ISO 9001:2015 Certified
Live Customer Support
4.5/5 on Trustpilot
100% Quality Guarantee

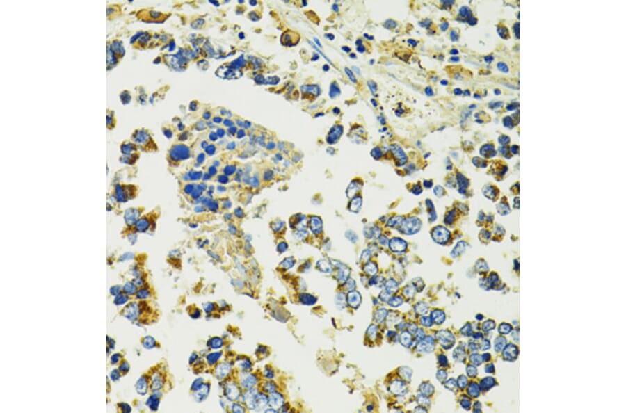
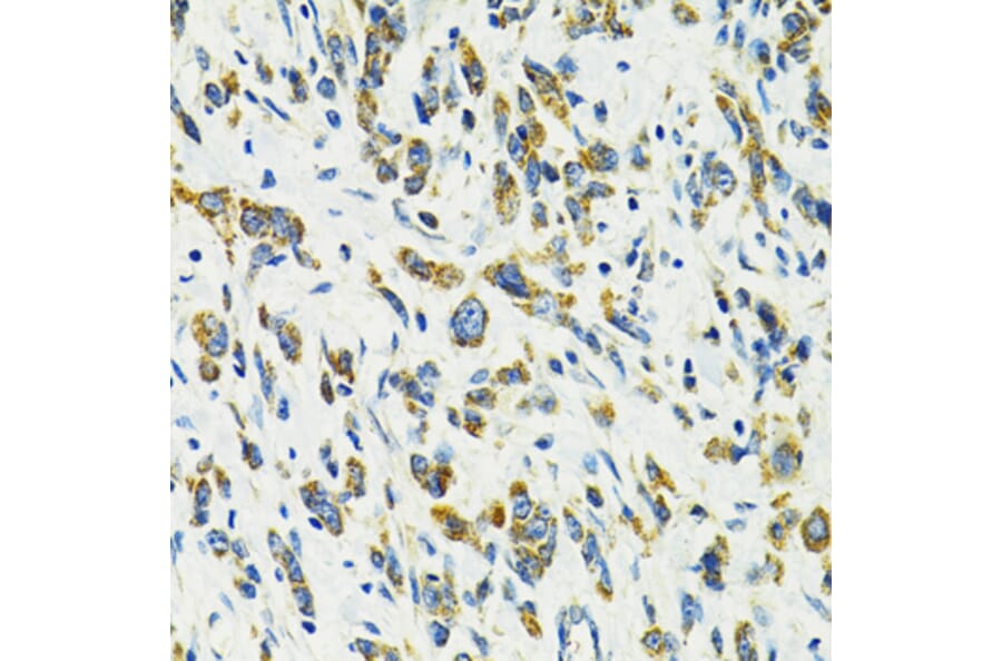
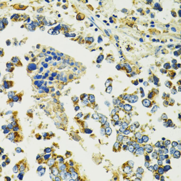
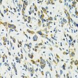
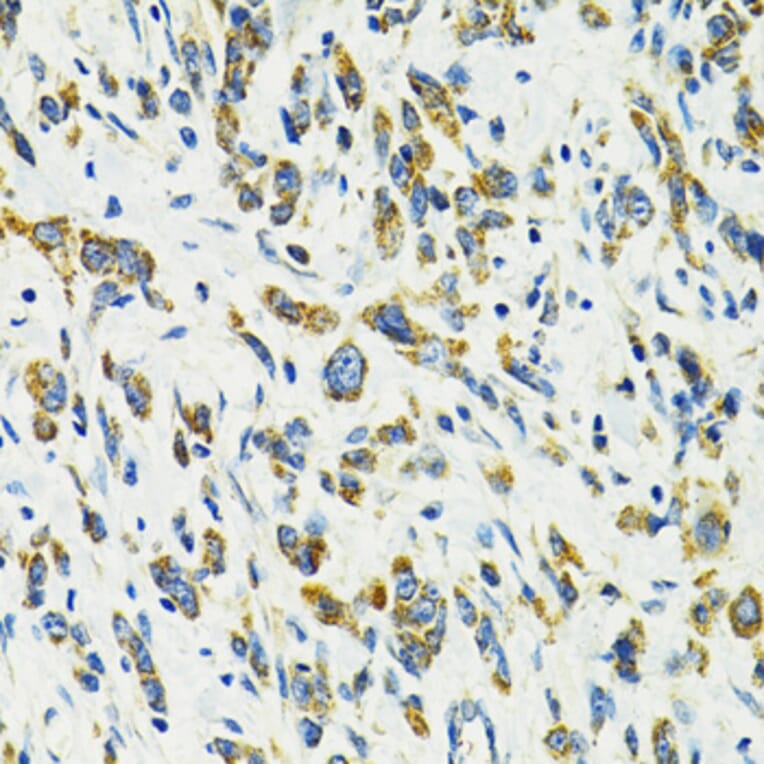
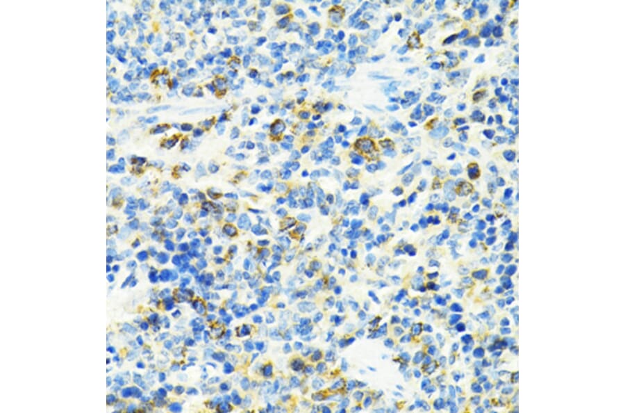
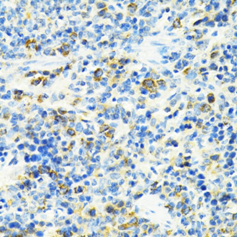
Anti-SLC25A11 Antibody (A16098)

