ISO 9001:2015 Certified
Live Customer Support
4.5/5 on Trustpilot
100% Quality Guarantee

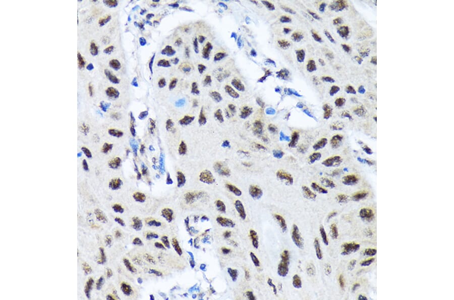
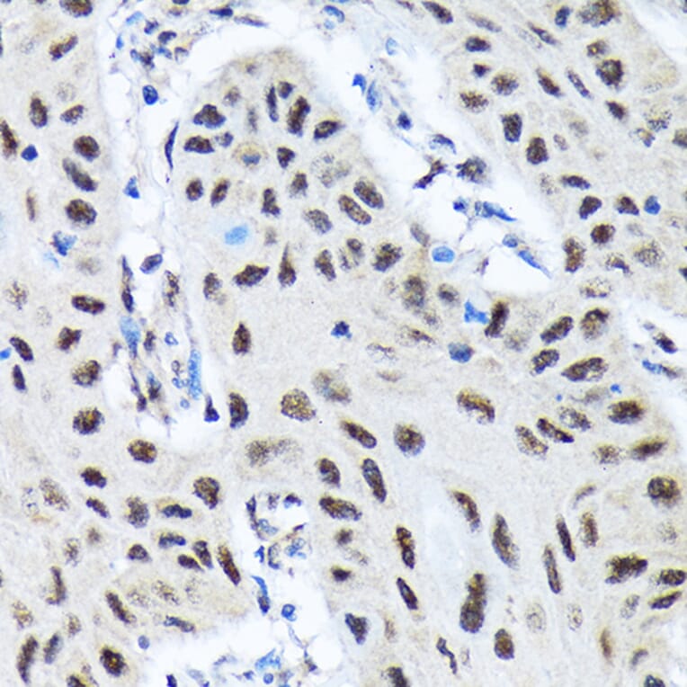
Anti-SMN/Gemin 1 Antibody [ARC1710] (A308623)

Rabbit monoclonal [ARC1710] antibody to SMN/Gemin 1 for WB and IHC.

Shipping Information

$40
Dispatched from St. Louis, MO.
Lead Time: 7-10 business days.
Name
Anti-SMN/Gemin 1 Antibody [ARC1710]
Description
Rabbit monoclonal [ARC1710] antibody to SMN/Gemin 1.
Applications
WB, IHC
Dilutions
WB: 1:500-1:1,000, IHC: 1:50-1:200
Reactivity
Human, Rat
Immunogen
Recombinant fusion protein containing a sequence corresponding to amino acids 103-200 of human SMN1 (Q16637).
Sequence
SEDGCIYPATIASIDFKRETCVVVYTGYGNREEQNLSDLLSPICEVANNIEQNAQENENESQVSTDESENSRSPGNKSDNIKPKSAPWNSFLPPPPPM
Host
Rabbit
Clonality
Monoclonal
Clone ID
ARC1710
Isotype
IgG
Conjugate

Unconjugated

Purification
Affinity purification.
Concentration
Lot Specific
Molecular Weight
38 kDa
Product Form
Liquid
Formulation
Supplied in Phosphate Buffered Saline, pH 7.3, with 50% Glycerol, 0.05% BSA, and 0.02% Sodium Azide.
Storage
Shipped at 4°C. Upon delivery aliquot and store at -20°C. Avoid freeze/thaw cycles.
Synonyms
BCD541, Component of gems 1, Gemin 1, Gemin-1, OTTHUMP00000125198, OTTHUMP00000223567, OTTHUMP00000223568, OTTHUMP00000224066, OTTHUMP00000226924, SMA, SMA 1, SMA 2, SMA 3, SMA 4, SMA1, SMA2, SMA3, SMA4, SMA@, SMN, SMN1, SMN2, SMNT, SMN_HUMAN, Survival motor neuron protein, Survival of motor neuron 1, telomeric, T-BCD541
Disclaimer
This product is for research use only. It is not intended for diagnostic or therapeutic use.
Publishing research using Anti-SMN/Gemin 1 Antibody [ARC1710] (A308623)? Please let us know so that we can list the citation on this page.

Alternative products to Anti-SMN/Gemin 1 Antibody [ARC1710] (A308623)