Primary Antibodies
Secondary Antibodies
Proteins & Peptides
ELISA Kits
About Us
Contact Us
Sign In/Register
0
ISO 9001:2015 Certified
Live Customer Support
4.5/5 on Trustpilot
100% Quality Guarantee
Home
Primary Antibodies
Glucose Transporter GLUT6 Antibodies
Anti-SLC2A6 Antibody (A37407)
Anti-SLC2A6 Antibody (A37407)
Overview
Specifications
Images
Enlarge Image
Enlarge Image
$430
Product Datasheet
Rabbit polyclonal antibody to SLC2A6 for WB and IHC.
100% Guarantee
Price Match Guarantee
Product Size:
100µl
Quantity:
1
2
3
4
5
6
7
8
9
10
Add To Cart
Request a Quotation
Custom or Bulk Request
Shipping Information
Freight/Packing Charges:
$40
Dispatched from St. Louis, MO.
Lead Time: 6-9 business days.
Specifications
Name
Anti-SLC2A6 Antibody
Description
Rabbit polyclonal antibody to SLC2A6
Specificity
The antibody detects endogenous levels of total SLC2A6 protein.
Applications
WB
,
IHC
Reactivity
Human, Mouse
Immunogen
Synthetic peptide of human SLC2A6
Host
Rabbit
Clonality
Polyclonal
Conjugate
Unconjugated
Purification
Antigen affinity purification.
Concentration
1.5 mg/mL
Formulation
Rabbit IgG in pH7.4 PBS, 0.05% NaN3, 40% Glycerol.
Storage
Shipped at 4°C. Upon delivery aliquot and store at -20°C. Avoid freeze/thaw cycles.
Synonyms
Glucose transporter type 6, GLUT-6, GLUT6, Solute carrier family 2, facilitated glucose transporter member 6
Suitable Secondaries
Goat Anti-Rabbit IgG H&L Antibody (AP) (A294874)
Goat Anti-Rabbit IgG H&L Antibody (Biotin) (A294795)
Goat Anti-Rabbit IgG H&L Antibody (FITC) (A294887)
Goat Anti-Rabbit IgG H&L Antibody (HRP) (A294888)
See all Anti-Rabbit IgG Secondaries →
Disclaimer
This product is for research use only. It is not intended for diagnostic or therapeutic use.
Scientific Validation Data
Validation Data
(2)
Enlarge Image
Anti-SLC2A6 Antibody (A37407)
Gel: 8% SDS-PAGE Lysate: 40 μg Lane: Human fetal liver tissue Primary antibody: 1/350 dilution Secondary antibody: Goat anti rabbit IgG at 1/8000 dilution Exposure time: 1 minute
Enlarge Image
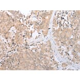
Immunohistochemistry - Anti-SLC2A6 Antibody (A37407)
Immunohistochemical analysis of paraffin-embedded Human prostate cancer tissue using #43276 at dilution 1/25,
Publishing research using Anti-SLC2A6 Antibody (A37407)? Please
let us know
so that we can list the citation on this page.
Alternative products to Anti-SLC2A6 Antibody (A37407)
A322083
Anti-GLUT6 Antibody [OTI7E3]
Mouse monoclonal [OTI7E3] antibody to GLUT6 for IF, IHC and WB.
A322082
Anti-GLUT6 Antibody [OTI7E3] - BSA and Azide free
Mouse monoclonal [OTI7E3] antibody to GLUT6 for IF, IHC and WB.
A322083
Anti-GLUT6 Antibody [OTI7E3]
Mouse monoclonal [OTI7E3] antibody to GLUT6 for IF, IHC and WB.
A322082
Anti-GLUT6 Antibody [OTI7E3] - BSA and Azide free
Mouse monoclonal [OTI7E3] antibody to GLUT6 for IF, IHC and WB.
Proteins predicted to interact with Glucose Transporter GLUT6
Predicted protein interactions based upon String database. Revelancy score correlates with probability of interaction.
GLUT3 Antibodies
51.2% Relevancy Score
SLC22A8 Antibodies
47.5% Relevancy Score
SLC2A7 Antibodies
47.2% Relevancy Score
GLUT1 Antibodies
46.9% Relevancy Score
GLUT2 Antibodies
46.7% Relevancy Score
DHDH Antibodies
46.6% Relevancy Score
GLUT5 Antibodies
46.5% Relevancy Score
IkB epsilon Antibodies
46.3% Relevancy Score
SLC7A6 Antibodies
44.3% Relevancy Score
Top