Primary Antibodies
Secondary Antibodies
Proteins & Peptides
ELISA Kits
About Us
Contact Us
Sign In/Register
0
ISO 9001:2015 Certified
Live Customer Support
4.5/5 on Trustpilot
100% Quality Guarantee
Home
Primary Antibodies
SIPA1L2 Antibodies
Anti-SIPA1L2 Antibody (A47491)
Anti-SIPA1L2 Antibody (A47491)
Overview
Specifications
Images
Enlarge Image
Enlarge Image
$780
Product Datasheet
Rabbit polyclonal antibody to SIPA1L2 for ELISA, WB and IHC.
100% Guarantee
Price Match Guarantee
Product Size:
100µl
Quantity:
1
2
3
4
5
6
7
8
9
10
Add To Cart
Request a Quotation
Custom or Bulk Request
Shipping Information
Freight/Packing Charges:
$40
Dispatched from St. Louis, MO.
Lead Time: 6-9 business days.
Specifications
Name
Anti-SIPA1L2 Antibody
Description
Rabbit polyclonal antibody to SIPA1L2
Applications
ELISA
,
WB
,
IHC
Reactivity
Human, Mouse, Rat
Immunogen
Raised against a 19 amino acid peptide from near the amino terminus of human SIPA1L2.
Host
Rabbit
Clonality
Polyclonal
Conjugate
Unconjugated
Purification
Affinity chromatography purified via peptide column
Formulation
Supplied in phosphate-buffered saline with 0.02% Sodium Azide.
Storage
Shipped at 4°C. Upon delivery aliquot and store at -20°C. Avoid freeze/thaw cycles.
Synonyms
KIAA1389, Signal-induced proliferation-associated 1-like protein 2, SIPA1-like protein 2
Suitable Secondaries
Goat Anti-Rabbit IgG H&L Antibody (AP) (A294874)
Goat Anti-Rabbit IgG H&L Antibody (Biotin) (A294795)
Goat Anti-Rabbit IgG H&L Antibody (FITC) (A294887)
Goat Anti-Rabbit IgG H&L Antibody (HRP) (A294888)
See all Anti-Rabbit IgG Secondaries →
Disclaimer
This product is for research use only. It is not intended for diagnostic or therapeutic use.
Scientific Validation Data
Validation Data
(2)
Enlarge Image
Anti-SIPA1L2 Antibody (A47491)
Western blot analysis of SIPA1L2 in rat brain tissue lysate with SIPA1L2 antibody at 1 µg/mL in (A) the absence and (B) the presence of blocking peptide.
Enlarge Image
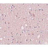
Immunohistochemistry - Anti-SIPA1L2 Antibody (A47491)
Immunohistochemistry of SIPA1L2 in human brain tissue with SIPA1L2 antibody at 5 µg/mL.
Publishing research using Anti-SIPA1L2 Antibody (A47491)? Please
let us know
so that we can list the citation on this page.
Proteins predicted to interact with SIPA1L2
Predicted protein interactions based upon String database. Revelancy score correlates with probability of interaction.
RAP1B Antibodies
91.3% Relevancy Score
RAP1A Antibodies
90.9% Relevancy Score
SIPA1 Antibodies
65.9% Relevancy Score
SIPA1L1 Antibodies
65.5% Relevancy Score
LZTS2 Antibodies
63.4% Relevancy Score
SNAPIN Antibodies
61.4% Relevancy Score
ProSAPiP1 Antibodies
61% Relevancy Score
LZTS1 Antibodies
58.9% Relevancy Score
SIPA1L3 Antibodies
54.2% Relevancy Score
Top