Western blot analysis of extracts of various cell lines, using Anti-SLAMF7/CS1 Antibody (A90949) at 1:3,000 dilution. The secondary antibody was Goat Anti-Rabbit IgG H&L Antibody (HRP) at 1:10,000 dilution. Lysates/proteins were present at 25µg per lane. The blocking buffer used was 3% non-fat dry milk in TBST. Detection was with a ECL Basic Kit. Exposure time: 90s.
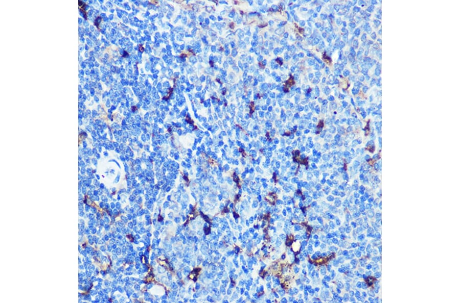
Immunohistochemistry analysis of paraffin-embedded rat spleen using Anti-SLAMF7/CS1 Antibody (A90949) at a dilution of 1:100 (40x lens). Perform microwave antigen retrieval with 10 mM Tris/EDTA buffer pH 9.0 before commencing with IHC staining protocol.
Publishing research using Anti-SLAMF7/CS1 Antibody (A90949)? Please let us know so that we can list the citation on this page.