Primary Antibodies
Secondary Antibodies
Proteins & Peptides
ELISA Kits
About Us
Contact Us
Sign In/Register
0
ISO 9001:2015 Certified
Live Customer Support
4.5/5 on Trustpilot
100% Quality Guarantee
Home
Primary Antibodies
SLAM Antibodies
Anti-SLAMF1 Antibody (A100306)
Anti-SLAMF1 Antibody (A100306)
Overview
Specifications
Images
Enlarge Image
Enlarge Image
Enlarge Image
Enlarge Image
$200
Product Datasheet
Rabbit polyclonal antibody to SLAMF1 for WB, IHC, IF and ELISA.
100% Guarantee
Price Match Guarantee
Product Size:
10µg
100µg
Quantity:
1
2
3
4
5
6
7
8
9
10
Add To Cart
Request a Quotation
Custom or Bulk Request
Shipping Information
Freight/Packing Charges:
$40
Dispatched from St. Louis, MO.
Lead Time: 6-8 business days.
Tags:
T Follicular Helper Cell Marker
Specifications
Name
Anti-SLAMF1 Antibody
Description
Rabbit polyclonal antibody to SLAMF1.
Applications
WB
,
IHC
,
IF
,
ELISA
Dilutions
WB: 1:500~1:1000, ELISA: 1:10000
Reactivity
Human, Rat, Mouse
Cross Reactivity
No reported cross-reactivity.
Immunogen
Synthetic peptide derived from the Internal region of human SLAMF1 (amino acids 81-130).
Host
Rabbit
Clonality
Polyclonal
Isotype
IgG
Conjugate
Unconjugated
Purification
The antibody was affinity-purified from rabbit antiserum by affinity-chromatography using peptide.
Molecular Weight
37kDa
Product Form
Liquid
Formulation
Supplied in Phosphate Buffered Saline (without Mg2+ and Ca2+), pH 7.4, with 150mM NaCl, 0.02% Sodium Azide, and 50% Glycerol.
Storage
Shipped at 4°C. Upon delivery aliquot and store at -20°C. Avoid freeze / thaw cycles.
Synonyms
CD150, CDw150, IPO-3, Signaling lymphocytic activation molecule, SLAM family member 1, SLAMF1
Isotype Controls
Rabbit IgG (A82272)
Rabbit IgG (A17360)
Suitable Secondaries
Goat Anti-Rabbit IgG H&L Antibody (AP) (A294874)
Goat Anti-Rabbit IgG H&L Antibody (Biotin) (A294795)
Goat Anti-Rabbit IgG H&L Antibody (FITC) (A294887)
Goat Anti-Rabbit IgG H&L Antibody (HRP) (A294888)
See all Anti-Rabbit IgG Secondaries →
Disclaimer
This product is for research use only. It is not intended for diagnostic or therapeutic use.
Scientific Validation Data
Validation Data
(4)
Enlarge Image
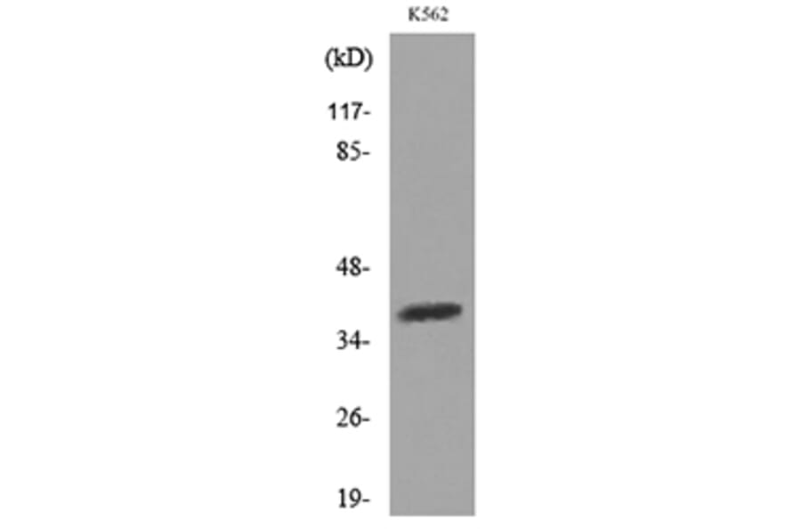
Western Blot - Anti-SLAMF1 Antibody (A100306)
Western blot analysis of lysate from K562 cells using Anti-SLAMF1 Antibody.
Enlarge Image
Western Blot - Anti-SLAMF1 Antibody (A100306)
Western blot analysis of K562 cells using Anti-SLAMF1 Antibody.
Enlarge Image
Immunohistochemistry - Anti-SLAMF1 Antibody (A100306)
Immunohistochemical analysis of paraffin-embedded human colon using Anti-SLAMF1 Antibody.
Enlarge Image
Immunohistochemistry - Anti-SLAMF1 Antibody (A100306)
Immunohistochemical analysis of paraffin-embedded human colon using Anti-SLAMF1 Antibody.
Publishing research using Anti-SLAMF1 Antibody (A100306)? Please
let us know
so that we can list the citation on this page.
Alternative products to Anti-SLAMF1 Antibody (A100306)
A49196
Anti-SLAMF1 Antibody
Rabbit polyclonal antibody to SLAMF1 for ELISA and WB.
A29985
Anti-SLAMF1 Antibody
Rabbit polyclonal antibody to SLAMF1 for WB and IHC.
A51024
Anti-CD150 (Phospho-Tyr327) Antibody
Rabbit Polycolonal antibody to CD150 (Phospho-Tyr327) for WB.
A42479
Anti-SLAMF1 Antibody
Rabbit polyclonal antibody to SLAMF1 for WB.
A40736
Anti-SLAMF1 Antibody
Rabbit polyclonal antibody to SLAM for ELISA and WB.
A42411
Anti-SLAMF1 Antibody
Rabbit polyclonal antibody to SLAMF1 for WB.
A49196
Anti-SLAMF1 Antibody
Rabbit polyclonal antibody to SLAMF1 for ELISA and WB.
A29985
Anti-SLAMF1 Antibody
Rabbit polyclonal antibody to SLAMF1 for WB and IHC.
A51024
Anti-CD150 (Phospho-Tyr327) Antibody
Rabbit Polycolonal antibody to CD150 (Phospho-Tyr327) for WB.
A42479
Anti-SLAMF1 Antibody
Rabbit polyclonal antibody to SLAMF1 for WB.
A40736
Anti-SLAMF1 Antibody
Rabbit polyclonal antibody to SLAM for ELISA and WB.
A42411
Anti-SLAMF1 Antibody
Rabbit polyclonal antibody to SLAMF1 for WB.
See all SLAM Antibodies
Proteins predicted to interact with SLAM
Predicted protein interactions based upon String database. Revelancy score correlates with probability of interaction.
SH2D1A Antibodies
99.9% Relevancy Score
SLAMF6 Antibodies
97.7% Relevancy Score
CD46 Antibodies
96.7% Relevancy Score
Beclin 1 Antibodies
96.3% Relevancy Score
SHP2 Antibodies
95.6% Relevancy Score
Fyn Antibodies
94.8% Relevancy Score
SH2D1B Antibodies
91.5% Relevancy Score
CD2 Antibodies
89.9% Relevancy Score
CD48 Antibodies
88.9% Relevancy Score
Top