ISO 9001:2015 Certified
Live Customer Support
4.5/5 on Trustpilot
100% Quality Guarantee

Anti-SOX11 Antibody [SOX11/7236] - BSA and Azide free (A278389)

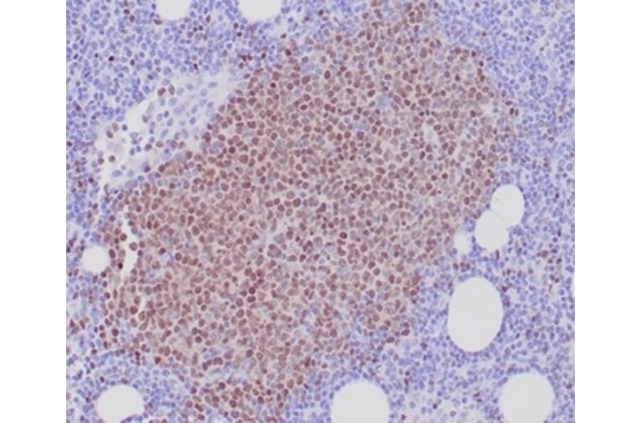
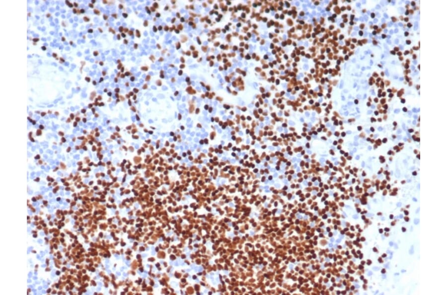
Mouse monoclonal [SOX11/7236] antibody to SOX11 for IHC-P.

Alternative Formats and ConjugatesAlternative Formats

Shipping Information

$40
Dispatched from St. Louis, MO.
Lead Time: 5-8 business days.
Name
Anti-SOX11 Antibody [SOX11/7236] - BSA and Azide free
Description
Mouse monoclonal [SOX11/7236] antibody to SOX11.
Specificity
This antibody recognizes a protein of ~47kDa, identified as SOX11. This MAb is highly specific and does not cross-react with other members of the SOX-family. Mantle cell lymphoma (MCL) accounts for 5% to 10% of mature B-cell neoplasms and is an aggressive disease genetically characterized by overexpression of Cyclin D1. Cyclin D1 overexpression is the hallmark of MCL. However, approximately 5%-10% of MCLs lack Cyclin D1 expression and may be misdiagnosed. Almost all Cyclin D1-positive as well as Cyclin D1-negative MCL, show overexpression of SOX-11. The detection of this transcription factor is a useful biomarker for identifying true cyclin D1-negative MCL.
Applications
IHC-P
Dilutions
IHC-P: 1-2 µg/ml
Reactivity
Human
Immunogen
Recombinant fragment, around amino acids 50-200, of human SOX11 protein. The exact sequence is proprietary.
Host
Mouse
Clonality
Monoclonal
Clone ID
SOX11/7236
Isotype
IgG1
Light Chains
kappa
Conjugate

Unconjugated

Purification
Protein A/G chromatography.
Concentration
1 mg/ml
Molecular Weight
47 kDa
Product Form
Liquid
Formulation
Supplied in 10mM Phosphate Buffered Saline; without Sodium Azide and carrier free.
Storage
Shipped at 4°C. Upon delivery aliquot and store at -20°C. Avoid freeze / thaw cycles.
General Notes
This monoclonal antibody is also available in a different formulation with BSA and Sodium Azide - Anti-SOX11 Antibody [SOX11/7236] (A277801).
Synonyms
Transcription factor SOX-11
Disclaimer
This product is for research use only. It is not intended for diagnostic or therapeutic use.
Publishing research using Anti-SOX11 Antibody [SOX11/7236] - BSA and Azide free (A278389)? Please let us know so that we can list the citation on this page.

Alternative products to Anti-SOX11 Antibody [SOX11/7236] - BSA and Azide free (A278389)

Proteins predicted to interact with SOX11

Predicted protein interactions based upon String database. Revelancy score correlates with probability of interaction.
80% Relevancy Score
74.4% Relevancy Score
68.7% Relevancy Score
68.5% Relevancy Score
61.4% Relevancy Score
60.6% Relevancy Score
59.6% Relevancy Score
59.2% Relevancy Score
58.7% Relevancy Score