ISO 9001:2015 Certified
Live Customer Support
4.5/5 on Trustpilot
100% Quality Guarantee

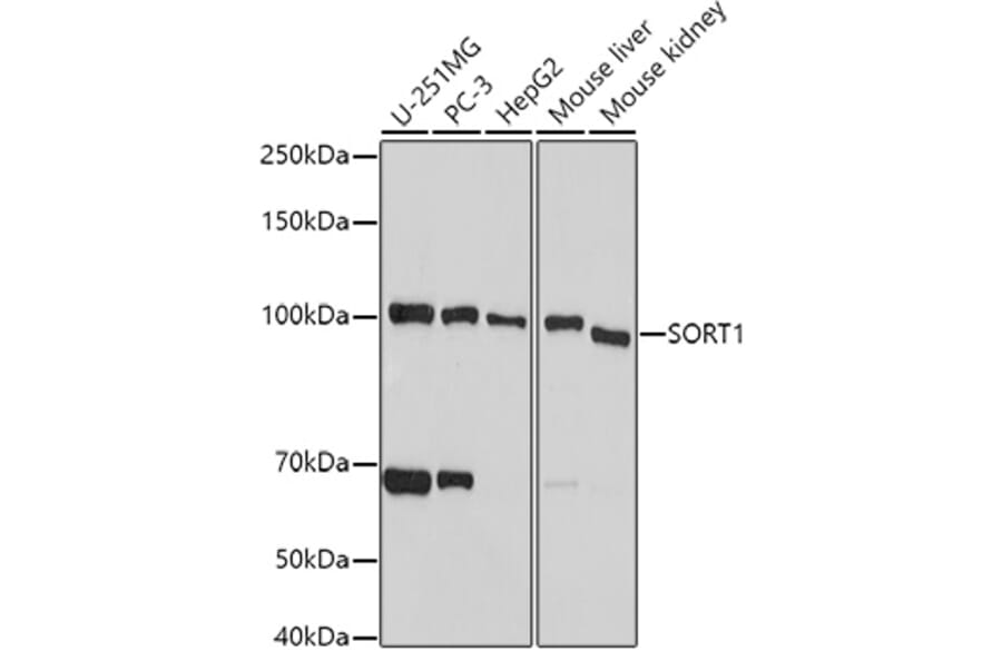
Anti-Sortilin/NT3 Antibody (A15980)

Rabbit polyclonal antibody to Sortilin/NT3 for WB.

Shipping Information

$40
Dispatched from St. Louis, MO.
Lead Time: 7-10 business days.
Name
Anti-Sortilin/NT3 Antibody
Description
Rabbit polyclonal antibody to Sortilin/NT3.
Applications
WB
Dilutions
WB: 1:100-1:500
Reactivity
Human, Mouse, Rat
Immunogen
Recombinant fusion protein containing a sequence within amino acids 752-831 of human SORT1 (NP_002950.3).
Sequence
SKSNSVPIILAIVGLMLVTVVAGVLIVKKYVCGGRFLVHRYSVLQQHAEANGVDGVDALDTASHTNKSGYHDDSDEDLLE
Host
Rabbit
Clonality
Polyclonal
Isotype
IgG
Conjugate

Unconjugated

Purification
Affinity purification.
Concentration
Lot Specific
Molecular Weight
100 kDa
Product Form
Liquid
Formulation
Supplied in Phosphate Buffered Saline, pH 7.3, with 50% Glycerol and 0.05% Proclin 300.
Storage
Shipped at 4°C. Upon delivery aliquot and store at -20°C. Avoid freeze/thaw cycles.
Disclaimer
This product is for research use only. It is not intended for diagnostic or therapeutic use.
Publishing research using Anti-Sortilin/NT3 Antibody (A15980)? Please let us know so that we can list the citation on this page.