Primary Antibodies
Secondary Antibodies
Proteins & Peptides
ELISA Kits
About Us
Contact Us
Sign In/Register
0
ISO 9001:2015 Certified
Live Customer Support
4.5/5 on Trustpilot
100% Quality Guarantee
Home
Primary Antibodies
SLC37A2 Antibodies
Anti-Slc37A2 Antibody (A47494)
Anti-Slc37A2 Antibody (A47494)
Overview
Specifications
Images
Enlarge Image
Enlarge Image
$780
Product Datasheet
Rabbit polyclonal antibody to Slc37A2 for ELISA, WB and IHC.
100% Guarantee
Price Match Guarantee
Product Size:
100µl
Quantity:
1
2
3
4
5
6
7
8
9
10
Add To Cart
Request a Quotation
Custom or Bulk Request
Shipping Information
Freight/Packing Charges:
$40
Dispatched from St. Louis, MO.
Lead Time: 6-9 business days.
Specifications
Name
Anti-Slc37A2 Antibody
Description
Rabbit polyclonal antibody to Slc37A2
Applications
ELISA
,
WB
,
IHC
Reactivity
Human, Mouse, Rat
Immunogen
Raised against a 15 amino acid peptide near the center of human Slc37A2.
Host
Rabbit
Clonality
Polyclonal
Conjugate
Unconjugated
Purification
Affinity chromatography purified via peptide column
Formulation
Supplied in phosphate-buffered saline with 0.02% Sodium Azide.
Storage
Shipped at 4°C. Upon delivery aliquot and store at -20°C. Avoid freeze/thaw cycles.
Synonyms
Glucose-6-phosphate exchanger SLC37A2, Solute carrier family 37 member 2
Suitable Secondaries
Goat Anti-Rabbit IgG H&L Antibody (AP) (A294874)
Goat Anti-Rabbit IgG H&L Antibody (Biotin) (A294795)
Goat Anti-Rabbit IgG H&L Antibody (FITC) (A294887)
Goat Anti-Rabbit IgG H&L Antibody (HRP) (A294888)
See all Anti-Rabbit IgG Secondaries →
Disclaimer
This product is for research use only. It is not intended for diagnostic or therapeutic use.
Scientific Validation Data
Validation Data
(2)
Enlarge Image
Anti-Slc37A2 Antibody (A47494)
Western blot analysis of Slc37A2 in mouse spleen tissue lysate with Slc37A2 antibody at 1 µg/mL in the (A) absence and (B) presence of blocking peptide.
Enlarge Image
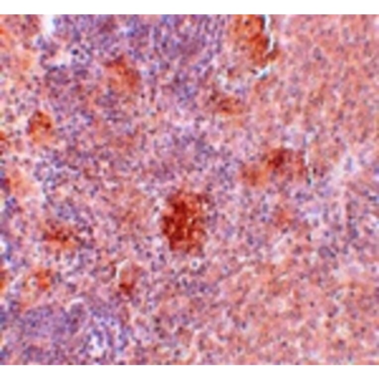
Immunohistochemistry - Anti-Slc37A2 Antibody (A47494)
Immunohistochemistry of Slc37A2 in rat spleen tissue with Slc37A2 antibody at 5 µg/mL.
Publishing research using Anti-Slc37A2 Antibody (A47494)? Please
let us know
so that we can list the citation on this page.
Proteins predicted to interact with SLC37A2
Predicted protein interactions based upon String database. Revelancy score correlates with probability of interaction.
PKNOX2 Antibodies
42.9% Relevancy Score
p115 RhoGEF Antibodies
38.7% Relevancy Score
SLK Antibodies
35.3% Relevancy Score
ARHGEF11 Antibodies
33.6% Relevancy Score
GAPDHS Antibodies
33.6% Relevancy Score
GAPDH Antibodies
33.6% Relevancy Score
SLC5A7 Antibodies
33.1% Relevancy Score
Thymidine Kinase 1 Antibodies
32.8% Relevancy Score
PGBD4 Antibodies
32.5% Relevancy Score
Top