Western Blot - Anti-SLC39A14/ZIP-14 Antibody (A8608)
Western blot analysis of extracts of various cell lines, using Anti-SLC39A14/ZIP-14 Antibody (A8608) at 1:1,000 dilution. The secondary antibody was Goat Anti-Rabbit IgG H&L Antibody (HRP) at 1:10,000 dilution. Lysates/proteins were present at 25µg per lane. The blocking buffer used was 3% non-fat dry milk in TBST. Detection was with a ECL Enhanced Kit (RM00021). Exposure time: 60s.
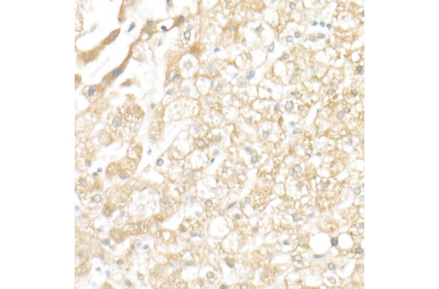
Immunohistochemistry analysis of paraffin-embedded human liver cancer using Anti-SLC39A14/ZIP-14 Antibody (A8608) at a dilution of 1:50 (40x lens). Perform high pressure antigen retrieval with 10 mM citrate buffer pH 6.0 before commencing with IHC staining protocol.
Immunohistochemistry analysis of paraffin-embedded human liver using Anti-SLC39A14/ZIP-14 Antibody (A8608) at a dilution of 1:50 (40x lens). Perform high pressure antigen retrieval with 10 mM citrate buffer pH 6.0 before commencing with IHC staining protocol.
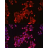
Immunofluorescence analysis of HeLa cells using Anti-SLC39A14/ZIP-14 Antibody (A8608) at a dilution of 1:100 (40x lens). DAPI was used to stain the cell nuclei (blue).
Immunofluorescence analysis of NIH/3T3 cells using Anti-SLC39A14/ZIP-14 Antibody (A8608) at a dilution of 1:100 (40x lens). DAPI was used to stain the cell nuclei (blue).
Immunofluorescence analysis of PC-12 cells using Anti-SLC39A14/ZIP-14 Antibody (A8608) at a dilution of 1:100 (40x lens). DAPI was used to stain the cell nuclei (blue).