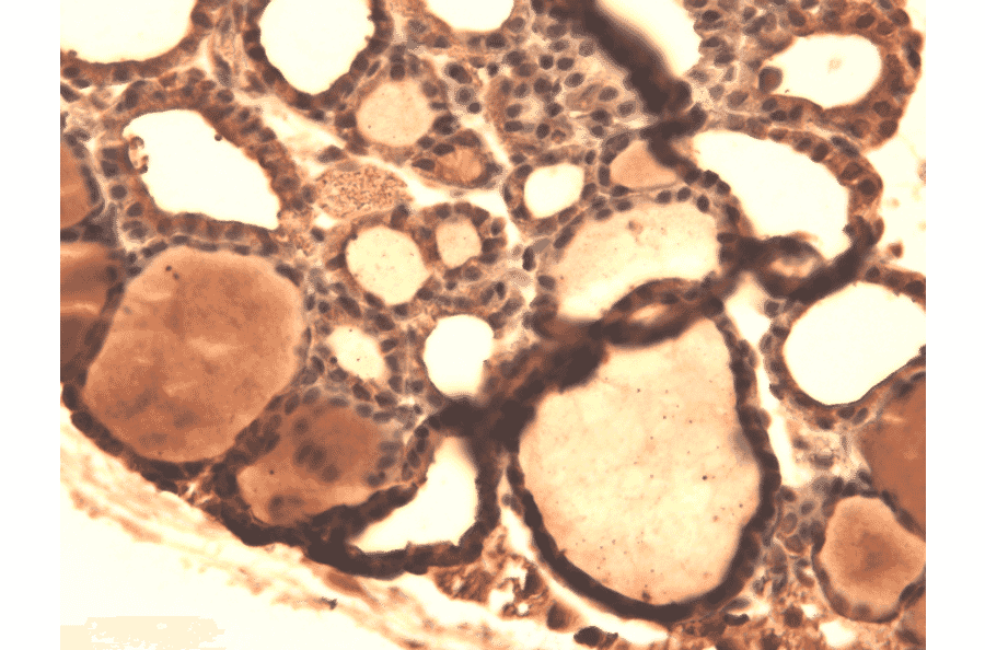
Immunohistochemistry analysis of mouse thyroid, fixed in 10% formalin solution for 12-24 hours at room temperature. The Primary Antibody used was Anti-Sodium Iodide Symporter Antibody [14F] (A305039) at 1:1,000 for 1 hour at room temperature. The secondary antibody used was HRP/DAB Detection System: Biotinylated Goat Anti-Mouse, Streptavidin Peroxidase, DAB Chromogen (brown) for 30 minutes at room temperature. Counterstain: Mayer Hematoxylin (purple/blue) nuclear stain at 250-500 µl for 5 minutes at room temperature.
Immunohistochemistry analysis of mouse thyroid, fixed in 10% formalin solution for 12-24 hours at room temperature. The Primary Antibody used was Anti-Sodium Iodide Symporter Antibody [14F] (A305039) at 1:1,000 for 1 hour at room temperature. The secondary antibody used was HRP/DAB Detection System: Biotinylated Goat Anti-Mouse, Streptavidin Peroxidase, DAB Chromogen (brown) for 30 minutes at room temperature. Counterstain: Mayer Hematoxylin (purple/blue) nuclear stain at 250-500 µl for 5 minutes at room temperature.
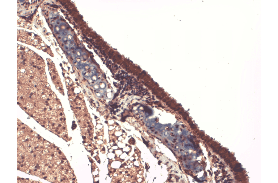
Immunohistochemistry analysis of mouse trachea, fixed in 10% formalin solution for 12-24 hours at room temperature. The Primary Antibody used was Anti-Sodium Iodide Symporter Antibody [14F] (A305039) at 1:1,000 for 1 hour at room temperature. The secondary antibody used was HRP/DAB Detection System: Biotinylated Goat Anti-Mouse, Streptavidin Peroxidase, DAB Chromogen (brown) for 30 minutes at room temperature. Counterstain: Mayer Hematoxylin (purple/blue) nuclear stain at 250-500 µl for 5 minutes at room temperature.
Western Blot - Anti-Sodium Iodide Symporter Antibody [14F] (A305039)
Western blot analysis of human thyroid lysate showing detection of Sodium Iodide Symporter protein using Anti-Sodium Iodide Symporter Antibody [14F] (A305039) at 1:1,000.
Immunohistochemistry analysis of mouse thyroid, fixed in 10% formalin solution for 12-24 hours at room temperature. The Primary Antibody used was Anti-Sodium Iodide Symporter Antibody [14F] (A305039) at 1:1,000 for 1 hour at room temperature. The secondary antibody used was HRP/DAB Detection System: Biotinylated Goat Anti-Mouse, Streptavidin Peroxidase, DAB Chromogen (brown) for 30 minutes at room temperature. Counterstain: Mayer Hematoxylin (purple/blue) nuclear stain at 250-500 µl for 5 minutes at room temperature.