ISO 9001:2015 Certified
Live Customer Support
4.5/5 on Trustpilot
100% Quality Guarantee

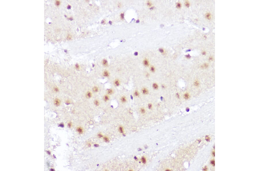
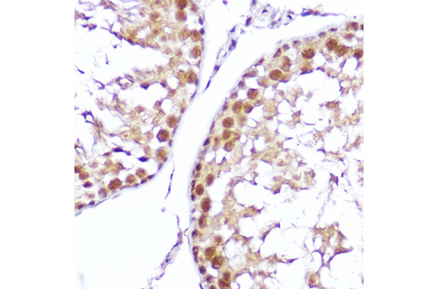
Anti-SMOX Antibody (A81080)

Rabbit polyclonal antibody to SMOX for WB and IHC.

Shipping Information

$40
Dispatched from St. Louis, MO.
Lead Time: 7-10 business days.
Name
Anti-SMOX Antibody
Description
Rabbit polyclonal antibody to SMOX.
Applications
WB, IHC
Dilutions
WB: 1:500-1:1,000, IHC: 1:50-1:200
Reactivity
Human, Mouse, Rat
Immunogen
Recombinant fusion protein containing a sequence corresponding to amino acids 300-544 of human SMOX (NP_787033.1).
Sequence
PRGGRWDEDEQWSVVVECEDCELIPADHVIVTVSLGVLKRQYTSFFRPGLPTEKVAAIHRLGIGTTDKIFLEFEEPFWGPECNSLQFVWEDEAESHTLTYPPELWYRKICGFDVLYPPERYGHVLSGWICGEEALVMEKCDDEAVAEICTEMLRQFTGNPNIPKPRRILRSAWGSNPYFRGSYSYTQVGSSGADVEKLAKPLPYTESSKTAPMQVLFSGEATHRKYYSTTHGALLSGQREAARLI
Host
Rabbit
Clonality
Polyclonal
Isotype
IgG
Conjugate

Unconjugated

Purification
Affinity purification.
Concentration
Lot Specific
Molecular Weight
62 kDa
Product Form
Liquid
Formulation
Supplied in Phosphate Buffered Saline, pH 7.3, with 50% Glycerol and 0.01% Thiomersal.
Storage
Shipped at 4°C. Upon delivery aliquot and store at -20°C. Avoid freeze/thaw cycles.
Synonyms
C20orf16, PAO-1, PAOh1, Polyamine oxidase 1, SMO, Spermine oxidase
Disclaimer
This product is for research use only. It is not intended for diagnostic or therapeutic use.
Publishing research using Anti-SMOX Antibody (A81080)? Please let us know so that we can list the citation on this page.

Alternative products to Anti-SMOX Antibody (A81080)

Proteins predicted to interact with SMOX

Predicted protein interactions based upon String database. Revelancy score correlates with probability of interaction.
85.5% Relevancy Score
81.8% Relevancy Score
77.5% Relevancy Score
62.3% Relevancy Score
52.6% Relevancy Score
52.3% Relevancy Score
51.4% Relevancy Score
50.2% Relevancy Score