Primary Antibodies
Secondary Antibodies
Proteins & Peptides
ELISA Kits
About Us
Contact Us
Sign In/Register
0
ISO 9001:2015 Certified
Live Customer Support
4.5/5 on Trustpilot
100% Quality Guarantee
Home
Primary Antibodies
Smad2 Antibodies
Anti-Smad2 (phospho Thr220) Antibody (A93028)
Anti-Smad2 (phospho Thr220) Antibody (A93028)
Overview
Specifications
Images
Enlarge Image
Enlarge Image
Enlarge Image
$515
Product Datasheet
Rabbit polyclonal antibody to Smad2 (phospho Thr220) for IHC.
100% Guarantee
Price Match Guarantee
Product Size:
100µl
Quantity:
1
2
3
4
5
6
7
8
9
10
Add To Cart
Request a Quotation
Custom or Bulk Request
Shipping Information
Freight/Packing Charges:
$40
Dispatched from St. Louis, MO.
Lead Time: 7-10 business days.
Specifications
Name
Anti-Smad2 (phospho Thr220) Antibody
Description
Rabbit polyclonal antibody to Smad2 (phospho Thr220).
Applications
IHC
Dilutions
IHC: 1:50-1:200
Reactivity
Human, Mouse, Rat
Immunogen
A synthetic phosphorylated peptide around T220 of human Smad2 (NP_005892.1).
Sequence
PETPP
Host
Rabbit
Clonality
Polyclonal
Isotype
IgG
Conjugate
Unconjugated
Purification
Affinity purification.
Concentration
Lot Specific
Product Form
Liquid
Formulation
Supplied in Phosphate Buffered Saline, pH 7.3, with 50% Glycerol and 0.01% Thiomersal.
Storage
Shipped at 4°C. Upon delivery aliquot and store at -20°C. Avoid freeze/thaw cycles.
Synonyms
hMAD-2, hSMAD2, JV18-1, MAD homolog 2, Mad-related protein 2, MADH2, MADR2, Mothers against decapentaplegic homolog 2, Mothers against DPP homolog 2, SMAD 2, SMAD family member 2
Isotype Controls
Rabbit IgG (A82272)
Rabbit IgG (A17360)
Suitable Secondaries
Goat Anti-Rabbit IgG H&L Antibody (AP) (A294874)
Goat Anti-Rabbit IgG H&L Antibody (Biotin) (A294795)
Goat Anti-Rabbit IgG H&L Antibody (FITC) (A294887)
Goat Anti-Rabbit IgG H&L Antibody (HRP) (A294888)
See all Anti-Rabbit IgG Secondaries →
Disclaimer
This product is for research use only. It is not intended for diagnostic or therapeutic use.
Scientific Validation Data
Validation Data
(3)
Enlarge Image
Immunohistochemistry - Anti-Smad2 (phospho Thr220) Antibody (A93028)
Immunohistochemistry analysis of paraffin-embedded human breast tissue using Anti-Smad2 (phospho Thr220) Antibody (A93028) at a dilution of 1:100 (40x lens).
Enlarge Image
Immunohistochemistry - Anti-Smad2 (phospho Thr220) Antibody (A93028)
Immunohistochemistry analysis of paraffin-embedded mouse kidney using Anti-Smad2 (phospho Thr220) Antibody (A93028) at a dilution of 1:100 (40x lens).
Enlarge Image
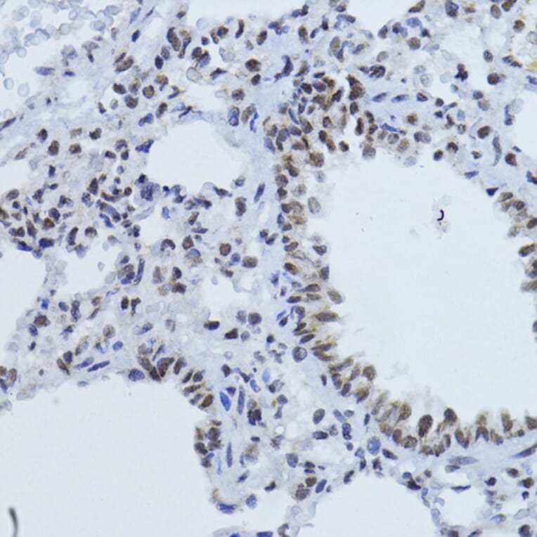
Immunohistochemistry - Anti-Smad2 (phospho Thr220) Antibody (A93028)
Immunohistochemistry analysis of paraffin-embedded rat lung using Anti-Smad2 (phospho Thr220) Antibody (A93028) at a dilution of 1:100 (40x lens).
Publishing research using Anti-Smad2 (phospho Thr220) Antibody (A93028)? Please
let us know
so that we can list the citation on this page.
