Primary Antibodies
Secondary Antibodies
Proteins & Peptides
ELISA Kits
About Us
Contact Us
Sign In/Register
0
ISO 9001:2015 Certified
Live Customer Support
4.5/5 on Trustpilot
100% Quality Guarantee
Home
Primary Antibodies
SLC39A3 Antibodies
Anti-SLC39A3 Antibody (A45208)
Anti-SLC39A3 Antibody (A45208)
Overview
Specifications
Images
Enlarge Image
$430
Product Datasheet
Rabbit polyclonal antibody to SLC39A3 for IHC.
100% Guarantee
Price Match Guarantee
Product Size:
100µl
Quantity:
1
2
3
4
5
6
7
8
9
10
Add To Cart
Request a Quotation
Custom or Bulk Request
Shipping Information
Freight/Packing Charges:
$40
Dispatched from St. Louis, MO.
Lead Time: 6-9 business days.
Specifications
Name
Anti-SLC39A3 Antibody
Description
Rabbit polyclonal antibody to SLC39A3
Specificity
The antibody detects endogenous levels of total SLC39A3 protein.
Applications
IHC
Reactivity
Human
Immunogen
Synthetic peptide corresponding to a region derived from internal residues of human solute carrier family 39 (zinc transporter), member 3
Host
Rabbit
Clonality
Polyclonal
Conjugate
Unconjugated
Purification
Antigen affinity purification.
Concentration
0.9 mg/mL
Formulation
Supplied in PBS, pH 7.3, containing 0.05% sodium azide and 50% glycerol.
Storage
Shipped at 4°C. Upon delivery aliquot and store at -20°C. Avoid freeze/thaw cycles.
Synonyms
Solute carrier family 39 member 3, Zinc transporter ZIP3, ZIP-3, ZIP3, Zrt- and Irt-like protein 3
Suitable Secondaries
Goat Anti-Rabbit IgG H&L Antibody (AP) (A294874)
Goat Anti-Rabbit IgG H&L Antibody (Biotin) (A294795)
Goat Anti-Rabbit IgG H&L Antibody (FITC) (A294887)
Goat Anti-Rabbit IgG H&L Antibody (HRP) (A294888)
See all Anti-Rabbit IgG Secondaries →
Disclaimer
This product is for research use only. It is not intended for diagnostic or therapeutic use.
Scientific Validation Data
Validation Data
(1)
Enlarge Image
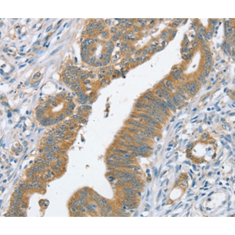
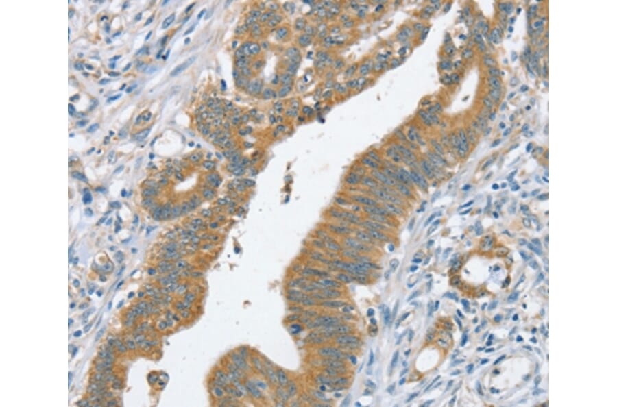
Immunohistochemistry - Anti-SLC39A3 Antibody (A45208)
Immunohistochemical analysis of paraffin-embedded Human colorectal cancer tissue using #37941 at dilution 1/20.
Publishing research using Anti-SLC39A3 Antibody (A45208)? Please
let us know
so that we can list the citation on this page.
Alternative products to Anti-SLC39A3 Antibody (A45208)
(2)
A48451
Anti-ZIP3 Antibody
Rabbit polyclonal antibody to ZIP3 for ELISA, WB and IHC.
(2)
A48451
Anti-ZIP3 Antibody
Rabbit polyclonal antibody to ZIP3 for ELISA, WB and IHC.
Proteins predicted to interact with SLC39A3
Predicted protein interactions based upon String database. Revelancy score correlates with probability of interaction.
SLC39A11 Antibodies
77.9% Relevancy Score
ZIP4 Antibodies
75% Relevancy Score
SLC39A9 Antibodies
73.3% Relevancy Score
ZIP7 Antibodies
71.9% Relevancy Score
SLC39A5 Antibodies
69% Relevancy Score
SLC39A12 Antibodies
68.4% Relevancy Score
SLC39A10 Antibodies
65.8% Relevancy Score
SLC39A6 Antibodies
65% Relevancy Score
ZIP8 Antibodies
64.9% Relevancy Score
Top