Primary Antibodies
Secondary Antibodies
Proteins & Peptides
ELISA Kits
About Us
Contact Us
Sign In/Register
0
ISO 9001:2015 Certified
Live Customer Support
4.5/5 on Trustpilot
100% Quality Guarantee
Home
Primary Antibodies
SOCS3 Antibodies
Anti-SOCS3 Antibody (A37835)
Anti-SOCS3 Antibody (A37835)
Overview
Specifications
Images
Enlarge Image
Enlarge Image
$405
Rabbit polyclonal antibody to SOCS3 for WB and IHC.
100% Guarantee
Price Match Guarantee
Product Size:
100µl
Quantity:
1
2
3
4
5
6
7
8
9
10
Add To Cart
Request a Quotation
Custom or Bulk Request
Shipping Information
Freight/Packing Charges:
$40
Dispatched from St. Louis, MO.
Lead Time: 6-9 business days.
Specifications
Name
Anti-SOCS3 Antibody
Description
Rabbit polyclonal antibody to SOCS3
Specificity
The antibody detects endogenous levels of total SOCS3 protein.
Applications
WB
,
IHC
Reactivity
Human, Mouse
Immunogen
Full length fusion protein
Host
Rabbit
Clonality
Polyclonal
Conjugate
Unconjugated
Purification
Antigen affinity purification.
Concentration
0.6 mg/ml
Formulation
Rabbit IgG in pH7.3 PBS, 0.05% NaN3, 50% Glycerol.
Storage
Store at -20˚C
Synonyms
CIS-3, CIS3, Cytokine-inducible SH2 protein 3, SOCS-3, SSI-3, SSI3, STAT-induced STAT inhibitor 3, Suppressor of cytokine signaling 3
Suitable Secondaries
Goat Anti-Rabbit IgG H&L Antibody (AP) (A294874)
Goat Anti-Rabbit IgG H&L Antibody (Biotin) (A294795)
Goat Anti-Rabbit IgG H&L Antibody (FITC) (A294887)
Goat Anti-Rabbit IgG H&L Antibody (HRP) (A294888)
See all Anti-Rabbit IgG Secondaries →
Disclaimer
This product is for research use only. It is not intended for diagnostic or therapeutic use.
Scientific Validation Data
Validation Data
(2)
Enlarge Image
Anti-SOCS3 Antibody (A37835)
Gel: 8% SDS-PAGE Lysates (from left to right): Mouse heart tissue Amount of lysate: 40ug per lane Primary antibody: 1/300 dilution Secondary antibody dilution: 1/8000 Exposure time: 20 seconds
Enlarge Image
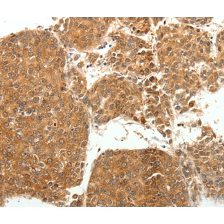
Immunohistochemistry - Anti-SOCS3 Antibody (A37835)
Immunohistochemical analysis of paraffin-embedded Human liver cancer tissue using #35924 at dilution 1/20.
Publishing research using Anti-SOCS3 Antibody (A37835)? Please
let us know
so that we can list the citation on this page.
Alternative products to Anti-SOCS3 Antibody (A37835)
(6)
A12687
Anti-SOCS3 Antibody
Rabbit polyclonal antibody to SOCS3 for WB, IHC and ICC/IF.
(4)
A89259
Anti-SOCS3 Antibody
Rabbit polyclonal antibody to SOCS3 for WB and ICC/IF.
A322910
Anti-SOCS3 Antibody [OTI3D3]
Mouse monoclonal [OTI3D3] antibody to SOCS3 for Flow Cytometry, IF, IHC and WB.
A322909
Anti-SOCS3 Antibody [OTI3D3] - BSA and Azide free
Mouse monoclonal [OTI3D3] antibody to SOCS3 for Flow Cytometry, IF, IHC and WB.
A28729
Anti-SOCS3 Antibody
Rabbit polyclonal antibody to SOCS3 for WB and IHC.
A96724
Anti-SOCS-3 Antibody
Rabbit polyclonal antibody to SOCS-3 for WB and ELISA.
A86787
Anti-SOCS3 Antibody [SO1]
Mouse monoclonal [SO1] antibody to SOCS3 for WB.
A28570
Anti-SOCS-3 Antibody
Rabbit polyclonal antibody to SOCS-3 for WB.
A43267
Anti-SOCS3 Antibody
Rabbit polyclonal antibody to SOCS3 for WB.
(2)
A54772
Anti-SOCS3 Antibody
Rabbit polyclonal antibody to SOCS3 for ELISA and WB.
A306254
Anti-SOCS3 Antibody [ARC53312]
Rabbit monoclonal [ARC53312] antibody to SOCS3 for WB.
(6)
A12687
Anti-SOCS3 Antibody
Rabbit polyclonal antibody to SOCS3 for WB, IHC and ICC/IF.
(4)
A89259
Anti-SOCS3 Antibody
Rabbit polyclonal antibody to SOCS3 for WB and ICC/IF.
A322910
Anti-SOCS3 Antibody [OTI3D3]
Mouse monoclonal [OTI3D3] antibody to SOCS3 for Flow Cytometry, IF, IHC and WB.
A322909
Anti-SOCS3 Antibody [OTI3D3] - BSA and Azide free
Mouse monoclonal [OTI3D3] antibody to SOCS3 for Flow Cytometry, IF, IHC and WB.
A28729
Anti-SOCS3 Antibody
Rabbit polyclonal antibody to SOCS3 for WB and IHC.
A96724
Anti-SOCS-3 Antibody
Rabbit polyclonal antibody to SOCS-3 for WB and ELISA.
A86787
Anti-SOCS3 Antibody [SO1]
Mouse monoclonal [SO1] antibody to SOCS3 for WB.
A28570
Anti-SOCS-3 Antibody
Rabbit polyclonal antibody to SOCS-3 for WB.
A43267
Anti-SOCS3 Antibody
Rabbit polyclonal antibody to SOCS3 for WB.
(2)
A54772
Anti-SOCS3 Antibody
Rabbit polyclonal antibody to SOCS3 for ELISA and WB.
A306254
Anti-SOCS3 Antibody [ARC53312]
Rabbit monoclonal [ARC53312] antibody to SOCS3 for WB.
See all SOCS3 Antibodies
Proteins predicted to interact with SOCS3
Predicted protein interactions based upon String database. Revelancy score correlates with probability of interaction.
JAK2 Antibodies
99.9% Relevancy Score
JAK1 Antibodies
99.9% Relevancy Score
TYK2 Antibodies
99.9% Relevancy Score
STAT3 Antibodies
99.4% Relevancy Score
Leptin Receptor Antibodies
99.4% Relevancy Score
GP130 Antibodies
99.2% Relevancy Score
TCEB2 Antibodies
99.1% Relevancy Score
STAT1 Antibodies
98.8% Relevancy Score
IRS1 Antibodies
98.5% Relevancy Score
Top