Alternative products to Anti-Smad2 (phospho Thr220) Antibody (A93028)
(4)
A12630
Anti-Smad2 Antibody
Rabbit polyclonal antibody to Smad2 for WB, IHC, ICC/IF and IP.
(5)
A307856
Anti-Smad2 Antibody [ARC0343]
Rabbit monoclonal [ARC0343] antibody to Smad2 for WB, ICC/IF and IP.
A16909
Anti-Smad2 Antibody
Rabbit polyclonal antibody to Smad2 for WB, IHC and ICC/IF.
(4)
A94168
Anti-Smad2 (phospho Ser467) Antibody
Rabbit polyclonal antibody to Smad2 (phospho Ser467) for WB, IHC and ELISA.
(2)
A309474
Anti-Smad2 Antibody [ARC57635]
Rabbit monoclonal [ARC57635] antibody to Smad2 for WB.
A308803
Anti-Smad2 (phospho Ser465 + Ser467) Antibody
Rabbit polyclonal antibody to Smad2 (phospho Ser465 + Ser467) for WB.
A305752
Anti-Smad2 (phospho Ser250) Antibody [ARC1552]
Rabbit monoclonal [ARC1552] antibody to Smad2 (phospho Ser250) for WB.
A308802
Anti-Smad2 (phospho Ser465 + Ser467) Antibody [ARC56317]
Rabbit monoclonal [ARC56317] antibody to Smad2 (phospho Ser465 + Ser467) for WB.
A16558
Anti-Smad2 (phospho Ser467) Antibody
Rabbit polyclonal antibody to Smad2 (phospho Ser467) for WB.
A308749
Anti-Smad2 (phospho Ser245 + Ser250 + Ser255) Antibody [ARC53851]
Rabbit monoclonal [ARC53851] antibody to Smad2 (phospho Ser245 + Ser250 + Ser255) for WB.
(9)
A95210
Anti-Smad2 Antibody
Rabbit polyclonal antibody to Smad2 for WB, IHC, IF and ELISA.
(4)
A95209
Anti-Smad2 Antibody
Rabbit polyclonal antibody to Smad2 for WB, IHC, IF and ELISA.
(4)
A12630
Anti-Smad2 Antibody
Rabbit polyclonal antibody to Smad2 for WB, IHC, ICC/IF and IP.
(5)
A307856
Anti-Smad2 Antibody [ARC0343]
Rabbit monoclonal [ARC0343] antibody to Smad2 for WB, ICC/IF and IP.
A16909
Anti-Smad2 Antibody
Rabbit polyclonal antibody to Smad2 for WB, IHC and ICC/IF.
(4)
A94168
Anti-Smad2 (phospho Ser467) Antibody
Rabbit polyclonal antibody to Smad2 (phospho Ser467) for WB, IHC and ELISA.
(2)
A309474
Anti-Smad2 Antibody [ARC57635]
Rabbit monoclonal [ARC57635] antibody to Smad2 for WB.
A308803
Anti-Smad2 (phospho Ser465 + Ser467) Antibody
Rabbit polyclonal antibody to Smad2 (phospho Ser465 + Ser467) for WB.
A305752
Anti-Smad2 (phospho Ser250) Antibody [ARC1552]
Rabbit monoclonal [ARC1552] antibody to Smad2 (phospho Ser250) for WB.
A308802
Anti-Smad2 (phospho Ser465 + Ser467) Antibody [ARC56317]
Rabbit monoclonal [ARC56317] antibody to Smad2 (phospho Ser465 + Ser467) for WB.
A16558
Anti-Smad2 (phospho Ser467) Antibody
Rabbit polyclonal antibody to Smad2 (phospho Ser467) for WB.
A308749
Anti-Smad2 (phospho Ser245 + Ser250 + Ser255) Antibody [ARC53851]
Rabbit monoclonal [ARC53851] antibody to Smad2 (phospho Ser245 + Ser250 + Ser255) for WB.
(9)
A95210
Anti-Smad2 Antibody
Rabbit polyclonal antibody to Smad2 for WB, IHC, IF and ELISA.
(4)
A95209
Anti-Smad2 Antibody
Rabbit polyclonal antibody to Smad2 for WB, IHC, IF and ELISA.
See all Smad2 Antibodies
Proteins predicted to interact with Smad2
Predicted protein interactions based upon String database. Revelancy score correlates with probability of interaction.
FOXH1 Antibodies
99.9% Relevancy Score
SnoN Antibodies
99.9% Relevancy Score
TRIM33 Antibodies
99.9% Relevancy Score
Smad3 Antibodies
99.9% Relevancy Score
SARA Antibodies
99.9% Relevancy Score
Smad4 Antibodies
99.9% Relevancy Score
TGF beta Receptor I Antibodies
99.9% Relevancy Score
SMURF2 Antibodies
99.9% Relevancy Score
beta Catenin Antibodies
99.8% Relevancy Score
Top