Western blot analysis of extracts of various cell lines, using Anti-SIGLEC15 Antibody (A305933) at 1:1,000 dilution. The secondary antibody was Goat Anti-Rabbit IgG H&L Antibody (HRP) at 1:10,000 dilution. Lysates/proteins were present at 25µg per lane. The blocking buffer used was 3% non-fat dry milk in TBST. Detection was with a ECL Basic Kit. Exposure time: 180s.
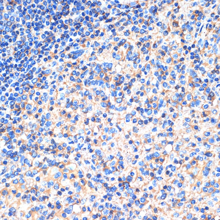
Immunohistochemistry analysis of paraffin-embedded human spleen using Anti-SIGLEC15 Antibody (A305933) at a dilution of 1:100 (40x lens). Perform microwave antigen retrieval with 10 mM Tris/EDTA buffer pH 9.0 before commencing with IHC staining protocol.
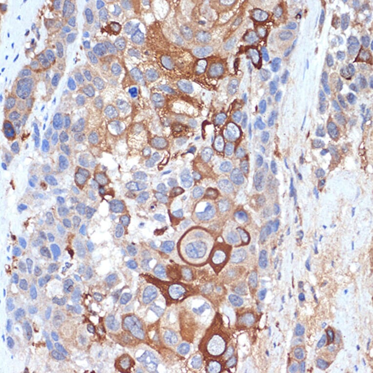
Immunohistochemistry analysis of paraffin-embedded human esophageal cancer using Anti-SIGLEC15 Antibody (A305933) at a dilution of 1:100 (40x lens). Perform microwave antigen retrieval with 10 mM Tris/EDTA buffer pH 9.0 before commencing with IHC staining protocol.
Immunofluorescence analysis of human spleen cells using Anti-SIGLEC15 Antibody (A305933) at a dilution of 1:100 (40x lens). DAPI was used to stain the cell nuclei (blue).
Publishing research using Anti-SIGLEC15 Antibody (A305933)? Please let us know so that we can list the citation on this page.
Alternative products to Anti-SIGLEC15 Antibody (A305933)
Recombinant human monoclonal antibody to SIGLEC15 for use as a research grade Aldastotug biosimilar for ELISA, Flow Cytometry, Functional Studies and in vivo Research.
Recombinant humanized monoclonal antibody to SIGLEC15 for use as a research grade Anti-Human SIGLEC1 for ELISA, Flow Cytometry, Functional Studies and in vivo Research.
Recombinant human monoclonal antibody to SIGLEC15 for use as a research grade AB-25E9 biosimilar for ELISA, Flow Cytometry, Functional Studies and in vivo Research.
Recombinant human monoclonal antibody to SIGLEC15 for use as a research grade BSI-060T biosimilar for ELISA, Flow Cytometry, Functional Studies and in vivo Research.
Recombinant human monoclonal antibody to SIGLEC15 for use as a research grade DS1501 biosimilar for ELISA, Flow Cytometry, Functional Studies and in vivo Research.
Recombinant human monoclonal antibody to SIGLEC15 for use as a research grade NC318 biosimilar for ELISA, Flow Cytometry, Functional Studies and in vivo Research.
Recombinant human monoclonal antibody to SIGLEC15 for use as a research grade Aldastotug biosimilar for ELISA, Flow Cytometry, Functional Studies and in vivo Research.
Recombinant humanized monoclonal antibody to SIGLEC15 for use as a research grade Anti-Human SIGLEC1 for ELISA, Flow Cytometry, Functional Studies and in vivo Research.
Recombinant human monoclonal antibody to SIGLEC15 for use as a research grade AB-25E9 biosimilar for ELISA, Flow Cytometry, Functional Studies and in vivo Research.
Recombinant human monoclonal antibody to SIGLEC15 for use as a research grade BSI-060T biosimilar for ELISA, Flow Cytometry, Functional Studies and in vivo Research.
Recombinant human monoclonal antibody to SIGLEC15 for use as a research grade DS1501 biosimilar for ELISA, Flow Cytometry, Functional Studies and in vivo Research.
Recombinant human monoclonal antibody to SIGLEC15 for use as a research grade NC318 biosimilar for ELISA, Flow Cytometry, Functional Studies and in vivo Research.