ISO 9001:2015 Certified
Live Customer Support
4.5/5 on Trustpilot
100% Quality Guarantee

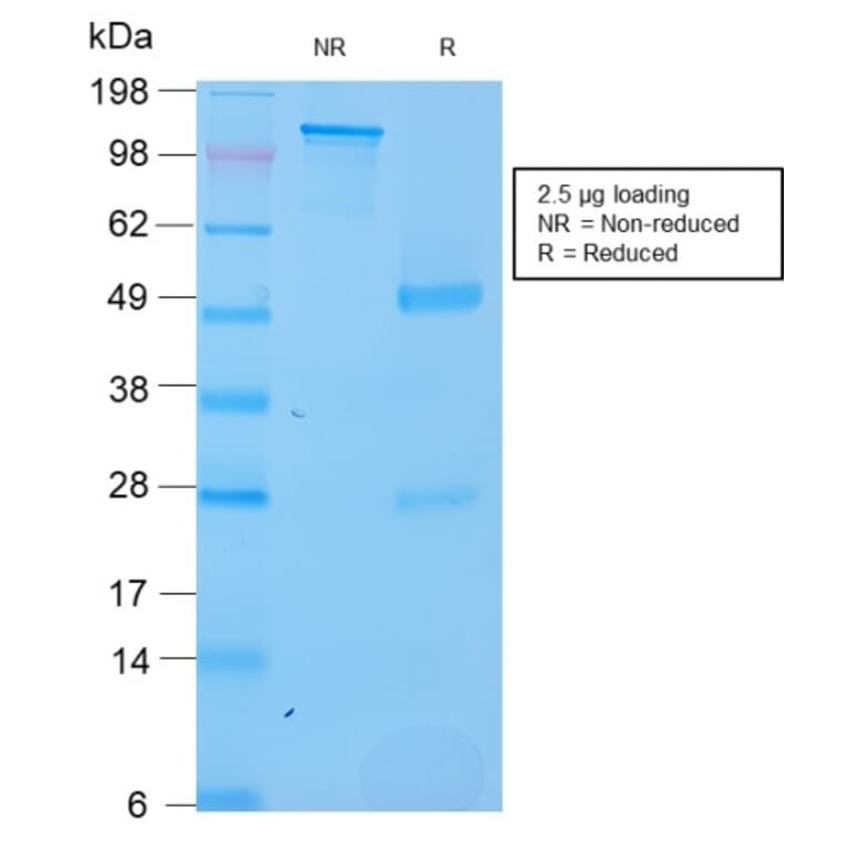
Recombinant Anti-SOX2 Antibody [SOX2/3169R] - BSA and Azide free (A253186)

Recombinant rabbit monoclonal [SOX2/3169R] antibody to SOX2 for ELISA, WB and IHC-P.

Alternative Formats and ConjugatesAlternative Formats

Shipping Information

$40
Dispatched from St. Louis, MO.
Lead Time: 5-8 business days.
Name
Anti-SOX2 Antibody [SOX2/3169R] - BSA and Azide free
Description
Recombinant rabbit monoclonal [SOX2/3169R] antibody to SOX2.
Specificity
SOX2 is required for stem cell maintenance in the central nervous system, and it also regulates gene expression in the stomach. SOX2 is necessary for regulating multiple transcription factors that affect Oct 3/4 expression. An essential function of SOX2 is to stabilize embryonic stem cells in a pluripotent state by maintaining the requisite level of Oct 3/4 expression. Reportedly, SOX2 is associated with aggressive phenotypes of breast, head and neck, gastric, colorectal, bladder, and small cell lung cancers. However, SOX2 is expressed in a high percentage of lung squamous cell carcinomas and has been shown to be an independent favorable prognostic marker.
Applications
ELISA, WB, IHC-P
Dilutions
WB: 1-2 µg/ml, IHC-P: 1-2 µg/ml
Reactivity
Human, Mouse
Immunogen
Recombinant fragment, within amino acids 176-305, of human SOX2 protein. The exact sequence is proprietary.
Host
Rabbit
Clonality
Monoclonal
Clone ID
SOX2/3169R
Isotype
IgG
Conjugate

Unconjugated

Purification
Protein A/G chromatography.
Concentration
1 mg/ml
Molecular Weight
34 kDa
Product Form
Liquid
Formulation
Supplied in 10mM Phosphate Buffered Saline; without Sodium Azide and carrier free.
Storage
Shipped at 4°C. Upon delivery aliquot and store at -20°C. Avoid freeze / thaw cycles.
General Notes
This monoclonal antibody is also available in a different formulation with BSA and Sodium Azide - Anti-SOX2 Antibody [SOX2/3169R] (A250006).
Synonyms
Transcription factor SOX-2
Disclaimer
This product is for research use only. It is not intended for diagnostic or therapeutic use.
Publishing research using Recombinant Anti-SOX2 Antibody [SOX2/3169R] - BSA and Azide free (A253186)? Please let us know so that we can list the citation on this page.

Alternative products to Anti-SOX2 Antibody [SOX2/3169R] - BSA and Azide free (A253186)

Proteins predicted to interact with SOX2

Predicted protein interactions based upon String database. Revelancy score correlates with probability of interaction.
99.9% Relevancy Score
99.9% Relevancy Score
99.8% Relevancy Score
99.1% Relevancy Score
98.3% Relevancy Score
98.3% Relevancy Score
97.7% Relevancy Score
97.3% Relevancy Score
96.6% Relevancy Score