Rabbit polyclonal antibody to SLC25A11 for WB, IHC and ICC/IF.

Shipping Information

$40
Dispatched from St. Louis, MO.
Lead Time: 7-10 business days.
Name
Anti-SLC25A11 Antibody
Description
Rabbit polyclonal antibody to SLC25A11.
Applications
WB, IHC, ICC/IF
Dilutions
WB: 1:500-1:1,000, IHC: 1:50-1:100, ICC/IF: 1:100-1:500
Reactivity
Human, Mouse, Rat
Immunogen
Recombinant fusion protein containing a sequence corresponding to amino acids 1-314 of human SLC25A11 (NP_003553.2).
Sequence
MAATASAGAGGIDGKPRTSPKSVKFLFGGLAGMGATVFVQPLDLVKNRMQLSGEGAKTREYKTSFHALTSILKAEGLRGIYTGLSAGLLRQATYTTTRLGIYTVLFERLTGADGTPPGFLLKAVIGMTAGATGAFVGTPAEVALIRMTADGRLPADQRRGYKNVFNALIRITREEGVLTLWRGCIPTMARAVVVNAAQLASYSQSKQFLLDSGYFSDNILCHFCASMISGLVTTAASMPVDIAKTRIQNMRMIDGKPEYKNGLDVLFKVVRYEGFFSLWKGFTPYYARLGPHTVLTFIFLEQMNKAYKRLFLSG
Host
Rabbit
Clonality
Polyclonal
Isotype
IgG
Conjugate

Unconjugated

Purification
Affinity purification.
Concentration
Lot Specific
Molecular Weight
34 kDa
Product Form
Liquid
Formulation
Supplied in Phosphate Buffered Saline, pH 7.3, with 50% Glycerol and 0.05% Proclin 300.
Storage
Shipped at 4°C. Upon delivery aliquot and store at -20°C. Avoid freeze/thaw cycles.
Synonyms
Mitochondrial 2-oxoglutarate/malate carrier protein, OGCP, SLC20A4, Solute carrier family 25 member 11
Disclaimer
This product is for research use only. It is not intended for diagnostic or therapeutic use.
Publishing research using Anti-SLC25A11 Antibody (A16098)? Please let us know so that we can list the citation on this page.

Alternative products to Anti-SLC25A11 Antibody (A16098)

Proteins predicted to interact with SLC25A11

Predicted protein interactions based upon String database. Revelancy score correlates with probability of interaction.
84.9% Relevancy Score
72.8% Relevancy Score
72.5% Relevancy Score
69.9% Relevancy Score
68% Relevancy Score
66.2% Relevancy Score
64.6% Relevancy Score
64.6% Relevancy Score
64% Relevancy Score