Primary Antibodies
Secondary Antibodies
Proteins & Peptides
ELISA Kits
About Us
Contact Us
Sign In/Register
0
ISO 9001:2015 Certified
Live Customer Support
4.5/5 on Trustpilot
100% Quality Guarantee
Home
Primary Antibodies
SIPA1L3 Antibodies
Anti-SIPA1L3 Antibody (A47492)
Anti-SIPA1L3 Antibody (A47492)
Overview
Specifications
Images
Enlarge Image
Enlarge Image
$780
Product Datasheet
Rabbit polyclonal antibody to SIPA1L3 for ELISA, WB and IHC.
100% Guarantee
Price Match Guarantee
Product Size:
100µl
Quantity:
1
2
3
4
5
6
7
8
9
10
Add To Cart
Request a Quotation
Custom or Bulk Request
Shipping Information
Freight/Packing Charges:
$40
Dispatched from St. Louis, MO.
Lead Time: 6-9 business days.
Specifications
Name
Anti-SIPA1L3 Antibody
Description
Rabbit polyclonal antibody to SIPA1L3
Applications
ELISA
,
WB
,
IHC
Reactivity
Human, Mouse, Rat
Immunogen
Raised against a 15 amino acid peptide from near the amino terminus of human SIPA1L3.
Host
Rabbit
Clonality
Polyclonal
Conjugate
Unconjugated
Purification
Affinity chromatography purified via peptide column
Formulation
Supplied in phosphate-buffered saline with 0.02% Sodium Azide.
Storage
Shipped at 4°C. Upon delivery aliquot and store at -20°C. Avoid freeze/thaw cycles.
Synonyms
KIAA0545, Signal-induced proliferation-associated 1-like protein 3, SIPA1-like protein 3, SPA-1-like protein 3, SPAL3
Suitable Secondaries
Goat Anti-Rabbit IgG H&L Antibody (AP) (A294874)
Goat Anti-Rabbit IgG H&L Antibody (Biotin) (A294795)
Goat Anti-Rabbit IgG H&L Antibody (FITC) (A294887)
Goat Anti-Rabbit IgG H&L Antibody (HRP) (A294888)
See all Anti-Rabbit IgG Secondaries →
Disclaimer
This product is for research use only. It is not intended for diagnostic or therapeutic use.
Scientific Validation Data
Validation Data
(2)
Enlarge Image
Anti-SIPA1L3 Antibody (A47492)
Western blot analysis of SIPA1L3 in SK-N-SH lysate with SIPA1L3 antibody at 1 µg/mL.
Enlarge Image
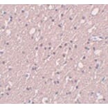
Immunohistochemistry - Anti-SIPA1L3 Antibody (A47492)
Immunohistochemistry of SIPA1L3 in human brain tissue with SIPA1L3 antibody at 5 µg/mL.
Publishing research using Anti-SIPA1L3 Antibody (A47492)? Please
let us know
so that we can list the citation on this page.
Proteins predicted to interact with SIPA1L3
Predicted protein interactions based upon String database. Revelancy score correlates with probability of interaction.
ProSAPiP1 Antibodies
71.8% Relevancy Score
SIPA1L1 Antibodies
64.8% Relevancy Score
SIPA1 Antibodies
64.2% Relevancy Score
LZTS2 Antibodies
63.7% Relevancy Score
SIPA1L2 Antibodies
54.2% Relevancy Score
14-3-3 zeta Antibodies
47.6% Relevancy Score
14-3-3 tau Antibodies
47.3% Relevancy Score
PGBD1 Antibodies
46.6% Relevancy Score
14-3-3 epsilon Antibodies
46.1% Relevancy Score
Top