Western blot analysis of extracts from Mouse seminoma tissue lysates, using SLC16A1antibody. The lane on the left was treated with the antigen-specific peptide.
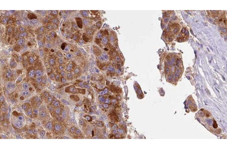
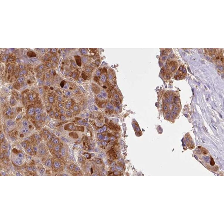
DF7144 at 1/100 staining Human liver cancer tissue by IHC-P. The sample was formaldehyde fixed and a heat mediated antigen retrieval step in citrate buffer was performed. The sample was then blocked and incubated with the antibody for 1.5 hours at 22°C. An HRP conjugated goat anti-rabbit antibody was used as the secondary antibody.
Alternative products to Anti-SLC16A1 Antibody (A267112)