ISO 9001:2015 Certified
Live Customer Support
4.5/5 on Trustpilot
100% Quality Guarantee

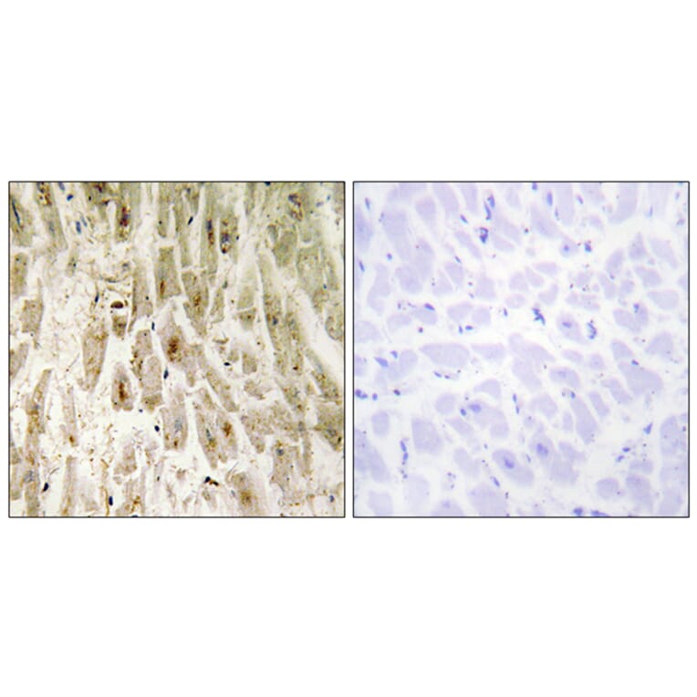
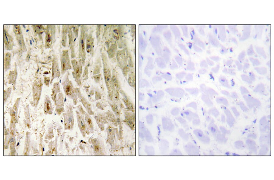
Anti-Smad1 Antibody (A95781)

Rabbit polyclonal antibody to Smad1 for WB, IHC and ELISA.

Shipping Information

$40
Dispatched from St. Louis, MO.
Lead Time: 6-8 business days.
Name
Anti-Smad1 Antibody
Description
Rabbit polyclonal antibody to Smad1.
Applications
WB, IHC, ELISA
Dilutions
WB: 1:500-1:1000, IHC: 1:50-1:100, ELISA: 1:5000
Reactivity
Human, Mouse, Rat
Immunogen
Synthetic peptide derived from human Smad1 (amino acids 416-465).
Host
Rabbit
Clonality
Polyclonal
Isotype
IgG
Conjugate

Unconjugated

Purification
Purified from rabbit serum by antigen affinity chromatography using the immunizing peptide.
Molecular Weight
52kDa
Product Form
Liquid
Formulation
Supplied in Phosphate Buffered Saline (without Mg2+ and Ca2+), pH 7.4, with 150mM NaCl, 0.02% Sodium Azide, and 50% Glycerol.
Storage
Shipped at 4°C. Upon delivery aliquot and store at -20°C. Avoid freeze / thaw cycles.
Synonyms
AI528653, BSP1, DKFZp781C1895, DKFZp781O1323, Dwarfin A, Dwf A, Dwfc, hSMAD1, hSmad5, JV4 1, JV41, JV5 1, MAD (mothers against decapentaplegic, Drosophila) homolog 1, MAD (mothers against decapentaplegic, Drosophila) homolog 9, MAD homolog 1, MAD homolog 9, MAD homolog1 (mothers against decapentaplegic, Drosophila), Mad related protein 1, MAD, mothers against decapentaplegic homolog 9, Madh1, MADH5, MADH6, MADH9, MADR1, Mlp1, Mothers against decapentaplegic, drosophila, homolog of, 9, Mothers against DPP homolog 1, Mothers against DPP homolog 9, MusMLP, OTTHUMP00000178565, OTTMUSP00000022970, OTTMUSP00000022971, OTTMUSP00000022972, OTTMUSP0000002324, OTTMUSP00000023428, Sma- and Mad-related protein 1, SMAD, SMAD family member 5, SMAD8, SMAD8A, SMAD8B, TGF beta signaling protein 1, Transforming growth factor-beta signaling protein 1
Disclaimer
This product is for research use only. It is not intended for diagnostic or therapeutic use.
Publishing research using Anti-Smad1 Antibody (A95781)? Please let us know so that we can list the citation on this page.

Alternative products to Anti-Smad1 Antibody (A95781)