Primary Antibodies
Secondary Antibodies
Proteins & Peptides
ELISA Kits
About Us
Contact Us
Sign In/Register
0
ISO 9001:2015 Certified
Live Customer Support
4.5/5 on Trustpilot
100% Quality Guarantee
Home
Primary Antibodies
Sur-8 Antibodies
Anti-SHOC2 Antibody (A48000)
Anti-SHOC2 Antibody (A48000)
Overview
Specifications
Images
Enlarge Image
Enlarge Image
$780
Product Datasheet
Rabbit polyclonal antibody to SHOC2 for ELISA, WB and IHC.
100% Guarantee
Price Match Guarantee
Product Size:
100µl
Quantity:
1
2
3
4
5
6
7
8
9
10
Add To Cart
Request a Quotation
Custom or Bulk Request
Shipping Information
Freight/Packing Charges:
$40
Dispatched from St. Louis, MO.
Lead Time: 6-9 business days.
Specifications
Name
Anti-SHOC2 Antibody
Description
Rabbit polyclonal antibody to SHOC2
Applications
ELISA
,
WB
,
IHC
Reactivity
Human, Mouse, Rat
Immunogen
Raised against a 21 amino acid peptide near the amino terminus of human SHOC2.
Host
Rabbit
Clonality
Polyclonal
Conjugate
Unconjugated
Purification
Affinity chromatography purified via peptide column
Formulation
Supplied in phosphate-buffered saline with 0.02% Sodium Azide.
Storage
Shipped at 4°C. Upon delivery aliquot and store at -20°C. Avoid freeze/thaw cycles.
Synonyms
KIAA0862, Leucine-rich repeat protein SHOC-2, Protein soc-2 homolog, Protein sur-8 homolog
Suitable Secondaries
Goat Anti-Rabbit IgG H&L Antibody (AP) (A294874)
Goat Anti-Rabbit IgG H&L Antibody (Biotin) (A294795)
Goat Anti-Rabbit IgG H&L Antibody (FITC) (A294887)
Goat Anti-Rabbit IgG H&L Antibody (HRP) (A294888)
See all Anti-Rabbit IgG Secondaries →
Disclaimer
This product is for research use only. It is not intended for diagnostic or therapeutic use.
Scientific Validation Data
Validation Data
(2)
Enlarge Image
Anti-SHOC2 Antibody (A48000)
Western blot analysis of SHOC2 in Jurkat cell lysate with SHOC2 antibody at (A) 1 and (B) 2 µg/mL.
Enlarge Image
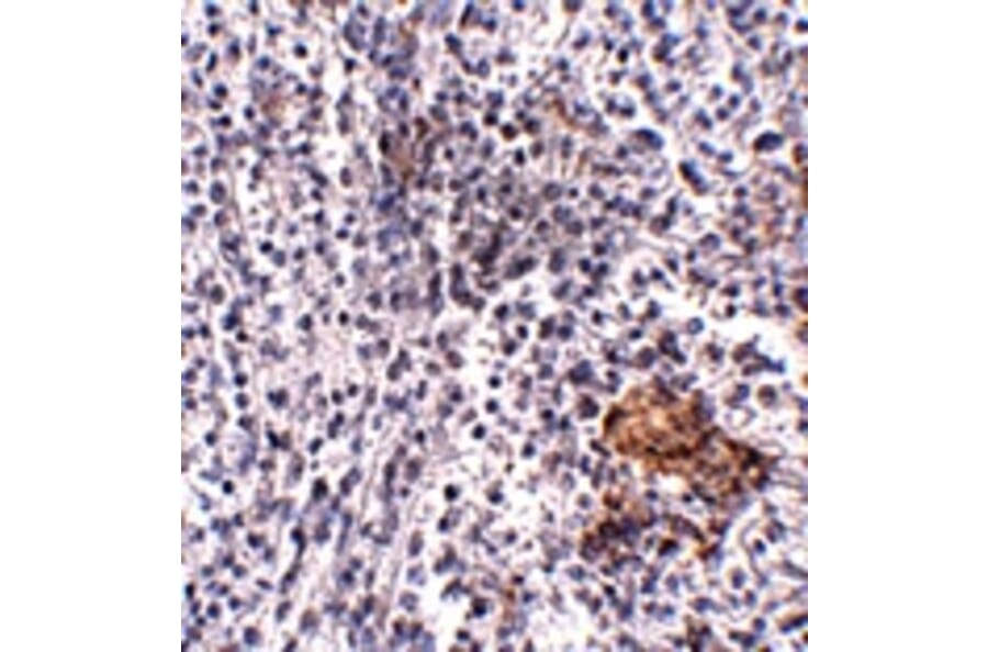
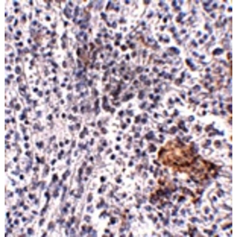
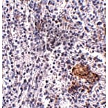
Immunohistochemistry - Anti-SHOC2 Antibody (A48000)
Immunohistochemistry of SHOC2 in human spleen tissue with SHOC2 antibody at 5 µg/mL.
Publishing research using Anti-SHOC2 Antibody (A48000)? Please
let us know
so that we can list the citation on this page.
Proteins predicted to interact with Sur-8
Predicted protein interactions based upon String database. Revelancy score correlates with probability of interaction.
MRas Antibodies
99.9% Relevancy Score
PP1C gamma Antibodies
99.3% Relevancy Score
HRAS Antibodies
99% Relevancy Score
KRAS Antibodies
98.9% Relevancy Score
NRAS Antibodies
98.7% Relevancy Score
Raf1 Antibodies
98.3% Relevancy Score
PPP1CB Antibodies
97.9% Relevancy Score
RRAS Antibodies
96.4% Relevancy Score
PPP1CA Antibodies
95.1% Relevancy Score
Top