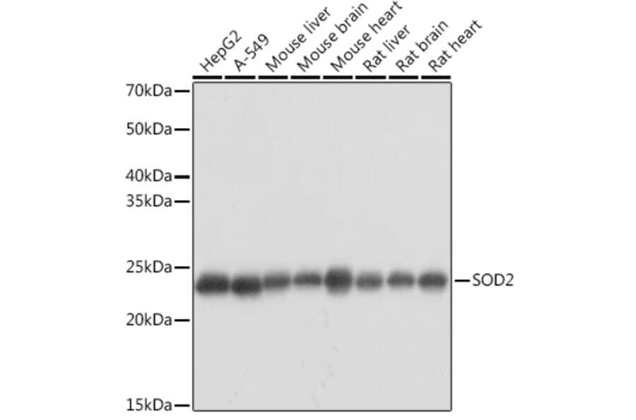
Western blot analysis of extracts of various cell lines, using Anti-SOD2/MnSOD Antibody (A13432) at 1:1,000 dilution. The secondary antibody was Goat Anti-Rabbit IgG H&L Antibody (HRP) at 1:10,000 dilution. Lysates/proteins were present at 25µg per lane. The blocking buffer used was 3% non-fat dry milk in TBST. Detection was with a ECL Basic Kit. Exposure time: 10s.
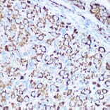
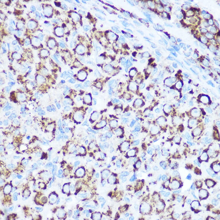
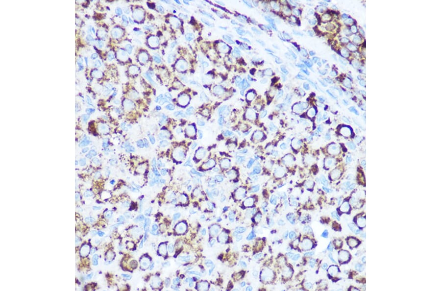
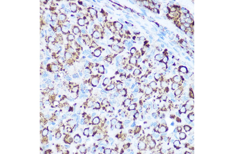
Immunohistochemistry analysis of paraffin-embedded rat ovary using Anti-SOD2/MnSOD Antibody (A13432) at a dilution of 1:100 (40x lens). Perform microwave antigen retrieval with 10 mM Tris/EDTA buffer pH 9.0 before commencing with IHC staining protocol.
Immunohistochemistry analysis of paraffin-embedded rat ovary using Anti-SOD2/MnSOD Antibody (A13432) at a dilution of 1:100 (40x lens). Perform microwave antigen retrieval with 10 mM Tris/EDTA buffer pH 9.0 before commencing with IHC staining protocol.
Immunofluorescence analysis of C6 cells using Anti-SOD2/MnSOD Antibody (A13432) at a dilution of 1:200 (40x lens). DAPI was used to stain the cell nuclei (blue).
Immunofluorescence analysis of NIH/3T3 cells using Anti-SOD2/MnSOD Antibody (A13432) at a dilution of 1:200 (40x lens). DAPI was used to stain the cell nuclei (blue).
Immunofluorescence analysis of U2OS cells using Anti-SOD2/MnSOD Antibody (A13432) at a dilution of 1:200 (40x lens). DAPI was used to stain the cell nuclei (blue).
Immunofluorescence analysis of C6 cells using Anti-SOD2/MnSOD Antibody (A13432) at a dilution of 1:100 (40x lens). DAPI was used to stain the cell nuclei (blue).
Immunofluorescence analysis of NIH/3T3 cells using Anti-SOD2/MnSOD Antibody (A13432) at a dilution of 1:100 (40x lens). DAPI was used to stain the cell nuclei (blue).