Western Blot - Anti-Smad 2 + Smad3 Antibody (A15769)
Western blot analysis of extracts of various cell lines, using Anti-Smad 2 + Smad3 Antibody (A15769) at 1:700 dilution. The secondary antibody was Goat Anti-Rabbit IgG H&L Antibody (HRP) at 1:10,000 dilution. Lysates/proteins were present at 25µg per lane. The blocking buffer used was 3% non-fat dry milk in TBST. Detection was with a ECL Basic Kit. Exposure time: 90s.
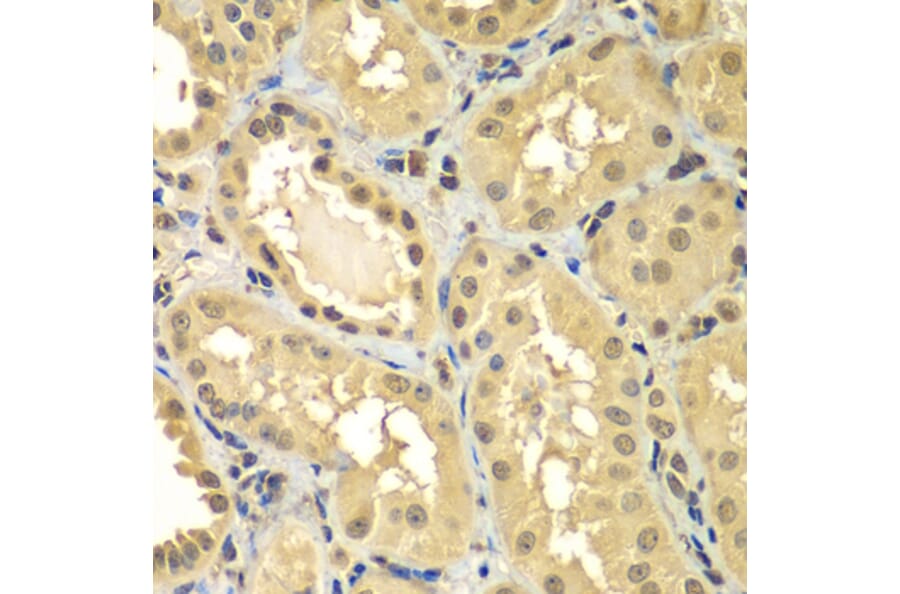
Immunohistochemistry analysis of paraffin-embedded human kidney using Anti-Smad 2 + Smad3 Antibody (A15769) at a dilution of 1:100 (40x lens). Perform microwave antigen retrieval with 10 mM PBS buffer pH 7.2 before commencing with IHC staining protocol.
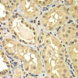
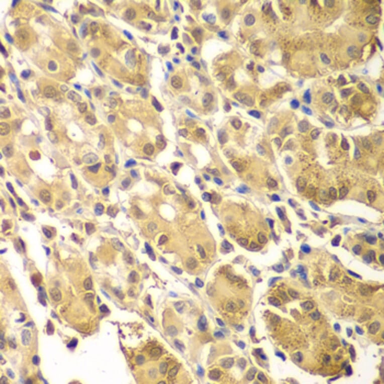
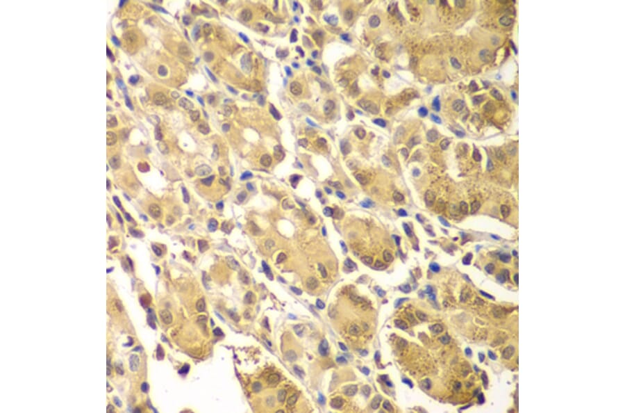
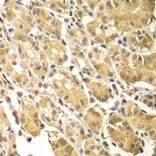
Immunohistochemistry analysis of paraffin-embedded human gastric using Anti-Smad 2 + Smad3 Antibody (A15769) at a dilution of 1:100 (40x lens). Perform microwave antigen retrieval with 10 mM PBS buffer pH 7.2 before commencing with IHC staining protocol.
Immunofluorescence analysis of HeLa cells using Anti-Smad 2 + Smad3 Antibody (A15769) at a dilution of 1:100 (40x lens). DAPI was used to stain the cell nuclei (blue).
Immunofluorescence analysis of NIH/3T3 cells using Anti-Smad 2 + Smad3 Antibody (A15769) at a dilution of 1:100 (40x lens). DAPI was used to stain the cell nuclei (blue).
Immunofluorescence analysis of PC-12 cells using Anti-Smad 2 + Smad3 Antibody (A15769) at a dilution of 1:100 (40x lens). DAPI was used to stain the cell nuclei (blue).