ISO 9001:2015 Certified
Live Customer Support
4.5/5 on Trustpilot
100% Quality Guarantee

Anti-SNF5 Antibody [SMARCB1/3984] - BSA and Azide free (A278382)

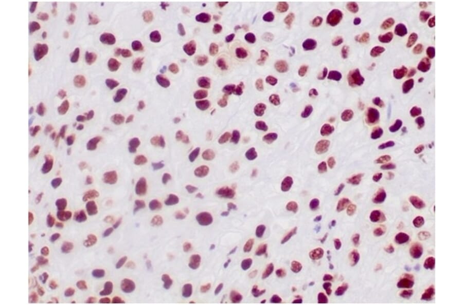
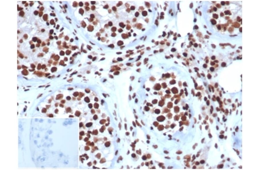
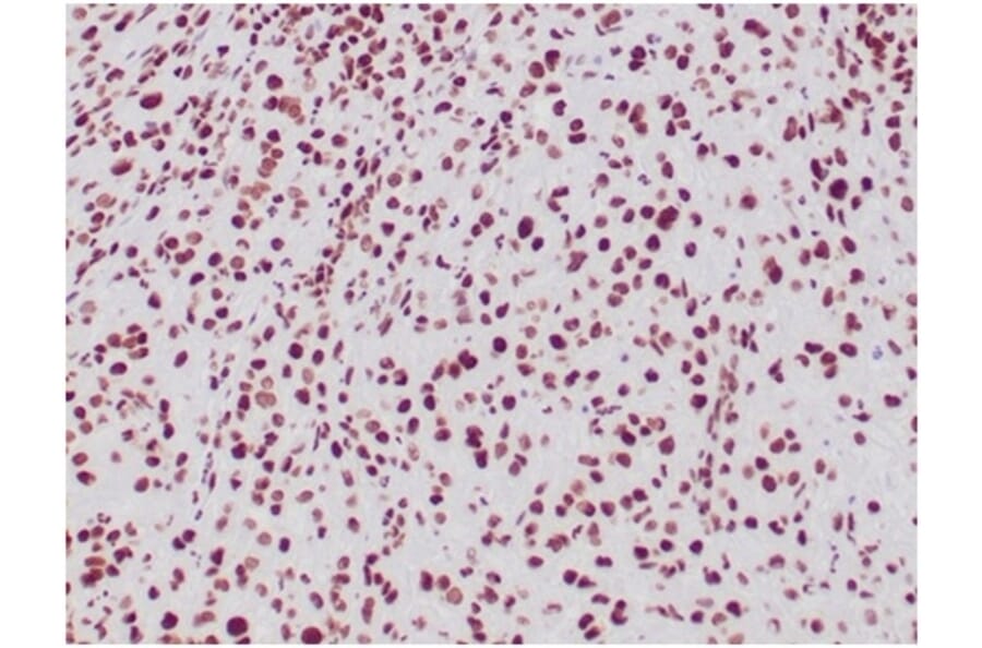
Mouse monoclonal [SMARCB1/3984] antibody to SNF5 for IHC-P.

Alternative Formats and ConjugatesAlternative Formats

Shipping Information

$40
Dispatched from St. Louis, MO.
Lead Time: 5-8 business days.
Name
Anti-SNF5 Antibody [SMARCB1/3984] - BSA and Azide free
Description
Mouse monoclonal [SMARCB1/3984] antibody to SNF5.
Specificity
The INI-1 gene, which encodes a functionally uncharacterized protein component of the hSWI/SNF chromatin remodeling complex, is often mutated or deleted in malignant rhabdoid tumor (MRT). Two isoforms of INI-1, that differ by the variable inclusion of amino acids, potentially are produced by differential RNA splicing. The morphology of MRTs can present challenges in differential diagnosis. The overall survival of MRTs relative to its potential mimics (medulloblastoma, supratentorial primitive neuroectodermal tumors (sPNETs) is quite low, and thus differentiation from these other tumors is desirable. Lack of nuclear labeling by anti-INI-1 is characteristic of MRT. The majority of medulloblastomas and sPNETs are labeled by anti-INI-1. MRTs also originate from the kidney and soft tissues.
Applications
IHC-P
Dilutions
IHC-P: 1-2 µg/ml
Reactivity
Human
Immunogen
Recombinant fragment, around amino acids 65-184, of human SNF5 protein. The exact sequence is proprietary.
Host
Mouse
Clonality
Monoclonal
Clone ID
SMARCB1/3984
Isotype
IgG2b
Light Chains
kappa
Conjugate

Unconjugated

Purification
Protein A/G chromatography.
Concentration
1 mg/ml
Molecular Weight
47 kDa
Product Form
Liquid
Formulation
Supplied in 10mM Phosphate Buffered Saline; without Sodium Azide and carrier free.
Storage
Shipped at 4°C. Upon delivery aliquot and store at -20°C. Avoid freeze / thaw cycles.
General Notes
This monoclonal antibody is also available in a different formulation with BSA and Sodium Azide - Anti-SNF5 Antibody [SMARCB1/3984] (A277794).
Synonyms
BAF47, BRG1-associated factor 47, hSNF5, INI1, Integrase interactor 1 protein, Malignant rhabdoid tumor suppressor, RDT, RTPS1, Sfh1p, SMARCB1, SNF5 homolog, SNF5L1, SNF5_HUMAN, Snr1, Sucrose nonfermenting yeast homolog like 1, SWI/SNF complex component SNF5, SWI/SNF-related matrix-associated actin-dependent regulator of chromatin subfamily B member 1, SWI10, Transcription factor TYE4, Transcription regulatory protein SNF5, TYE4
Disclaimer
This product is for research use only. It is not intended for diagnostic or therapeutic use.
Publishing research using Anti-SNF5 Antibody [SMARCB1/3984] - BSA and Azide free (A278382)? Please let us know so that we can list the citation on this page.

Alternative products to Anti-SNF5 Antibody [SMARCB1/3984] - BSA and Azide free (A278382)