ISO 9001:2015 Certified
Live Customer Support
4.5/5 on Trustpilot
100% Quality Guarantee

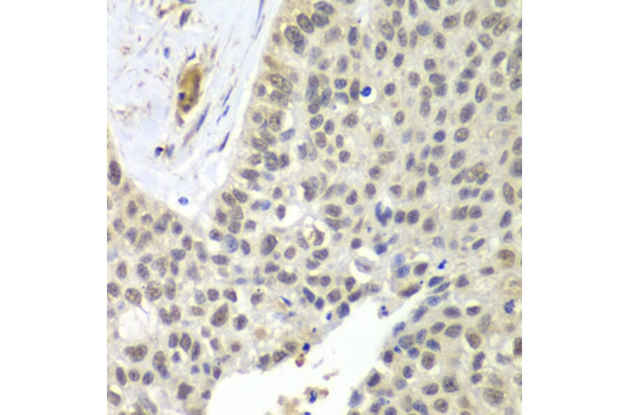
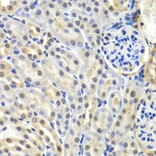
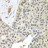
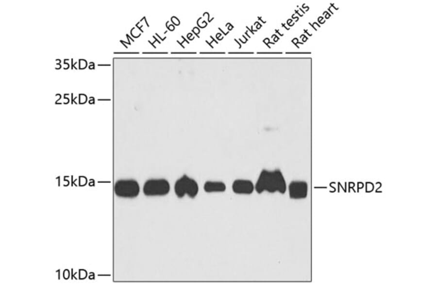
Anti-SNRPD2 Antibody (A15464)

Rabbit polyclonal antibody to SNRPD2 for WB and IHC.

Shipping Information

$40
Dispatched from St. Louis, MO.
Lead Time: 7-10 business days.
Name
Anti-SNRPD2 Antibody
Description
Rabbit polyclonal antibody to SNRPD2.
Applications
WB, IHC
Dilutions
WB: 1:500-1:2,000, IHC: 1:50-1:200
Reactivity
Human, Mouse, Rat
Immunogen
Recombinant fusion protein containing a sequence corresponding to amino acids 1-118 of human SNRPD2 (NP_004588.1).
Sequence
MSLLNKPKSEMTPEELQKREEEEFNTGPLSVLTQSVKNNTQVLINCRNNKKLLGRVKAFDRHCNMVLENVKEMWTEVPKSGKGKKKSKPVNKDRYISKMFLRGDSVIVVLRNPLIAGK
Host
Rabbit
Clonality
Polyclonal
Isotype
IgG
Conjugate

Unconjugated

Purification
Affinity purification.
Concentration
Lot Specific
Molecular Weight
13 kDa
Product Form
Liquid
Formulation
Supplied in Phosphate Buffered Saline, pH 7.3, with 50% Glycerol and 0.02% Sodium Azide.
Storage
Shipped at 4°C. Upon delivery aliquot and store at -20°C. Avoid freeze/thaw cycles.
Synonyms
Sm-D2, Small nuclear ribonucleoprotein Sm D2, snRNP core protein D2, SNRPD1
Disclaimer
This product is for research use only. It is not intended for diagnostic or therapeutic use.
Publishing research using Anti-SNRPD2 Antibody (A15464)? Please let us know so that we can list the citation on this page.

Alternative products to Anti-SNRPD2 Antibody (A15464)

Proteins predicted to interact with SNRPD2

Predicted protein interactions based upon String database. Revelancy score correlates with probability of interaction.
99.9% Relevancy Score
99.9% Relevancy Score
99.9% Relevancy Score
99.9% Relevancy Score
99.9% Relevancy Score
99.9% Relevancy Score
99.9% Relevancy Score
99.9% Relevancy Score
99.9% Relevancy Score