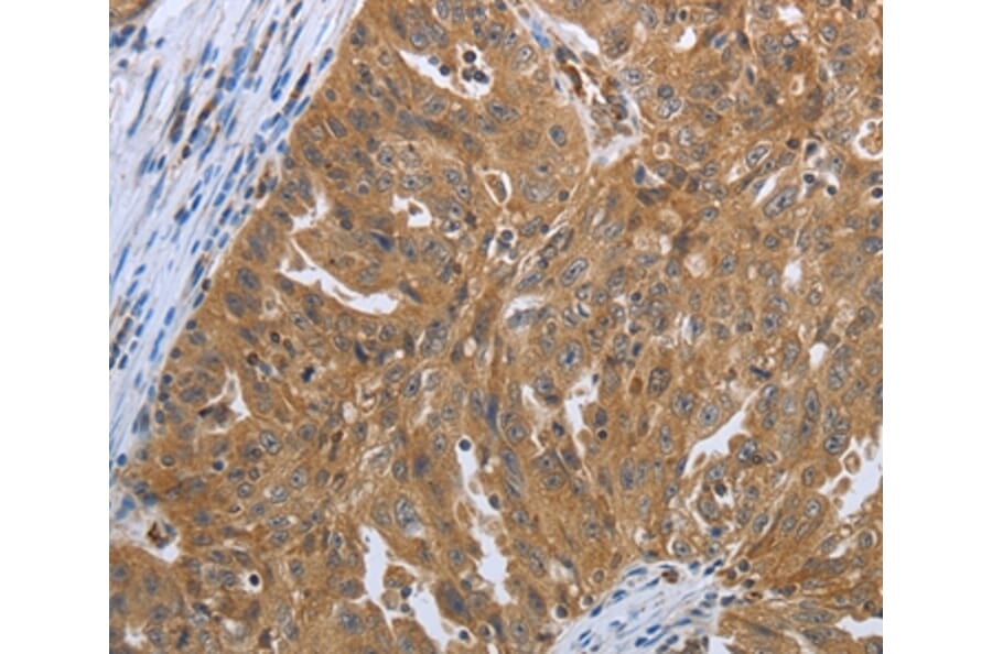
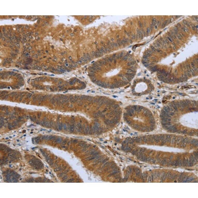
Immunohistochemistry - Anti-SHBG Antibody (A46856)
Immunohistochemical analysis of paraffin-embedded Human ovarian cancer tissue using #37027 at dilution 1/20.
Publishing research using Anti-SHBG Antibody (A46856)? Please
let us know
so that we can list the citation on this page.
Alternative products to Anti-SHBG Antibody (A46856)
(2)
A12120
Anti-SHBG Antibody
Rabbit polyclonal antibody to SHBG for WB and IHC.
A32075
Anti-SHBG Antibody
Rabbit polyclonal antibody to SHBG for WB and IHC.
A326297
Anti-SHBG Antibody
Goat polyclonal antibody to SHBG for ELISA and IHC.
A278808
Anti-SHBG Antibody [31.7E2]
Mouse monoclonal [317E2] antibody to SHBG for ELISA.
A342410
Anti-SHBG Antibody
Mouse monoclonal IVD antibody to SHBG for FIA.
A342411
Anti-SHBG Antibody
Mouse monoclonal IVD antibody to SHBG for FIA.
A342418
Anti-SHBG Antibody
Mouse monoclonal IVD antibody to SHBG for FIA.
(2)
A12120
Anti-SHBG Antibody
Rabbit polyclonal antibody to SHBG for WB and IHC.
A32075
Anti-SHBG Antibody
Rabbit polyclonal antibody to SHBG for WB and IHC.
A326297
Anti-SHBG Antibody
Goat polyclonal antibody to SHBG for ELISA and IHC.
A278808
Anti-SHBG Antibody [31.7E2]
Mouse monoclonal [317E2] antibody to SHBG for ELISA.
A342410
Anti-SHBG Antibody
Mouse monoclonal IVD antibody to SHBG for FIA.
A342411
Anti-SHBG Antibody
Mouse monoclonal IVD antibody to SHBG for FIA.
A342418
Anti-SHBG Antibody
Mouse monoclonal IVD antibody to SHBG for FIA.
See all SHBG Antibodies
Proteins predicted to interact with SHBG
Predicted protein interactions based upon String database. Revelancy score correlates with probability of interaction.
Albumin Antibodies
99.6% Relevancy Score
SERPINA6 Antibodies
95.3% Relevancy Score
Insulin Antibodies
88.3% Relevancy Score
IGF1 Antibodies
86.1% Relevancy Score
Adiponectin Antibodies
82.3% Relevancy Score
Prolactin Antibodies
82.2% Relevancy Score
AMH Antibodies
79.2% Relevancy Score
Thyroxine Binding Globulin Antibodies
77% Relevancy Score
Aromatase Antibodies
76.9% Relevancy Score
Top