Primary Antibodies
Secondary Antibodies
Proteins & Peptides
ELISA Kits
About Us
Contact Us
Sign In/Register
0
ISO 9001:2015 Certified
Live Customer Support
4.5/5 on Trustpilot
100% Quality Guarantee
Home
Primary Antibodies
C17orf71 Antibodies
Anti-SMG8 Antibody (A46869)
Anti-SMG8 Antibody (A46869)
Overview
Specifications
Images
Enlarge Image
Enlarge Image
$430
Product Datasheet
Rabbit polyclonal antibody to SMG8 for IHC.
100% Guarantee
Price Match Guarantee
Product Size:
100µl
Quantity:
1
2
3
4
5
6
7
8
9
10
Add To Cart
Request a Quotation
Custom or Bulk Request
Shipping Information
Freight/Packing Charges:
$40
Dispatched from St. Louis, MO.
Lead Time: 6-9 business days.
Specifications
Name
Anti-SMG8 Antibody
Description
Rabbit polyclonal antibody to SMG8
Specificity
The antibody detects endogenous levels of total SMG8 protein.
Applications
IHC
Reactivity
Human
Immunogen
Synthetic peptide corresponding to a region derived from internal residues of human SMG8 nonsense mediated mRNA decay factor
Host
Rabbit
Clonality
Polyclonal
Conjugate
Unconjugated
Purification
Antigen affinity purification.
Concentration
1.8 mg/mL
Formulation
Supplied in PBS, pH 7.3, containing 0.05% sodium azide and 50% glycerol.
Storage
Shipped at 4°C. Upon delivery aliquot and store at -20°C. Avoid freeze/thaw cycles.
Synonyms
ABC2, Amplified in breast cancer gene 2 protein, Nonsense-mediated mRNA decay factor SMG8, Protein smg-8 homolog
Suitable Secondaries
Goat Anti-Rabbit IgG H&L Antibody (AP) (A294874)
Goat Anti-Rabbit IgG H&L Antibody (Biotin) (A294795)
Goat Anti-Rabbit IgG H&L Antibody (FITC) (A294887)
Goat Anti-Rabbit IgG H&L Antibody (HRP) (A294888)
See all Anti-Rabbit IgG Secondaries →
Disclaimer
This product is for research use only. It is not intended for diagnostic or therapeutic use.
Scientific Validation Data
Validation Data
(2)
Enlarge Image
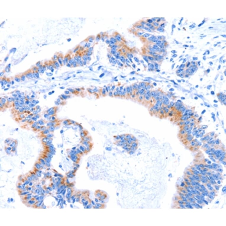
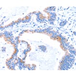
Immunohistochemistry - Anti-SMG8 Antibody (A46869)
Immunohistochemical analysis of paraffin-embedded Human colon cancer tissue using #37142 at dilution 1/50.
Enlarge Image
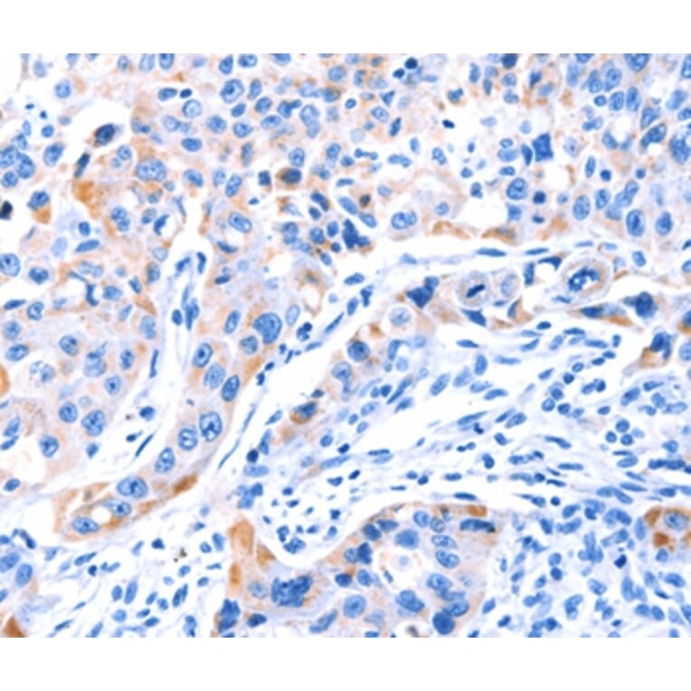
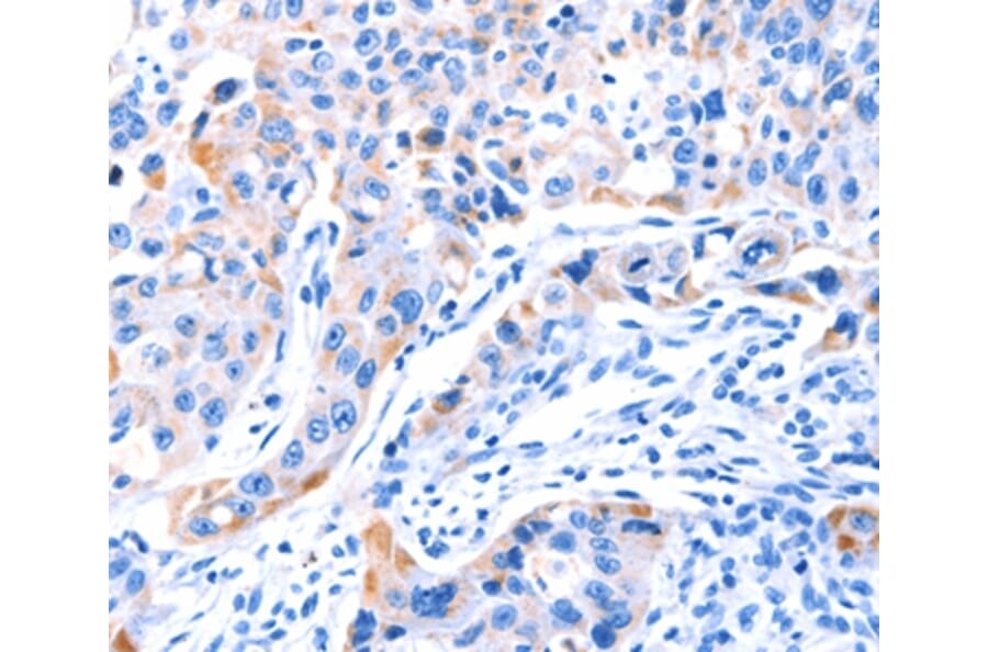
Immunohistochemistry - Anti-SMG8 Antibody (A46869)
Immunohistochemical analysis of paraffin-embedded Human lung cancer tissue using #37142 at dilution 1/50.
Publishing research using Anti-SMG8 Antibody (A46869)? Please
let us know
so that we can list the citation on this page.
Proteins predicted to interact with C17orf71
Predicted protein interactions based upon String database. Revelancy score correlates with probability of interaction.
SMG1 Antibodies
99.9% Relevancy Score
UPF1 Antibodies
99.3% Relevancy Score
UPF2 Antibodies
98.3% Relevancy Score
eRF1 Antibodies
97.3% Relevancy Score
SMG5 Antibodies
95.2% Relevancy Score
UPF3A Antibodies
94.5% Relevancy Score
SMG7 Antibodies
91.6% Relevancy Score
GSPT1 Antibodies
87.9% Relevancy Score
Y14 Antibodies
77.9% Relevancy Score
Top