ISO 9001:2015 Certified
Live Customer Support
4.5/5 on Trustpilot
100% Quality Guarantee

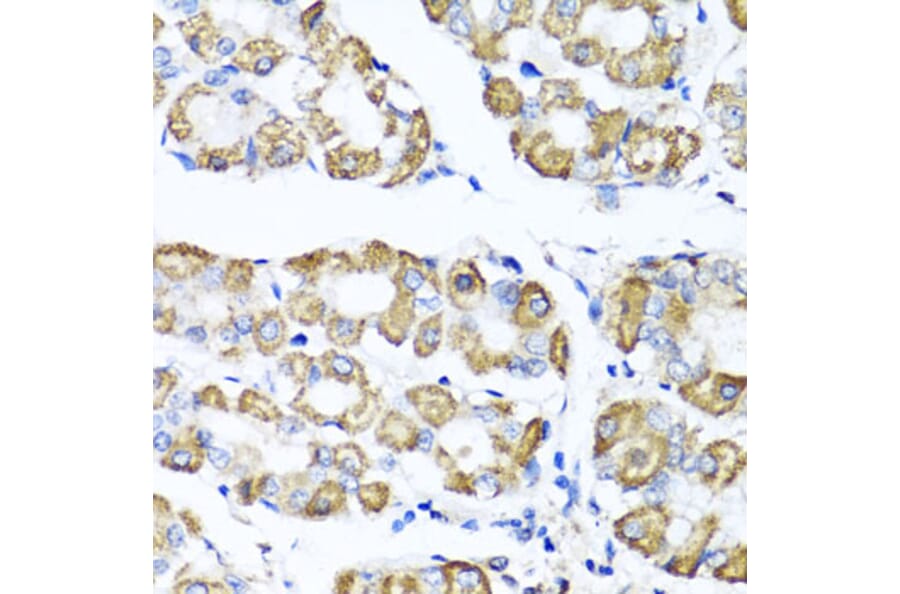
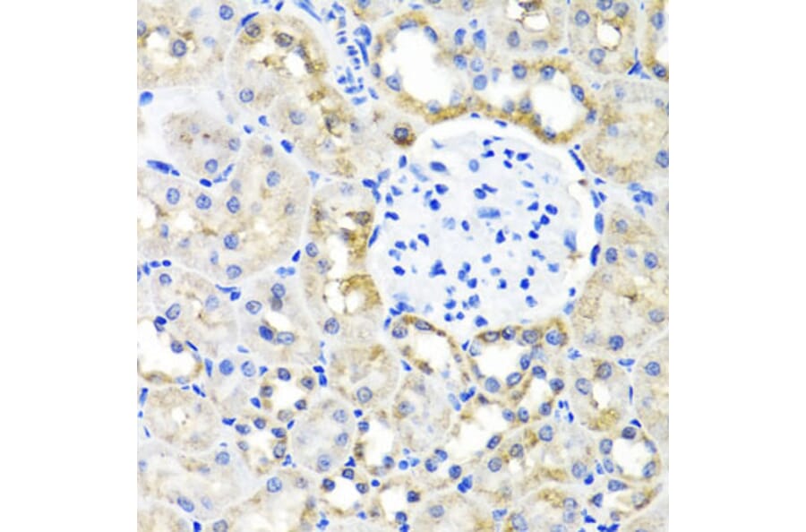
Anti-SHMT1 Antibody (A16914)

This product is discontinued

Anti-SHMT1 Antibody (A16914) has been discontinued and is no longer available.

View all SHMT1 Antibodies.

Name
Anti-SHMT1 Antibody
Description
Rabbit polyclonal antibody to SHMT1.
Applications
WB, IHC
Dilutions
WB: 1:500-1:1,000, IHC: 1:50-1:200
Reactivity
Human, Mouse, Rat
Immunogen
Recombinant fusion protein containing a sequence corresponding to amino acids 285-444 of human SHMT1 (NP_683718.1).
Sequence
FKVYQHQVVANCRALSEALTELGYKIVTGGSDNHLILVDLRSKGTDGGRAEKVLEACSIACNKNTCPGDRSALRPSGLRLGTPALTSRGLLEKDFQKVAHFIHRGIELTLQIQSDTGVRATLKEFKERLAGDKYQAAVQALREEVESFASLFPLPGLPDF
Host
Rabbit
Clonality
Polyclonal
Isotype
IgG
Conjugate

Unconjugated

Purification
Affinity purification.
Molecular Weight
50 kDa
Product Form
Liquid
Formulation
Supplied in Phosphate Buffered Saline, pH 7.3, with 50% Glycerol and 0.02% Sodium Azide.
Storage
Shipped at 4°C. Upon delivery aliquot and store at -20°C. Avoid freeze / thaw cycles.
Synonyms
Glycine hydroxymethyltransferase, Serine hydroxymethyltransferase, cytosolic, Serine methylase, SHMT
Disclaimer
This product is for research use only. It is not intended for diagnostic or therapeutic use.

Alternative products to Anti-SHMT1 Antibody (A16914)

Proteins predicted to interact with SHMT1

Predicted protein interactions based upon String database. Revelancy score correlates with probability of interaction.
99.9% Relevancy Score
99.9% Relevancy Score
99.8% Relevancy Score
99.8% Relevancy Score
99.8% Relevancy Score
99.7% Relevancy Score
99.7% Relevancy Score
99.6% Relevancy Score
99.5% Relevancy Score