Primary Antibodies
Secondary Antibodies
Proteins & Peptides
ELISA Kits
About Us
Contact Us
Sign In/Register
0
ISO 9001:2015 Certified
Live Customer Support
4.5/5 on Trustpilot
100% Quality Guarantee
Home
Primary Antibodies
SNX33 Antibodies
Anti-SNX33 Antibody (A46299)
Anti-SNX33 Antibody (A46299)
Overview
Specifications
Images
Enlarge Image
$430
Product Datasheet
Rabbit polyclonal antibody to SNX33 for IHC.
100% Guarantee
Price Match Guarantee
Product Size:
100µl
Quantity:
1
2
3
4
5
6
7
8
9
10
Add To Cart
Request a Quotation
Custom or Bulk Request
Shipping Information
Freight/Packing Charges:
$40
Dispatched from St. Louis, MO.
Lead Time: 6-9 business days.
Specifications
Name
Anti-SNX33 Antibody
Description
Rabbit polyclonal antibody to SNX33
Specificity
The antibody detects endogenous levels of total SNX33 protein.
Applications
IHC
Reactivity
Human
Immunogen
Synthetic peptide corresponding to residues near the C terminal of human sorting nexin 33
Host
Rabbit
Clonality
Polyclonal
Conjugate
Unconjugated
Purification
Antigen affinity purification.
Concentration
1.4 mg/mL
Formulation
Supplied in PBS, pH 7.3, containing 0.05% sodium azide and 50% glycerol.
Storage
Shipped at 4°C. Upon delivery aliquot and store at -20°C. Avoid freeze/thaw cycles.
Synonyms
SH3 and PX domain-containing protein 3, SH3PX3, SH3PXD3C, SNX30, Sorting nexin-33
Suitable Secondaries
Goat Anti-Rabbit IgG H&L Antibody (AP) (A294874)
Goat Anti-Rabbit IgG H&L Antibody (Biotin) (A294795)
Goat Anti-Rabbit IgG H&L Antibody (FITC) (A294887)
Goat Anti-Rabbit IgG H&L Antibody (HRP) (A294888)
See all Anti-Rabbit IgG Secondaries →
Disclaimer
This product is for research use only. It is not intended for diagnostic or therapeutic use.
Scientific Validation Data
Validation Data
(1)
Enlarge Image
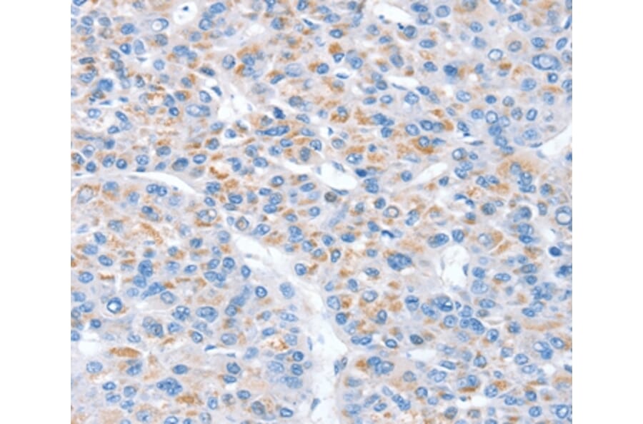
Immunohistochemistry - Anti-SNX33 Antibody (A46299)
Immunohistochemical analysis of paraffin-embedded Human liver cancer tissue using #37968 at dilution 1/20.
Publishing research using Anti-SNX33 Antibody (A46299)? Please
let us know
so that we can list the citation on this page.
Proteins predicted to interact with SNX33
Predicted protein interactions based upon String database. Revelancy score correlates with probability of interaction.
SNX9 Antibodies
96.8% Relevancy Score
SNX18 Antibodies
92.3% Relevancy Score
Dynamin 1 Antibodies
72.4% Relevancy Score
PI 3 Kinase Class 2A Antibodies
69.5% Relevancy Score
ADAM15 Antibodies
68.5% Relevancy Score
SNX12 Antibodies
67.5% Relevancy Score
PIK3CA Antibodies
65% Relevancy Score
PI3 Kinase Catalytic Subunit gamma Antibodies
65% Relevancy Score
PI3 Kinase p110 delta Antibodies
65% Relevancy Score
Top